Los síndromes pulmonares eosinófilos constituyen un conjunto variado de trastornos que afectan los pulmones y se caracterizan por una serie de hallazgos clínicos y laboratoriales comunes. En estos síndromes, uno de los rasgos distintivos es la presencia de eosinofilia sanguínea periférica, lo que significa que hay una cantidad anormalmente alta de eosinófilos en la sangre. Los eosinófilos son un tipo de glóbulo blanco que desempeña un papel crucial en las respuestas alérgicas y en la lucha contra ciertos parásitos, pero también están involucrados en procesos inflamatorios y en enfermedades autoinmunes.
En estos trastornos, los niveles de eosinófilos en la sangre suelen ser superiores a 500 células por microlitro (mcL), o 0,5 × 10^9/L. Este hallazgo en la sangre es un indicio importante, pero no suficiente por sí solo para hacer un diagnóstico, ya que la eosinofilia puede estar asociada con una variedad de condiciones diferentes.
A nivel pulmonar, los síndromes eosinofílicos se caracterizan por infiltrados eosinofílicos en los tejidos pulmonares. Estos infiltrados son acumulaciones de eosinófilos en los pulmones, que pueden causar inflamación y daño en el tejido pulmonar. Este proceso inflamatorio es frecuentemente responsable de síntomas respiratorios como disnea (dificultad para respirar) y tos. La tos puede ser persistente y a menudo está asociada con otros síntomas respiratorios, como sibilancias.
Además de los síntomas respiratorios, muchos pacientes con síndromes pulmonares eosinófilos experimentan síntomas constitucionales, que incluyen fiebre, malestar general, y pérdida de peso. Estos síntomas pueden reflejar la respuesta inflamatoria sistémica que ocurre en estos trastornos.
La variedad en la presentación clínica y los diferentes tipos de síndromes pulmonares eosinofílicos se deben a las distintas causas subyacentes que pueden llevar a la eosinofilia y la inflamación pulmonar. Por ejemplo, estos síndromes pueden ser primarios, como en el caso del síndrome de Löffler, o secundarios a infecciones parasitarias, enfermedades autoinmunes, reacciones alérgicas, o ciertos tipos de cáncer. La identificación precisa de la causa subyacente es crucial para el manejo adecuado del paciente.
Causas
Los síndromes pulmonares eosinófilos son trastornos en los que una acumulación excesiva de eosinófilos en los pulmones y en la sangre produce una serie de síntomas respiratorios y constitucionales. Las causas de estos síndromes son diversas y pueden clasificarse en varias categorías.
Una causa común de eosinofilia pulmonar es la exposición a ciertos medicamentos. Entre ellos, se incluyen nitrofurantoína, fenitoína, ampicilina y acetaminofén. Estos fármacos pueden inducir una reacción alérgica o inflamatoria que lleva a una acumulación de eosinófilos en los pulmones, resultando en síntomas como tos, disnea y en algunos casos, fiebre.
Las infecciones parasitarias son otra causa importante de eosinofilia pulmonar. Los helmintos, como Ascaris, anquilostomas y Strongyloides, pueden provocar una respuesta inflamatoria significativa en los pulmones. Cuando estas larvas migran a través de los pulmones durante su ciclo de vida, desencadenan una reacción eosinofílica. Además, las infecciones por filarias, como Wuchereria bancrofti y Brugia malayi, así como la eosinofilia pulmonar tropical, también son responsables de este tipo de inflamación.
El síndrome de Löffler es un ejemplo específico de eosinofilia pulmonar inducida por helmintos. Se caracteriza por infiltrados pulmonares eosinofílicos agudos que se producen como resultado del paso de las larvas de helmintos a través de los pulmones. Esta condición se presenta a menudo con síntomas agudos como tos, fiebre y dificultad para respirar.
Además de las causas infecciosas y medicamentosas, la eosinofilia pulmonar puede ser una característica de una variedad de enfermedades. La Aspergilosis broncopulmonar alérgica (ABPA) es una de ellas, donde la reacción alérgica al hongo Aspergillus lleva a inflamación eosinofílica en los pulmones. La granulomatosis eosinofílica con poliangiitis (anteriormente conocida como síndrome de Churg-Strauss) es otra enfermedad asociada con eosinofilia pulmonar, caracterizada por la inflamación de los vasos sanguíneos y una variedad de síntomas sistémicos. Los síndromes hipereosinofílicos sistémicos, que implican una elevación crónica de eosinófilos en todo el cuerpo, también pueden presentar eosinofilia pulmonar. El granuloma eosinofílico del pulmón, conocido también como histiocitosis de células pulmonares de Langerhans, y algunas neoplasias, como los linfomas y leucemias, también pueden involucrar eosinofilia pulmonar. Las enfermedades pulmonares intersticiales, que afectan el tejido pulmonar, también pueden presentar eosinofilia como un hallazgo secundario.
En muchos casos, el tratamiento de los síndromes pulmonares eosinófilos implica abordar la causa subyacente. Si se identifica una causa extrínseca, como un medicamento específico o una infección parasitaria, la estrategia terapéutica se centra en eliminar la causa. Esto podría significar suspender el medicamento responsable o tratar la infección parasitaria con antiparasitarios adecuados.
Sin embargo, alrededor de un tercio de los casos de eosinofilia pulmonar son idiopáticos, es decir, no se identifica una causa clara. Dentro de estos casos, hay dos síndromes comunes. La neumonía eosinofílica aguda es una enfermedad febril aguda que se manifiesta con tos y dificultad para respirar, y que a veces puede progresar rápidamente hacia una insuficiencia respiratoria. Este síndrome representa una urgencia médica debido a su rápida evolución y potencial gravedad.
Datos diagnósticos
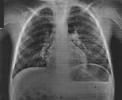
Las radiografías de tórax en pacientes con síndromes pulmonares eosinófilos suelen mostrar anomalías, pero estas no son específicas, lo que significa que las imágenes pueden evidenciar cambios que son consistentes con una variedad de trastornos pulmonares. Los infiltrados pulmonares visibles en las radiografías pueden variar en patrón y localización, y no hay una imagen radiográfica única que confirme de manera definitiva la presencia de eosinofilia pulmonar o su causa subyacente.
En la práctica clínica, la radiografía de tórax en estos casos puede mostrar infiltrados pulmonares, que son áreas opacas en el pulmón debido a la acumulación de células inflamatorias, fluidos o tejido anormal. Sin embargo, estos infiltrados son comunes en muchas enfermedades pulmonares, no solo en los síndromes eosinofílicos, y por lo tanto no permiten un diagnóstico específico. Esto implica que, aunque la radiografía puede ser útil para observar la extensión y la distribución de la enfermedad pulmonar, no puede distinguir entre diferentes tipos de eosinofilia pulmonar o determinar la causa precisa de los infiltrados.
El líquido de lavados broncoalveolares (BAL) es una herramienta diagnóstica importante en la evaluación de la eosinofilia pulmonar. Durante un procedimiento de broncoscopía, se realiza un lavado de los alvéolos pulmonares con solución salina, y el líquido recuperado se analiza para evaluar el contenido celular y la presencia de eosinófilos. En muchos casos de síndromes pulmonares eosinofílicos, el líquido BAL muestra una marcada eosinofilia, indicando que hay una acumulación significativa de eosinófilos en los pulmones. Este hallazgo es más específico para la inflamación eosinofílica en los pulmones en comparación con la radiografía de tórax.
Es importante notar que, a pesar de que el líquido BAL puede mostrar eosinofilia, la eosinofilia en la sangre periférica no siempre está presente al inicio de los síntomas. En las etapas tempranas de la enfermedad, los eosinófilos pueden no estar elevados en la sangre, lo que puede dificultar el diagnóstico temprano. La eosinofilia en la sangre periférica se desarrolla a menudo más tarde en el curso de la enfermedad, por lo que su ausencia al inicio no descarta la posibilidad de un síndrome eosinofílico pulmonar.
La neumonía eosinofílica crónica, por otro lado, tiene una presentación más prolongada y subaguda. Los pacientes suelen presentar fiebre, sudores nocturnos, pérdida de peso y disnea persistente. En aproximadamente la mitad de los casos, los pacientes tienen antecedentes de asma o atopia, lo que sugiere una posible conexión con reacciones alérgicas o inflamatorias crónicas.
Las radiografías de tórax en la neumonía eosinofílica crónica frecuentemente muestran infiltrados periféricos, que se describen a veces como el “negativo fotográfico” del edema pulmonar. En el edema pulmonar, los infiltrados tienden a ser más difusos y centrales, mientras que en la neumonía eosinofílica crónica, los infiltrados son más periféricos y pueden tener una distribución en parches. Este patrón radiográfico puede ayudar a diferenciar la neumonía eosinofílica crónica de otras condiciones pulmonares.
El análisis del líquido BAL en la neumonía eosinofílica crónica típicamente revela una eosinofilia marcada, lo que refuerza el diagnóstico de inflamación eosinofílica. En contraste con la fase inicial de otras formas de eosinofilia pulmonar, la eosinofilia en la sangre periférica en la neumonía eosinofílica crónica suele estar presente en más del 80% de los casos, lo que ayuda a corroborar el diagnóstico.
Tratamiento
La respuesta a los corticosteroides, como la prednisona, suele ser notablemente rápida y dramática en los síndromes pulmonares eosinófilos debido a su potente efecto antiinflamatorio. Estos medicamentos tienen una capacidad única para aliviar la inflamación y los síntomas asociados, proporcionando una mejora significativa en poco tiempo.
Cuando se administra prednisona oral, típicamente en dosis de 1 mg/kg/día durante una a dos semanas, se observa una respuesta casi inmediata en muchos pacientes. La razón de esta rápida mejoría radica en cómo los corticosteroides actúan en el cuerpo. Al ingresar en el organismo, la prednisona se convierte en su forma activa, la prednisolona, y comienza a intervenir en los procesos inflamatorios.
Los corticosteroides funcionan principalmente al reducir la actividad de los eosinófilos, que son un tipo de glóbulo blanco involucrado en la inflamación en los síndromes pulmonares eosinofílicos. Estos medicamentos bloquean la liberación de citoquinas inflamatorias y otros mediadores que promueven la inflamación y atraen a los eosinófilos a los tejidos afectados. Además, disminuyen la permeabilidad de los vasos sanguíneos y reducen la cantidad de líquido inflamatorio en los tejidos pulmonares, aliviando así los síntomas como la tos y la disnea.
Debido a esta acción potente y rápida, los pacientes suelen experimentar una mejora dramática en su condición en cuestión de días. Sin embargo, el tratamiento con corticosteroides no suele ser una solución única. Aunque la respuesta inicial puede ser espectacular, la mayoría de los pacientes necesitan continuar con una dosis de mantenimiento para evitar recaídas.
Para muchos, esto implica seguir con una dosis baja de prednisona, alrededor de 10-15 mg cada dos días, durante un período prolongado, que puede durar un año o incluso más. A menudo, este tratamiento puede ser necesario de manera indefinida para mantener los síntomas bajo control y prevenir la recurrencia de la enfermedad. La necesidad de un tratamiento prolongado se debe a que, al reducir la dosis o interrumpir el tratamiento demasiado pronto, es posible que los síntomas regresen y la inflamación se reanude.

Fuente y lecturas recomendadas:
- Rosenberg, C. E., et al. (2021). Approach to eosinophilia presenting with pulmonary symptoms. Chest, 159(2), 507. https://doi.org/10.1016/j.chest.2020.09.017 [PMID: 33002503]
- Suzuki, Y., et al. (2019). Eosinophilic pneumonia: A review of the previous literature, causes, diagnosis, and management. Allergology International, 68(4), 413-419. https://doi.org/10.1016/j.alit.2019.03.003 [PMID: 31253537]
