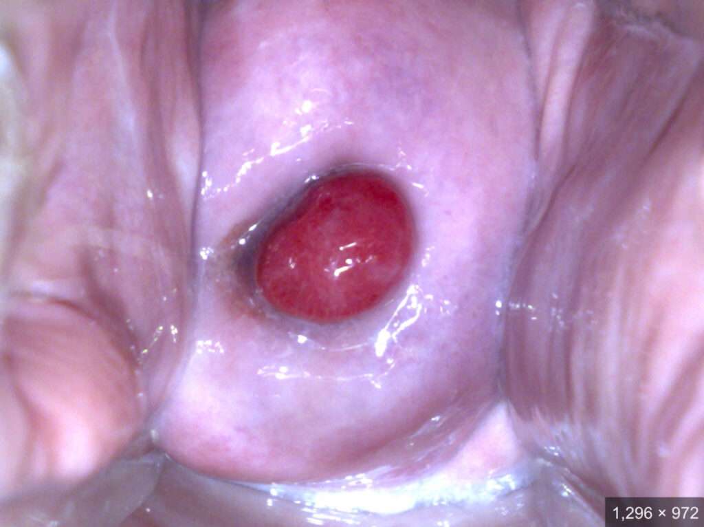
Los pólipos cervicales son formaciones benignas que se desarrollan en el cuello del útero, específicamente en el orificio cervical, y son comúnmente observados en mujeres durante los años reproductivos, especialmente después de los 40 años de edad. Sin embargo, también pueden encontrarse en pacientes postmenopáusicas, aunque en menor frecuencia. Estos pólipos se identifican fácilmente a través de un examen de especuloscopia, ya que son visibles en el orificio cervical.
Aunque la causa exacta de la formación de pólipos cervicales no se ha determinado de manera concluyente, se ha postulado que la inflamación podría jugar un papel fundamental en su etiología. Esta inflamación, a su vez, puede estar asociada a diversas condiciones, como infecciones, irritación crónica o trauma físico en la zona cervical.
Los principales síntomas que presentan los pólipos cervicales son el flujo vaginal anómalo y el sangrado vaginal irregular. Sin embargo, es importante señalar que no se debe atribuir el sangrado anómalo únicamente a la presencia de un pólipo cervical sin antes realizar una evaluación exhaustiva de la paciente, para descartar otras causas posibles de sangrado uterino anómalo (AUB, por sus siglas en inglés). Este tipo de sangrado puede estar asociado a diversas afecciones, por lo que es fundamental realizar un diagnóstico diferencial.
El diagnóstico diferencial de los pólipos cervicales incluye la exclusión de enfermedades neoplásicas polipoides del endometrio, miomas submucosos pequeños y pedunculados, grandes quistes de Naboth y pólipos endometriales. Estas condiciones pueden presentar síntomas similares, pero requieren de un tratamiento y manejo diferente.
Aunque los pólipos cervicales son en su mayoría benignos, es relevante tener en cuenta que en raras ocasiones pueden contener focos de displasia o de malignidad, aunque este fenómeno es extremadamente infrecuente, representando solo el 0.5% de los casos. En mujeres menores de 45 años con pólipos pequeños y asintomáticos, se puede optar por no realizar tratamiento, bajo una observación cuidadosa, ya que estas lesiones rara vez son problemáticas o se asocian con complicaciones graves.
En cuanto al tratamiento, los pólipos cervicales generalmente se pueden eliminar de manera efectiva en consulta ambulatoria mediante avulsión, utilizando fórceps de empaque uterino o fórceps en anillo. Este procedimiento es sencillo, rápido y bien tolerado por la mayoría de las pacientes, y permite eliminar el pólipo de manera eficiente, aliviando los síntomas y reduciendo el riesgo de complicaciones. En general, la intervención quirúrgica no suele ser necesaria a menos que el pólipo cause síntomas persistentes o que se sospeche de malignidad, lo que sería poco frecuente.

Fuente y lecturas recomendadas:
- Goldman, L., & Schafer, A. I. (Eds.). (2020). Goldman-Cecil Medicine (26th ed.). Elsevier.
- Loscalzo, J., Fauci, A. S., Kasper, D. L., Hauser, S. L., Longo, D. L., & Jameson, J. L. (Eds.). (2022). Harrison. Principios de medicina interna (21.ª ed.). McGraw-Hill Education.
- Papadakis, M. A., McPhee, S. J., Rabow, M. W., & McQuaid, K. R. (Eds.). (2024). Diagnóstico clínico y tratamiento 2025. McGraw Hill.
- Rozman, C., & Cardellach López, F. (Eds.). (2024). Medicina interna (20.ª ed.). Elsevier España.

