Trombosis venosa intracraneal
Trombosis venosa intracraneal

Trombosis venosa intracraneal

La trombosis venosa intracraneal es una condición médica compleja que puede surgir en diversas situaciones patológicas y fisiológicas. Este trastorno se presenta cuando se forma un trombo, o coágulo sanguíneo, en los senos venosos intracraneales, lo que puede obstruir el flujo venoso normal y provocar una serie de complicaciones.

Uno de los factores más comunes asociados con la trombosis venosa intracraneal son las infecciones, particularmente aquellas que afectan el sistema nervioso central, así como las infecciones maxilofaciales. Estas condiciones pueden provocar inflamación y alteraciones en la hemodinámica venosa, facilitando la formación de coágulos. Además, existen estados de hipercoagulabilidad, que son condiciones en las que la sangre tiene una tendencia aumentada a coagularse. Estos estados pueden ser secundarios a enfermedades genéticas o adquiridas, como la policitemia, que se caracteriza por un aumento en la masa de glóbulos rojos, lo que incrementa la viscosidad sanguínea y, por ende, el riesgo de trombosis.

Las enfermedades hematológicas, como la drepanocitosis, también están relacionadas con un mayor riesgo de trombosis venosa intracraneal. En esta condición, los glóbulos rojos adoptan una forma anormal que puede obstruir los vasos sanguíneos, contribuyendo al desarrollo de coágulos. Asimismo, las cardiopatías congénitas cianóticas, que afectan el flujo sanguíneo normal, pueden predisponer a la trombosis venosa debido a la alteración en la circulación y el aumento de la presión venosa.

Durante el embarazo y el puerperio, las mujeres también presentan un riesgo elevado de trombosis venosa intracraneal. Los cambios fisiológicos asociados con el embarazo, tales como el aumento de la coagulación sanguínea y la compresión venosa, contribuyen a este riesgo. De manera similar, se ha observado que ciertos factores genéticos pueden influir en la predisposición a desarrollar esta patología.

En el contexto reciente de la pandemia de COVID-19, se han reportado casos inusuales de trombosis venosa intracraneal en pacientes que presentaron trombocitopenia y anticuerpos contra el factor cuatro plaquetario después de recibir vacunas basadas en vectores adenovirales. Esto ha llevado a investigaciones sobre la relación entre la respuesta inmune a las vacunas y la predisposición a la formación de trombos.

Manifestaciones clínicas

Los síntomas clínicos de la trombosis venosa intracraneal son variados e incluyen dolor de cabeza, convulsiones focales o generalizadas, somnolencia, confusión y déficit neurológico focal. También puede haber signos de aumento de la presión intracraneal, así como evidencias de irritación meníngea en algunos casos. Esta variedad de manifestaciones clínicas se debe a la localización del trombo y a su efecto sobre el tejido cerebral circundante.

Exámenes diagnósticos

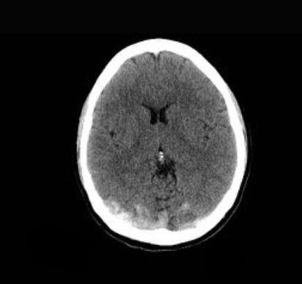
El diagnóstico de la trombosis venosa intracraneal es un proceso crítico que requiere el uso de técnicas de imagen avanzadas para identificar la presencia de coágulos en los senos venosos del cerebro y evaluar el impacto de estos en la hemodinámica cerebral. Entre las modalidades de imagen más empleadas se encuentran la tomografía computarizada y la resonancia magnética venosa, cada una con sus ventajas y limitaciones.

La tomografía computarizada es un método rápido y ampliamente disponible que permite la evaluación inicial en casos de sospecha de trombosis venosa intracraneal. Esta técnica utiliza rayos X para crear imágenes transversales detalladas del cerebro, lo que facilita la identificación de cambios agudos en la densidad del tejido cerebral, como hemorragias o infartos. En algunos casos, la tomografía computarizada puede incluir la administración de contraste para mejorar la visualización de los vasos sanguíneos, lo que ayuda a detectar la oclusión del seno venoso. Sin embargo, es importante tener en cuenta que, aunque la tomografía computarizada puede revelar ciertos signos indirectos de trombosis, como la expansión del seno venoso o la presencia de edema cerebral, puede no ser tan sensible como la resonancia magnética para detectar trombosis en fases iniciales.

Por otro lado, la resonancia magnética venosa se considera el método de referencia para el diagnóstico de trombosis venosa intracraneal debido a su alta resolución y capacidad para proporcionar imágenes detalladas del sistema venoso cerebral. Esta técnica utiliza campos magnéticos y ondas de radio para generar imágenes, lo que permite visualizar no solo el tejido cerebral, sino también la anatomía vascular con gran claridad. La resonancia magnética es particularmente eficaz para identificar trombos en senos venosos, ya que puede mostrar cambios en la señal que indican la presencia de un coágulo, incluso en etapas tempranas. Además, puede evaluar complicaciones asociadas, como el edema cerebral o la isquemia, proporcionando una visión integral del estado del paciente.

La angiografía, aunque menos común en el diagnóstico inicial, puede ser un complemento valioso en casos donde se requiere información adicional sobre la anatomía vascular. Este procedimiento invasivo implica la inyección de un medio de contraste en los vasos sanguíneos, lo que permite visualizar en detalle el flujo sanguíneo y las anomalías vasculares. La angiografía es especialmente útil en situaciones en las que existe la necesidad de descartar otros trastornos vasculares, como malformaciones arteriovenosas o aneurismas, que podrían estar contribuyendo a los síntomas del paciente. Además, puede ayudar a guiar intervenciones terapéuticas, como la trombólisis o la colocación de stents.

 

Tratamiento

El tratamiento de la trombosis venosa intracraneal es un proceso multifacético que se adapta a la presentación clínica y las necesidades específicas de cada paciente. En primer lugar, si se han producido convulsiones, se indica el uso de anticonvulsivantes para controlar esta manifestación neurológica y prevenir su recurrencia. Además, es fundamental implementar medidas para reducir la presión intracraneal en caso de que se encuentre elevada, lo cual puede incluir el manejo médico con diuréticos o en ocasiones la realización de procedimientos quirúrgicos.

La anticoagulación es una de las piedras angulares en el tratamiento de la trombosis venosa intracraneal, y se recomienda iniciar con heparina intravenosa ajustada por dosis o heparina de bajo peso molecular administrada por vía subcutánea, adaptada al peso del paciente. Este enfoque se debe a que la anticoagulación temprana ha demostrado reducir la morbilidad y mortalidad asociadas con la trombosis del seno venoso. Posteriormente, se suele continuar con anticoagulación oral utilizando warfarina durante un período de seis meses, lo que permite una prevención efectiva de nuevos episodios trombóticos.

Recientemente, se han evaluado los anticoagulantes orales directos como alternativas viables a la warfarina. Un ensayo clínico aleatorizado que comparó dabigatran con warfarina, así como múltiples estudios observacionales que examinaron la eficacia de rivaroxabán y apixabán en comparación con warfarina, sugieren que estos medicamentos ofrecen resultados similares en términos de eficacia y seguridad. Esto es particularmente relevante, ya que los anticoagulantes orales directos presentan ventajas en cuanto a la facilidad de uso y el menor requerimiento de monitoreo en comparación con la warfarina.

En un contexto reciente relacionado con la vacunación contra el SARS-CoV-2, se ha observado que algunos pacientes desarrollan trombosis venosa intracraneal junto con trombocitopenia y anticuerpos contra el factor cuatro plaquetario. Para estos casos, se recomienda un enfoque específico que incluye la medición de los anticuerpos mencionados y el tratamiento con un anticoagulante que no sea heparina. Además, se puede considerar la administración de inmunoglobulina intravenosa, a una dosis de 1 gramo por kilogramo diario durante dos días, o realizar un intercambio terapéutico de plasma durante un período de cinco a siete días, lo que ha mostrado beneficios en la gestión de esta complicación.

Es importante señalar que la presencia de hemorragia intracraneal concomitante relacionada con la trombosis venosa no contraindica la anticoagulación. De hecho, la anticoagulación puede ser beneficiosa en muchos casos para prevenir la progresión del trombo y reducir el riesgo de nuevas complicaciones.

Sin embargo, en algunos pacientes, la anticoagulación puede resultar insuficiente, y estos casos refractarios requieren un enfoque más agresivo. En tales situaciones, las técnicas endovasculares pueden ser útiles. La terapia trombolítica dirigida por catéter, utilizando uroquinasa, y la trombectomía son intervenciones que pueden ser consideradas. A pesar de su potencial beneficio, es crucial tener en cuenta que estos procedimientos pueden aumentar el riesgo de hemorragia mayor, lo que requiere una cuidadosa evaluación del riesgo frente al beneficio.

 

 

Homo medicus

 


 

Guías de estudio. Homo medicus.
Guías de estudio. Homo medicus.

¡Gracias por visitarnos!

Fuente y lecturas recomendadas:
  1. Goldman, L., & Schafer, A. I. (Eds.). (2020). Goldman-Cecil Medicine (26th ed.). Elsevier.
  2. Loscalzo, J., Fauci, A. S., Kasper, D. L., Hauser, S. L., Longo, D. L., & Jameson, J. L. (Eds.). (2022). Harrison. Principios de medicina interna (21.ª ed.). McGraw-Hill Education.
  3. Papadakis, M. A., McPhee, S. J., Rabow, M. W., & McQuaid, K. R. (Eds.). (2024). Diagnóstico clínico y tratamiento 2025. McGraw Hill.
  4. Rozman, C., & Cardellach López, F. (Eds.). (2024). Medicina interna (20.ª ed.). Elsevier España.
Síguenos en X: @el_homomedicus  y @enarm_intensivo  Síguenos en instagram: homomedicus  y en Treads.net como: Homomedicus  

🟥     🟪     🟨     🟧     🟩     🟦

Aprende administración paso a paso

Administración Desde Cero

ADMINISTRACION DESDE CERO

¿De cuánta utilidad te ha parecido este contenido?

¡Haz clic en una estrella para puntuarlo!

Promedio de puntuación 0 / 5. Recuento de votos: 0

Hasta ahora, ¡no hay votos!. Sé el primero en puntuar este contenido.

Ya que has encontrado útil este contenido...

¡Sígueme en los medios sociales!

Si te fue útil este resumen, compártelo por favor!