La capacidad de la fucsina básica decolorada, también conocida como reactivo de Schiff o reactivos de Schiff, para reaccionar con grupos aldehído es esencial en varias técnicas histológicas y citológicas. Esta capacidad es la base de reacciones importantes como la de ácido peryódico-reactivo de Schiff (PAS) y la de Feulgen. Lo que ocurre es que los grupos aldehído, que son grupos funcionales con un carbonilo en su estructura, son característicos de ciertos compuestos orgánicos, como los azúcares reductores.
Los reactivos de Schiff, como la fucsina básica decolorada, contienen un grupo cromóforo que tiene afinidad por estos grupos aldehído. Esto significa que estos reactivos pueden unirse específicamente a los grupos aldehído presentes en las moléculas objetivo en una muestra. Cuando ocurre esta reacción, se forma un enlace covalente entre el reactivo y el grupo aldehído.
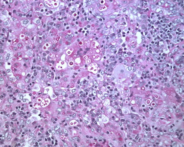
Por ejemplo, en la técnica PAS, que se utiliza para detectar azúcares reductores en muestras histológicas o citológicas, el reactivo de Schiff reacciona con los grupos aldehído de estos azúcares. Esto da como resultado la aparición de un color rojo característico en las áreas que contienen azúcares reductores. La intensidad del color rojo está relacionada con la cantidad de azúcares reductores presentes en la muestra.
De manera similar, en la reacción de Feulgen, que se utiliza para identificar y cuantificar el ADN en células y tejidos, el reactivo de Schiff reacciona específicamente con los grupos aldehído presentes en los grupos fosfato terminales del ADN. Esta reacción con el ADN conduce a la aparición de un color rojo distintivo en las áreas que contienen ADN.
Aplicaciones de la técnica PAS:
- Identificación de glucógeno: La técnica PAS se utiliza comúnmente para demostrar la presencia de glucógeno en las células, especialmente en tejidos como el hígado y el músculo, donde se almacena como fuente de energía. La coloración rosa-magenta característica permite identificar claramente las áreas que contienen glucógeno.
- Detección de moco: El moco es una secreción viscosa producida por diversas células y tejidos, como las células caliciformes en el epitelio respiratorio y gastrointestinal. El moco está compuesto principalmente de glucoproteínas ricas en carbohidratos. La técnica PAS se utiliza para resaltar y confirmar la presencia de moco en estas células y tejidos, lo que es fundamental en el estudio de enfermedades respiratorias y gastrointestinales.
- Membrana basal: La membrana basal es una estructura delgada y especializada que rodea a las células epiteliales en diversos tejidos. Contiene polisacáridos y glucoproteínas. La técnica PAS se emplea para visualizar y resaltar la membrana basal, lo que es crucial para la identificación de esta estructura en estudios histológicos.
- Fibras reticulares: Las fibras reticulares son un tipo de fibras de colágeno presentes en el tejido conjuntivo. También contienen carbohidratos y pueden ser identificadas y resaltadas utilizando la técnica PAS.
En resumen, la capacidad del reactivo de Schiff para reaccionar con grupos aldehído en azúcares reductores y en el ADN es la base de las reacciones de PAS y Feulgen. Esta reacción química forma enlaces covalentes y resulta en la aparición de un color rojo característico en las áreas de interés, lo que es fundamental para la identificación y cuantificación de estas moléculas en aplicaciones de investigación y diagnóstico en histología y citología.


