Tumores selares y supraselares
Tumores selares y supraselares

Tumores selares y supraselares

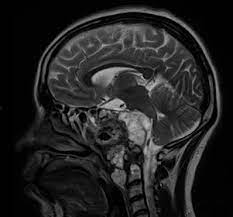
Los tumores selares y supraselares son neoplasias que se desarrollan en la región de la silla turca, una estructura ósea que alberga la glándula hipófisis en la base del cráneo. la presencia de tumores en estas áreas puede afectar la función normal de la hipófisis, generar síntomas relacionados con la compresión de estructuras circundantes y, en algunos casos, provocar disfunciones hormonales.

Referencias anatómicas

La hipófisis, también conocida como glándula pituitaria, ocupa una posición anatómica destacada en la base del cerebro, alojada en una depresión ósea específica denominada silla turca, parte integral del hueso esfenoides. Esta ubicación estratégica asegura la protección y alineación precisa de la glándula en el contexto craneal.

La envoltura que rodea la hipófisis, la duramadre, constituye una membrana meníngea esencial en la protección del sistema nervioso central, incluido el cerebro. La hipófisis se encuentra inmersa en esta membrana, beneficiándose así de un resguardo adicional proporcionado por la duramadre.

El tallo hipofisario, una estructura anatómica clave, emerge de la hipófisis y establece una conexión vital con el hipotálamo en el cerebro. Este tallo no solo transporta las hormonas producidas por el hipotálamo hacia la hipófisis, sino que también atraviesa una abertura específica en la duramadre conocida como diafragma de la silla o selar. Este orificio en la membrana contribuye a la correcta disposición y funcionamiento de la conexión entre la hipófisis y el hipotálamo.

En el entorno anatómico cercano, específicamente por delante del tallo hipofisario y a una distancia de 5-10 mm por encima de la silla turca, se encuentra el quiasma óptico. Este componente es esencial en el sistema visual, ya que representa el punto en el cual las fibras de los nervios ópticos parcialmente se entrecruzan. Este cruce permite la interconexión entre las mitades contralaterales del campo visual, contribuyendo así a la percepción visual integrada.

 

Referencias fisiológicas

El hipotálamo, situado anatomícamente por debajo del tercer ventrículo y en posición intermedia entre el quiasma óptico y la hipófisis, desempeña un papel crucial en la regulación hormonal. Su función principal radica en influenciar la actividad del lóbulo anterior de la hipófisis, una parte integral de esta glándula endocrina.

El lóbulo anterior de la hipófisis, también conocido como adenohipófisis, es responsable de la producción y liberación de diversas hormonas que desempeñan roles fundamentales en el sistema endocrino. Entre estas hormonas se incluyen la prolactina, la hormona estimulante de la tiroides o tirotropina (TSH), la hormona del crecimiento o somatotropina (GH), la hormona adrenocorticotrópica o corticotropina (ACTH), la hormona luteinizante o lutropina (LH), y la hormona foliculoestimulante o folitropina (FSH). Estas hormonas tienen efectos específicos en diversos órganos y sistemas del cuerpo, participando en la regulación del metabolismo, el crecimiento, la reproducción y la función adrenal, entre otras funciones.

Por otro lado, el lóbulo posterior de la hipófisis, también denominado neurohipófisis, es responsable de la síntesis y liberación de dos hormonas específicas: la oxitocina y la hormona antidiurética o vasopresina (ADH). Estas hormonas, producidas en el hipotálamo y transportadas a la neurohipófisis, desempeñan roles fundamentales en la regulación de procesos fisiológicos como la contracción uterina durante el parto (oxitocina) y la regulación del equilibrio hídrico y la presión sanguínea (ADH).

En conjunto, la interacción entre el hipotálamo y la hipófisis, tanto en su lóbulo anterior como en el posterior, constituye un sistema altamente coordinado que controla y regula diversas funciones endocrinas esenciales para el mantenimiento de la homeostasis y el funcionamiento adecuado del organismo.

 

Tumores selares y supraselares frecuentes

Los adenomas hipofisarios son las neoplasias más comúnmente encontradas en la región selar, ocupando la hipófisis. Estos tumores, en su mayoría benignos, pueden manifestarse con síntomas relacionados con el efecto de masa, como cefalea o pérdida de la visión, debido a la presión ejercida sobre estructuras circundantes.

Tumores selares y supraselares
Tumores selares y supraselares

Además de los adenomas, existen otros tipos de tumores que pueden afectar la hipófisis, incluyendo lesiones benignas como quistes de la bolsa de Rathke, craneofaringiomas, pituicitomas, meningiomas, así como tumores malignos como los de células germinales, cordomas, linfoma primario y metástasis. Además, se encuentran lesiones no neoplásicas como la hipofisitis y la sarcoidosis.

Los síntomas causados por estos tumores pueden variar según su tipo y ubicación. Tumores selares y supraselares pueden generar síntomas relacionados con el efecto de masa, como cefalea debido a la presión intracraneal o pérdida de visión, que puede estar asociada a la compresión de las estructuras ópticas. En el caso de los tumores hipofisarios funcionales, la hipersecreción de hormonas puede dar lugar a síntomas específicos asociados a la función hormonal alterada. Por último, algunos tumores pueden causar síntomas relacionados con la insuficiencia hipofisaria, ya que pueden interferir con la producción normal de hormonas por parte de la glándula.

La variedad en los tipos de tumores y sus posibles efectos en la función hipofisaria y estructuras circundantes subraya la importancia de una evaluación médica detallada para el diagnóstico preciso y el diseño de un plan de tratamiento adecuado.

 

 

Homo medicus

 


 

Guías de estudio. Homo medicus.
Guías de estudio. Homo medicus.

¡Gracias por visitarnos!

 

Síguenos en X: @el_homomedicus  y @enarm_intensivo  Síguenos en instagram: homomedicus  y en Treads.net como: Homomedicus  

🟥     🟪     🟨     🟧     🟩     🟦

Aprende administración paso a paso

Administración Desde Cero

ADMINISTRACION DESDE CERO

¿De cuánta utilidad te ha parecido este contenido?

¡Haz clic en una estrella para puntuarlo!

Promedio de puntuación 5 / 5. Recuento de votos: 1

Hasta ahora, ¡no hay votos!. Sé el primero en puntuar este contenido.

Ya que has encontrado útil este contenido...

¡Sígueme en los medios sociales!

Si te fue útil este resumen, compártelo por favor!