¿Qué es el dengue?

¿Qué es el dengue?

El dengue se debe a un flavivirus transmitido por la picadura del mosquito Aedes. La infección por puede variar desde un estado asintomático hasta una fiebre hemorrágica grave y choque…
¿Qué es la fiebre amarilla

¿Qué es la fiebre amarilla?

La fiebre amarilla es una infección zoonótica por flavivirus transmitida por mosquitos de la especie Aedes. La fiebre amarilla se transmite a través de la picadura de un mosquito de…
¿Qué es la gripe?

¿Qué es la gripe?

El virus de la gripe es un ortomixovirus que produce una enfermedad muy contagiosa que se transmite por las vías respiratorias en humanos. La transmisión sucede principalmente por gotículas más…
¿Qué es la rabia?

¿Qué es la rabia?

La rabia es una encefalitis viral causada por un rabdovirus y transmitida por la saliva infectada que ingresa al organismo a través de la mordedura de un animal o una…
¿Qué es la rubéola?

¿Qué es la rubéola?

La rubéola es una enfermedad sistémica causada por un togavirus que se transmite por inhalación de gotículas infecciosas. Tiene un periodo de incubación de 14 a 21 días (en promedio…
¿Qué es la mononucleosis infecciosa?

¿Qué es la mononucleosis infecciosa?

La mononucleosis infecciosa es una manifestación frecuente de la infección por virus de Epstein- Barr y puede presentarse a cualquier edad. ⚠️ El virus de Epstein-Barr se transmite sobre todo…
¿Qué causa la infección por citomegalovirus?

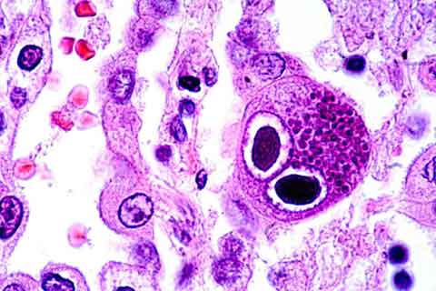
¿Qué causa la infección por citomegalovirus?

Casi todas las infecciones por citomegalovirus son asintomáticas. Después de la infección primaria, el virus permanece latente en distintas células. El citomegalovirus puede aislarse de diversos tejidos en condiciones no…
¿Qué es la poliomielitis?

¿Qué es la poliomielitis?

El virus de la poliomielitis, también conocido como poliovirus, es un enterovirus que se encuentra principalmente en los lavados faríngeos (muestras tomadas de la parte posterior de la garganta) y…