La tomografía computada torácica, en sus diversas modalidades, ha adquirido un papel central e insustituible en la evaluación de las enfermedades del tórax, desplazando en muchos contextos el rol tradicionalmente ocupado por la radiografía simple. Esta preeminencia se debe a su superior capacidad de resolución espacial y de contraste, que permite una visualización anatómica detallada y una caracterización tisular mucho más precisa.
A diferencia de la radiografía convencional, que proyecta las estructuras torácicas en un plano bidimensional y donde frecuentemente se superponen tejidos que pueden ocultar o distorsionar hallazgos relevantes, la tomografía computada genera imágenes transversales del cuerpo mediante cortes axiales de alta resolución. En particular, la tomografía computada de alta resolución del tórax (TCAR) se enfoca en la obtención de cortes submilimétricos, lo que permite estudiar con gran detalle el parénquima pulmonar, la vía aérea y los espacios intersticiales. Esta modalidad resulta fundamental en la evaluación de enfermedades pulmonares difusas, fibrosis, enfisema, bronquiectasias o patologías intersticiales, cuya representación en la radiografía puede ser inespecífica o incluso pasar inadvertida.
La tomografía computada se solicita no solo como estudio complementario ante alteraciones previamente detectadas en una radiografía de tórax, sino también como herramienta diagnóstica de primera línea ante signos o síntomas clínicos sugestivos de patología torácica, incluso si la radiografía de tórax es normal. De hecho, en numerosas ocasiones, los hallazgos clínicamente relevantes solo son detectables mediante tomografía computada, especialmente en fases iniciales de ciertas enfermedades o cuando las alteraciones son de pequeño tamaño y difícil visualización en la radiografía convencional. Asimismo, existen situaciones en las que se prescinde por completo de la radiografía simple, y se procede directamente al estudio tomográfico, como en el contexto de evaluación preoperatoria, traumatismos torácicos complejos o seguimiento de pacientes oncológicos.
Los equipos de tomografía computada multicorte de última generación permiten obtener imágenes con cortes de grosor submilimétrico en tiempos extremadamente breves, cubriendo en una sola apnea todo el volumen pulmonar y el mediastino. Esta capacidad ha mejorado significativamente la calidad diagnóstica, eliminando artefactos de movimiento y errores por efecto de volumen parcial. Además, los datos obtenidos pueden procesarse para generar reconstrucciones multiplanares en cualquier orientación del espacio, así como modelos tridimensionales volumétricos del parénquima pulmonar, las vías aéreas o las estructuras vasculares. La posibilidad de realizar estudios dinámicos en inspiración y espiración, así como la broncoscopia virtual, extiende aún más las aplicaciones diagnósticas, permitiendo evaluar alteraciones funcionales como atrapamiento aéreo, colapso bronquial o variaciones en el calibre de las vías respiratorias.
Una ventaja crítica de la tomografía computada es su capacidad para discriminar pequeñas diferencias de densidad entre tejidos. Esto se traduce en una visualización precisa del tamaño, la forma, los márgenes y la localización exacta de lesiones intratorácicas, así como su relación con estructuras vecinas como vasos, bronquios, pleura o pared torácica. Cuando el estudio se realiza con administración de medio de contraste intravenoso, se mejora aún más la diferenciación entre masas sólidas, adenopatías y estructuras vasculares, lo que resulta esencial para la estadificación de tumores, la evaluación de linfadenopatías y la identificación de aneurismas o tromboembolismos.
La tomografía computada también es la técnica más fiable para identificar componentes específicos de los nódulos pulmonares, como grasa o calcio, lo cual orienta de forma decisiva el diagnóstico diferencial entre lesiones benignas y malignas. Además, ofrece una excelente caracterización del hilio pulmonar y el mediastino, regiones particularmente complejas por la densa concentración de estructuras anatómicas.
Tomografía computada de alta resolución
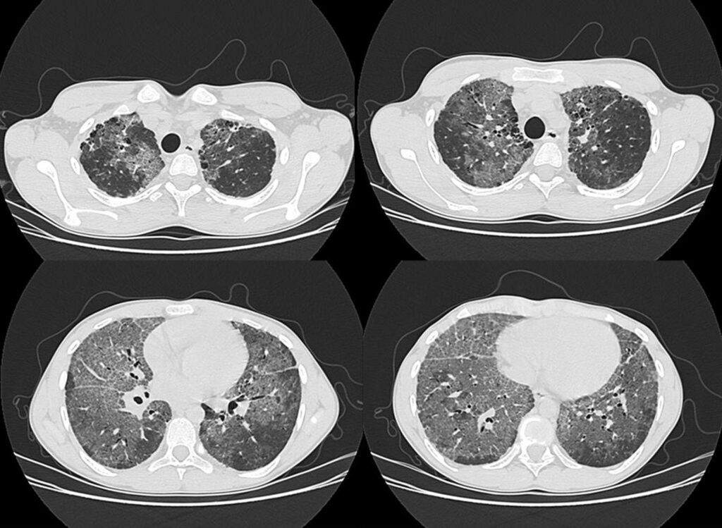
La tomografía computada de alta resolución constituye una técnica radiológica avanzada que se ha consolidado como herramienta de primera elección para el estudio morfológico detallado del parénquima pulmonar y de las vías respiratorias de pequeño calibre. Su fundamento técnico radica en la obtención de cortes extremadamente delgados, usualmente de entre uno y dos milímetros de espesor, con un campo de visión reducido que permite ampliar la imagen al máximo, y utilizando algoritmos de reconstrucción específicos, denominados filtros de alta resolución, que optimizan la nitidez de los contornos estructurales. Esta metodología permite obtener imágenes de gran fidelidad anatómica, en las que se logra una representación casi macroscópica del tejido pulmonar, comparable a la observada en estudios patológicos post mortem.
Gracias a esta precisión, la tomografía computada de alta resolución permite visualizar con claridad componentes anatómicos del lobulillo secundario pulmonar, como los bronquiolos, arterias centrolobulillares, septos interlobulillares y linfáticos subpleurales. Este nivel de detalle resulta fundamental para el reconocimiento de patrones radiológicos característicos de diferentes procesos patológicos que afectan tanto al espacio aéreo como al intersticio pulmonar.
En particular, esta técnica es insustituible en la evaluación de bronquiectasias, ya que permite demostrar la dilatación bronquial, el engrosamiento de las paredes de los bronquios y la presencia de secreciones retenidas. También es especialmente útil en el diagnóstico del enfisema pulmonar, permitiendo identificar y clasificar sus diferentes formas —centrilobulillar, panacinar o paraseptal— mediante la visualización directa de áreas de destrucción parenquimatosa sin repercusión fibrosa. Asimismo, es la técnica más adecuada para el estudio de enfermedades que comprometen las vías aéreas de pequeño calibre, como la bronquiolitis obliterante o las bronquiolitis relacionadas con enfermedades sistémicas o exposiciones ambientales.
No obstante, uno de sus principales campos de aplicación es el estudio de las enfermedades intersticiales difusas del pulmón. Estas entidades, de etiología diversa y frecuentemente compleja, presentan patrones de afectación radiológica que en muchos casos permiten establecer un diagnóstico presuntivo preciso sin necesidad de métodos invasivos. Entre los patrones mejor caracterizados se encuentran el de la neumonía intersticial usual, con su típica arquitectura distorsionada y panalización subpleural basal; el patrón micronodular y peribroncovascular de la sarcoidosis; los quistes de distribución irregular en la histiocitosis pulmonar de células de Langerhans; o las opacidades en vidrio deslustrado con distribución centrolobulillar en la neumonitis por hipersensibilidad.
La tomografía computada de alta resolución no solo permite una evaluación detallada de la extensión y morfología de las lesiones, sino que en muchos casos proporciona información diagnóstica definitiva. En particular, cuando se identifica un patrón clásico de neumonía intersticial usual con panalización, la especificidad del hallazgo es tal que puede evitar la necesidad de realizar una biopsia pulmonar, procedimiento que conlleva riesgos no despreciables y que puede resultar innecesario ante una correlación clínica y radiológica concluyente.
Indicaciones
Una de las principales indicaciones de esta modalidad de imagen es la estadificación del carcinoma broncogénico. En estos casos, la tomografía permite determinar con precisión la localización y extensión del tumor primario, su posible infiltración en estructuras vecinas como la pleura, la pared torácica o el mediastino, así como la afectación ganglionar regional y la presencia de metástasis pulmonares o pleurales. Este nivel de detalle es esencial para establecer el estadio clínico de la enfermedad, seleccionar el tratamiento más adecuado y valorar la posibilidad de resección quirúrgica.
Asimismo, la tomografía computada es insustituible en el estudio de nódulos y masas pulmonares. Permite caracterizar su tamaño, bordes, densidad y contenido interno, y detectar signos indirectos de malignidad como espiculaciones, cavitación o crecimiento progresivo. En el caso de masas mediastínicas o ensanchamientos de este compartimento, la tomografía ofrece una delimitación precisa de las estructuras comprometidas, y permite establecer una aproximación diagnóstica basada en la localización anatómica (anterior, medio o posterior) y las características del tejido.
Otra indicación clave es el estudio de enfermedades intersticiales difusas del pulmón. Gracias a su elevada resolución espacial, la tomografía permite identificar patrones radiológicos específicos —como panalización, engrosamiento septal, opacidades en vidrio deslustrado o micronódulos— que orientan hacia un diagnóstico etiológico preciso. La misma precisión se aplica al análisis de alteraciones hiliares, ya sean vasculares, ganglionares o tumorales, así como a enfermedades pleurales, en las que se evalúan engrosamientos, derrames o placas calcificadas con un detalle inalcanzable por la radiografía simple. Las enfermedades de la pared torácica también son evaluadas con gran eficacia, permitiendo valorar desde tumores y metástasis óseas hasta infiltración por neoplasias pulmonares contiguas.
Incluso en pacientes con una radiografía de tórax aparentemente normal, la tomografía computada tiene un papel diagnóstico fundamental en determinados contextos clínicos. Por ejemplo, en la búsqueda de metástasis pulmonares en pacientes oncológicos, donde pueden detectarse lesiones milimétricas que escapan a la detección radiográfica. También se utiliza para investigar causas de hemoptisis, permitiendo localizar el sitio de sangrado y orientar intervenciones terapéuticas. Su utilidad se extiende al estudio detallado de las bronquiectasias, al análisis del timo en pacientes con miastenia grave, y al diagnóstico precoz de infecciones pulmonares en pacientes inmunodeprimidos, en quienes los signos radiológicos son frecuentemente atípicos o muy sutiles. Asimismo, la tomografía es clave en la valoración de síndromes paraneoplásicos asociados a tumores pulmonares, así como ante la sospecha clínica de enfermedad pulmonar intersticial cuando los hallazgos clínicos o funcionales son sugestivos.
Además de su valor diagnóstico, la tomografía computada tiene un importante papel como guía para procedimientos intervencionistas. Se utiliza de manera rutinaria para la realización de biopsias transtorácicas, tanto de lesiones pulmonares como pleurales o mediastínicas, permitiendo una navegación precisa hacia la zona diana y aumentando la eficacia diagnóstica con mínimos riesgos. También se emplea para la colocación de drenajes en casos de derrames pleurales complicados o abscesos pulmonares, para la localización prequirúrgica de lesiones pequeñas, y como guía en técnicas de ablación tumoral mediante radiofrecuencia o microondas.
No obstante, es fundamental tener en cuenta el impacto de la dosis de radiación en la tomografía computada torácica. La exposición típica oscila entre cuatro y ocho milisieverts, lo que implica un riesgo acumulativo, especialmente en pacientes jóvenes o en aquellos que requieren estudios repetidos. Por esta razón, se han desarrollado protocolos de baja dosis, con exposiciones iguales o inferiores a un milisievert y medio, los cuales se utilizan especialmente en programas de cribado de cáncer de pulmón en población de riesgo, en el seguimiento de nódulos pulmonares indeterminados y en pacientes jóvenes, donde se busca maximizar la información diagnóstica minimizando la exposición.
Técnicas especiales
La angiografía por tomografía computada con la administración de contraste intravenoso representa una de las aplicaciones más avanzadas y versátiles de la imagen médica contemporánea en el estudio del sistema vascular torácico. Esta técnica combina la adquisición de imágenes mediante tomografía computada con la introducción de un medio de contraste yodado, lo que permite visualizar con gran precisión las estructuras vasculares del tórax, desde grandes vasos como la aorta y las arterias pulmonares hasta vasos de menor calibre, como las arterias bronquiales. Su alta resolución espacial y temporal, junto con la posibilidad de realizar reconstrucciones tridimensionales, hacen de esta herramienta un recurso indispensable en el diagnóstico y seguimiento de múltiples enfermedades vasculares.
Una de las principales indicaciones de la angiografía por tomografía computada es la valoración de la aorta torácica. Es la técnica de elección para el estudio de aneurismas, disecciones, hematomas intramurales y úlceras penetrantes, permitiendo no solo la detección de la alteración, sino también la evaluación exacta de su extensión, su relación con ramas arteriales principales y la planificación quirúrgica o endovascular. Su capacidad para detectar complicaciones asociadas, como ruptura o compresión de estructuras adyacentes, la convierte en una herramienta diagnóstica integral en estas patologías.
Además, esta técnica permite una evaluación precisa del árbol vascular pulmonar, siendo comparable en muchos aspectos a la angiografía pulmonar convencional, pero con menor invasividad y mayor rapidez. La angiografía por tomografía computada es especialmente útil en el diagnóstico de la enfermedad tromboembólica pulmonar aguda, gracias a su sensibilidad para detectar trombos en el interior de las arterias pulmonares, incluso en ramas segmentarias o subsegmentarias. Asimismo, juega un papel clave en la valoración de pacientes con hipertensión pulmonar tromboembólica crónica, ya que permite identificar signos indirectos como defectos perfusionales, dilatación de arterias pulmonares o redistribución del flujo vascular.
El estudio de malformaciones vasculares torácicas es otra área en la que esta técnica aporta un valor diagnóstico esencial. Permite identificar comunicaciones arteriovenosas, vasos aberrantes o circulación colateral en pacientes con enfermedades congénitas o adquiridas, lo que facilita la planificación de intervenciones quirúrgicas o endovasculares. En el síndrome de la vena cava superior, la tomografía con contraste permite valorar la extensión de la obstrucción, la presencia de colaterales y la posible causa subyacente, ya sea tumoral, trombótica o fibrosante.
En la hemoptisis masiva o recurrente, la angiografía por tomografía computada permite identificar el origen del sangrado, comúnmente procedente de las arterias bronquiales, pero también de otras fuentes sistémicas. Esta información es crítica para planificar procedimientos de embolización terapéutica, permitiendo una intervención dirigida, eficaz y con menor riesgo de complicaciones.
Los equipos de tomografía computada de energía dual o espectral han ampliado aún más las capacidades diagnósticas de esta técnica. Estos sistemas permiten diferenciar materiales y tejidos según su comportamiento frente a diferentes niveles de energía del haz de rayos X. Una de sus aplicaciones más innovadoras es la elaboración de mapas de concentración de yodo en el parénquima pulmonar, lo que proporciona una evaluación indirecta de la perfusión pulmonar. Esta información resulta comparable a la obtenida por gammagrafía de ventilación-perfusión, pero con la ventaja de ofrecer datos anatómicos y funcionales en un único estudio, lo que representa un avance significativo en la valoración de enfermedades vasculares pulmonares, especialmente en pacientes con tromboembolismo crónico o con dudas diagnósticas tras estudios funcionales.

Fuente y lecturas recomendadas:
- Goldman, L., & Schafer, A. I. (Eds.). (2020). Goldman-Cecil Medicine (26th ed.). Elsevier.
- Loscalzo, J., Fauci, A. S., Kasper, D. L., Hauser, S. L., Longo, D. L., & Jameson, J. L. (Eds.). (2022). Harrison. Principios de medicina interna (21.ª ed.). McGraw-Hill Education.
- Papadakis, M. A., McPhee, S. J., Rabow, M. W., & McQuaid, K. R. (Eds.). (2024). Diagnóstico clínico y tratamiento 2025. McGraw Hill.
- Rozman, C., & Cardellach López, F. (Eds.). (2024). Medicina interna (20.ª ed.). Elsevier España.

