La radiografía convencional, también denominada placa simple, constituye la forma más elemental y, al mismo tiempo, más difundida de obtención de imágenes diagnósticas mediante radiación ionizante. Se define como la técnica que genera imágenes a partir de rayos X producidos por un tubo emisor, sin la administración de sustancias de contraste como compuestos de bario o yodo. En este contexto, la imagen obtenida representa exclusivamente las diferencias naturales de absorción de radiación entre los tejidos del organismo.
Desde el punto de vista físico, los rayos X son radiaciones electromagnéticas de alta energía capaces de atravesar la materia e interactuar con ella mediante fenómenos de absorción y dispersión. Cuando un haz de rayos X incide sobre el cuerpo humano, parte de la energía es absorbida y parte continúa su trayecto hasta alcanzar el detector. La magnitud de esta atenuación depende de factores como el espesor del tejido, su densidad física y su composición atómica. Las estructuras con mayor número atómico efectivo, como el tejido óseo, absorben una proporción mayor de radiación y, por ello, aparecen más claras en la imagen final. En contraste, los tejidos blandos, menos densos, permiten un mayor paso del haz y se representan en tonos más oscuros.
La radiografía convencional, por tanto, es una representación bidimensional de un proceso tridimensional de atenuación diferencial. No existe reconstrucción volumétrica ni procesamiento complejo de datos: la imagen es el resultado directo de la distribución espacial de la energía remanente tras atravesar el organismo.
Componentes técnicos indispensables
Para la producción de una radiografía convencional se requieren tres elementos esenciales, cada uno con una función física específica.
En primer lugar, es necesaria una fuente de rayos X, comúnmente denominada aparato de rayos X. Este dispositivo contiene un tubo en el cual electrones acelerados a alta energía impactan contra un blanco metálico, generando radiación electromagnética en el rango de los rayos X. La energía del haz puede ajustarse según la región anatómica que se desee explorar, permitiendo optimizar el contraste entre tejidos.
En segundo lugar, se requiere un sistema detector capaz de registrar la distribución de radiación transmitida. Históricamente, este sistema consistía en una placa fotográfica recubierta por emulsiones fotosensibles. Posteriormente, se introdujeron chasis con láminas de fósforo fotoestimulable y, más recientemente, detectores digitales de panel plano que convierten la energía incidente en señales eléctricas cuantificables. Independientemente de la tecnología empleada, el principio permanece inalterado: traducir la intensidad de radiación en una imagen visible.
En tercer lugar, es indispensable un método de procesamiento. En los sistemas analógicos, este procesamiento implicaba reacciones químicas que transformaban la imagen latente en una imagen visible permanente. En los sistemas digitales, el procesamiento consiste en la conversión electrónica de señales en matrices de datos que pueden visualizarse en monitores especializados. Este paso es crucial, ya que determina la calidad diagnóstica final mediante ajustes de contraste, brillo y resolución espacial.
Ventajas operativas y relevancia clínica
La principal ventaja de la radiografía convencional radica en su accesibilidad técnica y económica. En comparación con otras modalidades de imagen, como la tomografía computarizada o la resonancia magnética, el equipamiento requerido es menos costoso, más compacto y más sencillo de operar. Esta característica ha permitido su implementación en hospitales de alta complejidad, centros de atención primaria e incluso en entornos rurales o unidades móviles.
La posibilidad de utilizar equipos portátiles constituye un elemento estratégico fundamental. En unidades de cuidados intensivos, quirófanos o situaciones de emergencia, el aparato puede desplazarse hasta el paciente, evitando traslados que podrían comprometer su estabilidad clínica. Esta versatilidad explica por qué continúa siendo el estudio de imagen más solicitado a nivel mundial.
En términos epidemiológicos, la radiografía convencional representa la puerta de entrada al diagnóstico por imágenes. Es el primer examen que se realiza en múltiples escenarios clínicos debido a su rapidez, disponibilidad y capacidad para detectar alteraciones estructurales evidentes.
Indicaciones clínicas más frecuentes
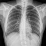
Entre las aplicaciones más habituales destaca la radiografía de tórax. Este estudio permite evaluar el parénquima pulmonar, el tamaño y la silueta cardíaca, la presencia de derrames pleurales y múltiples patologías respiratorias agudas o crónicas. Su utilidad se debe a la marcada diferencia de densidad entre el aire pulmonar y las estructuras sólidas, lo que genera un contraste natural elevado.
La radiografía simple de abdomen constituye otra indicación frecuente, particularmente en la valoración de obstrucciones intestinales, perforaciones o presencia de cuerpos extraños. Aunque el contraste entre tejidos blandos es limitado, la presencia de aire y niveles hidroaéreos puede aportar información diagnóstica relevante.
En el sistema esquelético, la radiografía convencional es el estudio inicial ante sospecha de fracturas, luxaciones o alteraciones articulares degenerativas. El hueso, debido a su elevada absorción de rayos X, se visualiza con nitidez, lo que facilita la identificación de discontinuidades corticales o cambios estructurales.
Limitaciones físicas y riesgos biológicos
A pesar de su utilidad, la radiografía convencional presenta limitaciones intrínsecas derivadas de su fundamento físico. Una de las principales desventajas es el rango limitado de densidades que puede representar. Dado que la imagen depende de diferencias relativamente amplias en la absorción de radiación, los tejidos con densidades similares pueden resultar indistinguibles entre sí. Esto reduce la sensibilidad para detectar alteraciones sutiles en órganos blandos.
Otra limitación importante es su naturaleza bidimensional. Al superponerse estructuras tridimensionales en un plano único, pueden generarse sombras o artefactos que dificulten la interpretación. Esta superposición puede ocultar lesiones o simular hallazgos inexistentes.
Desde el punto de vista biológico, la utilización de radiación ionizante implica un riesgo potencial. Los rayos X poseen suficiente energía para producir ionización en las moléculas biológicas, lo que puede inducir daño en el material genético celular. Aunque las dosis empleadas en radiografía convencional son relativamente bajas, la exposición acumulativa debe controlarse mediante principios de protección radiológica, justificando cada estudio y optimizando los parámetros técnicos.

Fuente y lecturas recomendadas:
- Herring, W. (2024). Radiología básica: Aspectos fundamentales (5.ª ed.). Elsevier España.
- Bushong, S. C. (2022). Manual de radiología para técnicos: Física, biología y protección radiológica (12.ª ed.). Elsevier.
- Formación en Radiología (FORA), Del Cura Rodríguez, J. L., Aquerreta Beola, J. D., Sendra Portero, F., & Carreira Villamor, J. (2021). Radiología básica: Método programado para el aprendizaje. Editorial Médica Panamericana.

