Unidad estructural y funcional del hígado
Unidad estructural y funcional del hígado

Unidad estructural y funcional del hígado

La descripción de la estructura del hígado en términos de una unidad estructural y funcional proporciona una perspectiva detallada de su organización anatómica y funcional. Las tres formas comunes de describir esta estructura son el lobulillo clásico, el lobulillo portal y el ácino hepático. Cada uno de estos enfoques refleja aspectos específicos de la circulación sanguínea y la función hepática.

Lobulillo Clásico: El lobulillo clásico es la forma tradicional de describir la organización del parénquima hepático. Su visualización se basa en la distribución de las ramas de la vena porta y la arteria hepática dentro del órgano. Este enfoque destaca el trayecto que sigue la sangre proveniente de estos vasos para finalmente irrigar los hepatocitos. En este contexto, el lobulillo clásico se representa como una estructura hexagonal con la vena central en el centro y las ramas de la vena porta y la arteria hepática en las esquinas, estableciendo una organización espacial que destaca la circulación sanguínea.

Lobulillo Portal: El lobulillo portal se centra en la unidad funcional que rodea a una rama de la vena porta y su red asociada de conductos biliares. Esta descripción resalta la importancia del sistema portal hepático en la función del hígado, ya que la vena porta transporta sangre rica en nutrientes desde los órganos abdominales al hígado para su procesamiento. El lobulillo portal se caracteriza por la presencia de una vena central y la disposición de las ramas de la vena porta y los conductos biliares en el centro de la unidad funcional.

Ácino Hepático: El ácino hepático es una unidad funcional que se describe en función de la irrigación sanguínea y la distribución de la sangre oxigenada. Este modelo destaca la importancia de la arteria hepática en la entrega de oxígeno a los hepatocitos. El ácino hepático se representa como una estructura tridimensional con una arteria hepática en el centro y las células que rodean esta arteria, enfatizando la importancia de la oxigenación en la función hepática.

 

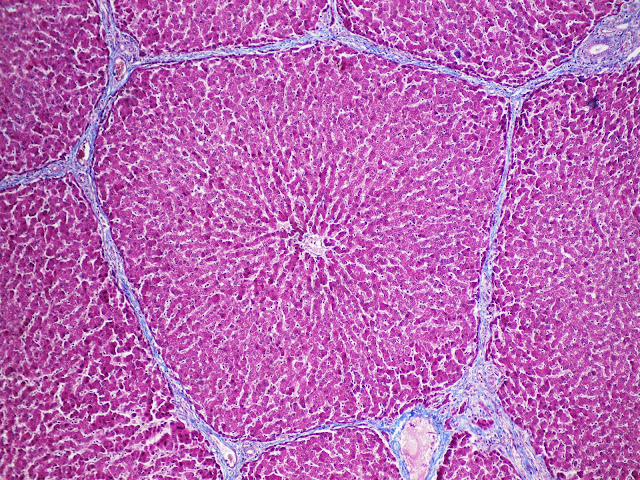
Lobulillo clásico

El lobulillo clásico, una unidad anatómica central en la descripción del hígado, se caracteriza por la presencia de pilas de cordones anastomosados de hepatocitos. Estos cordones, de una sola célula de espesor, están separados por un intrincado sistema interconectado de sinusoides, canales vasculares especializados que facilitan la irrigación de las células con una combinación de sangre portal (venosa) y arterial. La disposición de estos cordones y sinusoides es radial, extendiéndose desde el centro del lobulillo hacia la periferia.

En el núcleo del lobulillo clásico, se encuentra una vénula relativamente grande conocida como la vénula hepática terminal o vena central. Esta estructura actúa como punto de convergencia para los sinusoides, recogiendo la sangre procesada por los hepatocitos. La disposición hexagonal del lobulillo clásico se evidencia en la organización radial de los cordones y sinusoides, creando una estructura geométrica característica.

En los ángulos del hexágono del lobulillo clásico se localizan las áreas portales, compuestas por tejido conjuntivo laxo del estroma. Estas áreas son distintivas por la presencia de tríadas portales, que engloban la arteria hepática, la vena porta y los conductos biliares. El tejido conjuntivo de estas áreas se extiende hasta fusionarse con la cápsula fibrosa que rodea el hígado, proporcionando soporte estructural.

El espacio portal, delimitado por los hepatocitos más externos del lobulillo, es una región clave en la arquitectura hepática. En los márgenes de este espacio, entre el tejido conjuntivo del estroma y los hepatocitos, se encuentra un pequeño espacio conocido como espacio periportal o espacio de Mall. Este espacio se postula como uno de los sitios donde se origina la linfa en el hígado, añadiendo una dimensión funcional al entorno anatómico.

Unidad estructural y funcional del hígado
Unidad estructural y funcional del hígado
Lobulillo portal

El lobulillo portal, al dirigir su enfoque hacia las funciones exocrinas del hígado, particularmente la secreción de bilis, establece una perspectiva morfológica única. En este contexto, el eje principal de esta unidad funcional es el conducto biliar interlobulillar, que forma parte integral de la tríada portal dentro del lobulillo clásico.

La función exocrina principal del hígado, la secreción de bilis, desempeña un papel esencial en la digestión de grasas en el intestino delgado. El lobulillo portal, al destacar la importancia de este proceso, permite una comprensión detallada de la estructura anatómica del hígado en relación con su función exocrina.

El eje morfológico del lobulillo portal se define por el conducto biliar interlobulillar, que actúa como el conducto central para la recopilación y transporte de la bilis producida por los hepatocitos. Este conducto canaliza la bilis hacia los conductos biliares más grandes y, eventualmente, hacia la vesícula biliar e intestino, contribuyendo al proceso digestivo.

Los bordes externos del lobulillo portal se delimitan mediante líneas imaginarias trazadas entre las tres venas centrales más cercanas a la tríada portal. Estas líneas definen un bloque de tejido triangular que abarca las porciones de tres lobulillos clásicos adyacentes. En este bloque, se encuentran los hepatocitos especializados en la secreción de bilis, contribuyendo así a la eficiencia funcional de la unidad.

Este concepto estructural triangular del lobulillo portal no solo destaca la organización morfológica eficiente para llevar a cabo la función exocrina específica, sino que también permite una descripción comparativa de la estructura hepática con otras glándulas exocrinas.

 

Ácino hepático

El ácino hepático se presenta como la unidad estructural que ofrece la mejor correlación entre la perfusión sanguínea, la actividad metabólica y la patología hepática. Esta entidad, de forma romboidal, representa la unidad funcional más pequeña dentro del parénquima hepático y desempeña un papel crucial en la comprensión detallada de la fisiología y la patología hepáticas.

La geometría del ácino hepático se caracteriza por su forma romboidal. Su eje menor está definido por las ramas terminales de la tríada portal, que siguen la línea límite entre dos lobulillos clásicos adyacentes. Esta disposición destaca la conexión entre el sistema vascular portal y la estructura del ácino, proporcionando una relación directa entre la perfusión sanguínea y la unidad funcional hepática.

El eje mayor del ácino es una línea trazada entre las dos venas centrales más cercanas al eje menor. En una vista bidimensional, el ácino hepático abarca parte de los lobulillos clásicos contiguos, estableciendo una relación espacial que refleja la complejidad de la estructura hepática. Este concepto permite una descripción detallada de la función secretora exocrina del hígado, comparable con la del lobulillo portal.

La importancia del ácino hepático radica en su capacidad para proporcionar una representación más precisa de la correlación entre la perfusión sanguínea y la función metabólica hepática. Además, este concepto permite abordar la patología hepática desde una perspectiva más específica, ya que la alteración en la perfusión o la función metabólica puede afectar directamente a esta unidad estructural.

La disposición de los hepatocitos en tres zonas elípticas concéntricas dentro de cada ácino hepático está estrechamente relacionada con la perfusión vascular y tiene implicaciones significativas en la descripción e interpretación de patrones fisiológicos y patológicos en el parénquima hepático.

Zona 1: La Zona 1 es la más cercana al eje menor y está directamente influenciada por la irrigación de las ramas penetrantes de la vena porta y la arteria hepática. Esta zona corresponde a la periferia de los lobulillos clásicos. Dada su proximidad al suministro sanguíneo proveniente de estas fuentes, la Zona 1 experimenta un mayor aporte de nutrientes y oxígeno. Esta área está más expuesta a sustancias absorbidas en la circulación portal, incluyendo nutrientes y posiblemente sustancias tóxicas.

Zona 3: La Zona 3 es la más alejada del eje menor y la más próxima a la vena hepática terminal (vena central). Se ubica en el centro del lobulillo clásico, rodeando la vena hepática terminal. Dado que la sangre ya ha pasado por las Zonas 1 y 2, la Zona 3 experimenta una perfusión más tardía y puede recibir sangre más rica en productos metabólicos y posiblemente productos de desecho. Esta zona también es vulnerable a efectos tóxicos, ya que puede acumular sustancias después de que han pasado por las áreas más periféricas.

Zona 2: La Zona 2 se encuentra entre las Zonas 1 y 3, y no presenta límites nítidos. Esta zona experimenta una perfusión intermedia en términos de tiempo y contenido sanguíneo. Su posición intermedia la hace menos vulnerable a los cambios extremos en la composición de la sangre. Sin embargo, también puede verse afectada por sustancias que no han sido completamente metabolizadas en las Zonas 1 y 3.

La división en estas zonas es crucial para la descripción e interpretación de diversos fenómenos en el hígado, como la degeneración, la regeneración y los efectos tóxicos específicos. Las diferencias en la perfusión vascular de los hepatocitos en cada zona pueden influir en la respuesta de estas áreas a diversos factores fisiológicos y patológicos. Además, esta subdivisión permite identificar patrones específicos de daño o regeneración en el tejido hepático, proporcionando información valiosa para el diagnóstico y la comprensión de las condiciones hepáticas.

 

 

 

Homo medicus

 


 

Guías de estudio. Homo medicus.
Guías de estudio. Homo medicus.
Síguenos en X: @el_homomedicus  y @enarm_intensivo  Síguenos en instagram: homomedicus  y en Treads.net como: Homomedicus  

🟥     🟪     🟨     🟧     🟩     🟦

Aprende administración paso a paso

Administración Desde Cero

ADMINISTRACION DESDE CERO

¿De cuánta utilidad te ha parecido este contenido?

¡Haz clic en una estrella para puntuarlo!

Promedio de puntuación 0 / 5. Recuento de votos: 0

Hasta ahora, ¡no hay votos!. Sé el primero en puntuar este contenido.

Ya que has encontrado útil este contenido...

¡Sígueme en los medios sociales!

Si te fue útil este resumen, compártelo por favor!