Las neumoconiosis son un grupo de enfermedades pulmonares crónicas caracterizadas por la acumulación de polvo inorgánico inerte en los pulmones, que provoca una respuesta inflamatoria y fibrotización del tejido pulmonar. Estas enfermedades se desarrollan a lo largo del tiempo debido a la inhalación continua de partículas minúsculas, que, a pesar de no ser tóxicas por sí mismas, desencadenan un proceso patológico en el parénquima pulmonar.
Cuando los polvos inorgánicos son inhalados, se depositan en los alvéolos pulmonares, donde las células fagocíticas, como los macrófagos, intentan eliminar estas partículas. Sin embargo, en el caso de partículas particularmente grandes o en cantidades excesivas, la capacidad de los macrófagos para manejar el polvo se ve sobrepasada. Esto lleva a una acumulación de polvo en los tejidos pulmonares, lo que provoca una inflamación crónica y la liberación de mediadores inflamatorios. Con el tiempo, esta inflamación crónica y la persistencia del polvo en los pulmones inducen un proceso de cicatrización, conocido como fibrosis, donde el tejido pulmonar normal es reemplazado por tejido conectivo denso y fibroso.
Las neumoconiosis pueden presentar un amplio espectro clínico. En los casos más benignos, la enfermedad puede ser asintomática y solo detectarse mediante radiografías de tórax que muestran opacidades nodulares difusas en el parénquima pulmonar. Estos nodos pueden ser indicativos de fibrosis incipiente sin síntomas evidentes para el paciente. Sin embargo, en casos más avanzados y graves, la fibrosis pulmonar puede llevar a la reducción significativa de la capacidad respiratoria, síntomas clínicos prominentes como disnea (dificultad para respirar), tos persistente, y una disminución en la calidad de vida que puede resultar en una reducción en la esperanza de vida.
Entre las neumoconiosis más destacadas se encuentran la neumoconiosis del trabajador del carbón, la silicosis y la asbestosis. Cada una de estas enfermedades está asociada con tipos específicos de polvos inorgánicos:
Asbestosis: Causada por la inhalación de fibras de amianto, este tipo de neumoconiosis se asocia con actividades como la minería de amianto, la fabricación de aislamiento, la construcción y la construcción naval. Las fibras de amianto, al ser inhaladas, se depositan en el tejido pulmonar y desencadenan una respuesta inflamatoria crónica que lleva a la formación de tejido fibroso, resultando en una restricción progresiva de la capacidad respiratoria. La exposición prolongada al amianto también está vinculada a un mayor riesgo de cáncer de pulmón y mesotelioma.
Baritosis: Esta neumoconiosis está vinculada a la inhalación de sales de bario, que se encuentran comúnmente en la fabricación de vidrio y en la producción de insecticidas. Las sales de bario pueden inducir la formación de depósitos en los pulmones, aunque generalmente la baritosis es menos grave comparada con otras formas de neumoconiosis y a menudo se presenta con síntomas más leves.
Neumoconiosis del Trabajador del Carbón (Pneumoconiosis del Carbón): Esta enfermedad resulta de la inhalación de polvo de carbón, que es común en la minería de carbón. El polvo de carbón se acumula en los pulmones, formando nódulos que eventualmente conducen a una fibrosis extensa y deterioro pulmonar significativo. Esta forma de neumoconiosis puede llevar a complicaciones graves como la enfermedad del pulmón negro.
Neumoconiosis por Kaolin: Asociada con la exposición al caolín, un mineral utilizado en la producción de cerámica y cemento, así como en la minería de arcilla china. La inhalación de polvo de caolín puede causar una respuesta inflamatoria en los pulmones, aunque la fibrosis tiende a ser menos severa en comparación con otras neumoconiosis.
Enfermedad de Shaver: Este tipo de neumoconiosis está relacionado con la inhalación de polvo de aluminio, especialmente en la fabricación de corindón. El polvo de aluminio puede inducir una respuesta inflamatoria y fibrotización en los pulmones, aunque es menos frecuente en comparación con otras formas de neumoconiosis.
Siderosis: Causada por la inhalación de hierro metálico o óxido de hierro, esta enfermedad es común en actividades relacionadas con la minería, la soldadura y el trabajo en fundiciones. La siderosis se caracteriza por la acumulación de partículas de hierro en los pulmones, llevando a la formación de nódulos y fibrosis pulmonar, aunque generalmente se considera menos grave que otras neumoconiosis.
Silicosis: Esta forma de neumoconiosis resulta de la inhalación de sílice libre (dióxido de silicio), que se encuentra en actividades como la minería de roca, la cantera, el corte de piedra, la excavación de túneles, el arenado, la cerámica y la tierra de diatomeas. La sílice libre provoca una inflamación crónica en los pulmones que puede evolucionar a fibrosis progresiva, y es una de las formas más serias de neumoconiosis debido a su capacidad para inducir una severa fibrosis pulmonar y aumentar el riesgo de enfermedades respiratorias adicionales, como la tuberculosis.
Stannosis: Causada por la inhalación de polvo de estaño o óxido de estaño, esta neumoconiosis se asocia con actividades de minería de estaño, trabajo con estaño y fundición. Aunque la stannosis puede provocar la acumulación de polvo en los pulmones y fibrosis, suele ser menos grave en comparación con otras neumoconiosis.
Talcosis: Resulta de la exposición a sílice de magnesio, encontrada en la minería de talco, así como en actividades de aislamiento y construcción. El polvo de talco puede inducir inflamación y fibrosis en los pulmones, similar a otras formas de neumoconiosis.
El manejo de las neumoconiosis es predominantemente de apoyo. Una vez que la fibrosis pulmonar está establecida, el tratamiento se enfoca en aliviar los síntomas, mejorar la calidad de vida y prevenir la progresión de la enfermedad. La rehabilitación pulmonar es una intervención terapéutica importante que incluye ejercicios de respiración, entrenamiento físico y educación para el manejo de la enfermedad. Esta estrategia busca mejorar la función pulmonar residual, aumentar la capacidad de ejercicio y proporcionar apoyo psicológico y educativo a los pacientes para ayudarles a enfrentar el impacto de la enfermedad en su vida diaria.
Neumoconiosis del trabajador del carbón
La neumoconiosis del trabajador del carbón, también conocida como neumoconiosis de los mineros del carbón, es una enfermedad pulmonar crónica provocada por la inhalación de polvo de carbón. Este polvo, compuesto principalmente por partículas de carbono, se deposita en los alvéolos pulmonares, donde es fagocitado por los macrófagos alveolares. La acumulación de polvo de carbón en los pulmones y la subsiguiente respuesta inflamatoria son fundamentales en la patogénesis de esta enfermedad.
Cuando las partículas de carbón son inhaladas, llegan a los alvéolos, las unidades funcionales de intercambio gaseoso en los pulmones. En respuesta a la presencia de estas partículas, los macrófagos alveolares intentan eliminar el polvo a través de la fagocitosis. Sin embargo, los macrófagos a menudo no pueden eliminar completamente las partículas de carbón, que se acumulan y quedan atrapadas en los tejidos pulmonares. Esta acumulación de polvo de carbón lleva a la formación de las llamadas máculas de carbón, que son pequeñas áreas de depósito de carbón en el tejido pulmonar. Estas máculas suelen tener un diámetro de entre 2 y 5 mm.
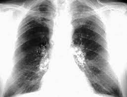
En las radiografías de tórax (CXR), estas máculas de carbón se presentan como pequeñas opacidades difusas, especialmente notables en las regiones pulmonares superiores. La distribución predominante de estas opacidades en los lóbulos superiores es característica de la neumoconiosis del trabajador del carbón y refleja la tendencia del polvo a acumularse en estas áreas debido a la dinámica de ventilación y la gravedad.
En sus formas iniciales, la neumoconiosis del trabajador del carbón, conocida como neumoconiosis simple, a menudo es asintomática. Los pacientes pueden no experimentar síntomas evidentes y las pruebas de función pulmonar (PFT) pueden mostrar anomalías relativamente leves. Las alteraciones en las PFT en esta fase tienden a ser mínimas, ya que la fibrosis y el daño pulmonar aún no son suficientemente extensos como para afectar significativamente la función respiratoria.
Sin embargo, a medida que la exposición al polvo de carbón continúa y la enfermedad progresa, puede desarrollarse la neumoconiosis complicada del trabajador del carbón, también conocida como fibrosis masiva progresiva (FMP). En esta etapa, se produce una conglomeración de las máculas de carbón y una significativa contracción y fibrosis en las zonas pulmonares afectadas, principalmente en los lóbulos superiores. La progresión de la enfermedad lleva a la formación de grandes áreas de fibrosis que se asemejan a las características radiográficas observadas en la silicosis complicada, otra forma grave de neumoconiosis en la que también se observa una fibrosis masiva y progresiva.
La neumoconiosis complicada del trabajador del carbón se manifiesta en las radiografías de tórax por la presencia de grandes opacidades conglomeradas y una fibrosis más pronunciada. Esta progresión puede resultar en una notable disminución de la función pulmonar, síntomas clínicos como disnea y tos crónica, y una reducción en la calidad de vida del paciente.
Silicosis
La silicosis es una forma de neumoconiosis inducida por la inhalación de partículas de sílice libre, principalmente dióxido de silicio (SiO₂), que se encuentra en diversos entornos laborales, como en la arena, la fundición, el corte de granito y piedra, el moldeo y la producción de cerámica. Estas partículas tienen un tamaño en el rango respirable, es decir, de 0,3 a 5 micrómetros, lo que les permite alcanzar los alvéolos pulmonares, donde se depositan y generan un proceso patológico significativo.
Cuando las partículas de sílice libre son inhaladas, se depositan en el parénquima pulmonar y son fagocitadas por los macrófagos alveolares. Sin embargo, debido a la naturaleza inerte y tóxica del dióxido de silicio, los macrófagos no pueden eliminar completamente las partículas. Esta incapacidad para eliminar el polvo conduce a una respuesta inflamatoria crónica, que se manifiesta en la formación de nódulos silicóticos. Estos nódulos son pequeñas opacidades redondeadas que se distribuyen por todo el pulmón y se desarrollan como resultado de la acumulación de partículas de sílice y la inflamación crónica subsiguiente.
En términos radiográficos, un hallazgo distintivo de la silicosis es la calcificación de la periferia de los ganglios linfáticos hilares, conocida como calcificación de «cáscara de huevo». Este patrón radiográfico es un marcador característico que sugiere fuertemente la presencia de silicosis, aunque no es observado en todas las presentaciones de la enfermedad. La calcificación de la cáscara de huevo se refiere a la calcificación de los bordes de los ganglios linfáticos hilares y mediastínicos, que se observa en las imágenes radiográficas y es indicativa de una respuesta inflamatoria crónica prolongada.
En su forma simple, la silicosis suele ser asintomática y las alteraciones en las pruebas de función pulmonar (PFT) rutinarias pueden ser mínimas. Los nódulos silicóticos en esta fase no suelen causar una reducción significativa en la función respiratoria ni producir síntomas clínicos evidentes. Sin embargo, a medida que la enfermedad progresa y se convierte en silicosis complicada, los pacientes desarrollan grandes conglomerados de nódulos en los pulmones, particularmente en las regiones superiores. Esta forma avanzada de silicosis, también conocida como fibrosis masiva progresiva, se acompaña de síntomas como disnea (dificultad para respirar) y una disfunción pulmonar que puede ser tanto obstructiva como restrictiva.
Además, los pacientes con silicosis tienen un riesgo significativamente aumentado de desarrollar tuberculosis pulmonar (TB). La sílice libre puede dañar el sistema inmunológico y alterar la capacidad de los macrófagos para contener y eliminar los patógenos, facilitando así la reactivación o infección por tuberculosis. Por esta razón, es fundamental que todos los pacientes diagnosticados con silicosis se sometan a pruebas cutáneas de tuberculina y a un examen de radiografía de tórax (CXR) para descartar la presencia de tuberculosis activa o latente.
Asbestosis
La asbestosis es una enfermedad pulmonar crónica caracterizada por una fibrosis intersticial nodular que resulta de la exposición prolongada a fibras de amianto. Esta enfermedad afecta principalmente a trabajadores que han estado expuestos a amianto en industrias como la construcción, la instalación de tuberías, y el trabajo en astilleros, a menudo durante un período prolongado de 10 a 20 años.
Las fibras de amianto son minerales en forma de fibras que, cuando se inhalan, pueden permanecer en los pulmones durante décadas debido a su naturaleza inerte y resistente. Esta exposición crónica provoca una respuesta inflamatoria continua en el tejido pulmonar, que conduce a la formación de tejido cicatricial, o fibrosis, en el intersticio pulmonar. La fibrosis intersticial nodular es el resultado de esta acumulación progresiva de tejido fibroso que reemplaza al tejido pulmonar sano.
Los pacientes con asbestosis generalmente buscan atención médica muchos años después de haber estado expuestos al amianto, con un periodo típico de presentación de síntomas que suele ser de al menos 15 años tras la exposición inicial. Los síntomas clínicos comunes incluyen disnea progresiva (dificultad para respirar), que se desarrolla lentamente a medida que la fibrosis pulmonar avanza. Los pacientes también pueden presentar crujidos inspiratorios, que son ruidos crepitantes que se escuchan al escuchar los pulmones con un estetoscopio, así como fricciones pleurales, que son ruidos causados por el rozamiento de las pleuras inflamadas. En etapas más avanzadas, los pacientes pueden mostrar signos de cianosis, que es una coloración azulada de la piel y las membranas mucosas debido a la hipoxemia (baja oxigenación de la sangre).
En las radiografías de tórax, la asbestosis se manifiesta con características radiográficas distintivas. Estas incluyen la presencia de rayas lineales en las bases pulmonares, que reflejan la fibrosis subpleural y el engrosamiento de las estructuras pulmonares. Las imágenes también pueden mostrar opacidades de diversas formas y tamaños, que corresponden a los nódulos fibrosos en el pulmón. En casos avanzados de asbestosis, pueden observarse cambios en el patrón de panal de abeja, que es una representación radiográfica de fibrosis avanzada y destrucción de las estructuras pulmonares.
La presencia de placas pleurales, que son áreas localizadas de engrosamiento de la pleura (la membrana que recubre los pulmones), puede ser un indicio importante en el diagnóstico de asbestosis. Estas placas suelen aparecer en la superficie de los pulmones y en la pleura parietal y son indicativas de exposición prolongada al amianto.
La tomografía computarizada de alta resolución (TCAR) es el método de imagen más efectivo para evaluar la asbestosis. Su capacidad para proporcionar imágenes detalladas del tejido pulmonar permite una evaluación más precisa de la fibrosis parenquimal y la identificación de placas pleurales coexistentes. La TCAR es particularmente útil para visualizar los patrones de fibrosis y detectar cambios sutiles en el tejido pulmonar que pueden no ser evidentes en una radiografía de tórax convencional.
El riesgo de complicaciones en trabajadores expuestos al amianto se ve exacerbado por el consumo de tabaco. El fumar cigarrillos en estos individuos no solo aumenta la prevalencia de cambios pleurales y parenquimatosos observados en las imágenes radiográficas, sino que también incrementa notablemente la incidencia de carcinoma pulmonar. Además, el fumar puede interferir con la capacidad del organismo para eliminar las fibras cortas de amianto del pulmón, aumentando aún más el riesgo de enfermedad.
Las pruebas de función pulmonar (PFT) en pacientes con asbestosis revelan una disfunción restrictiva, caracterizada por una disminución en la capacidad pulmonar total y un compromiso en la capacidad de difusión de gases, que es indicativo de la capacidad reducida del pulmón para transferir oxígeno a la sangre.
No existe un tratamiento específico para la asbestosis. El manejo de la enfermedad se centra en el control de los síntomas, la prevención de la progresión de la fibrosis y la gestión de las complicaciones asociadas, incluyendo la reducción de la exposición al amianto y el monitoreo continuo de la salud pulmonar.

Fuente y lecturas recomendadas:
- Leonard R, et al. Coal mining and lung disease in the 21st century. Curr Opin Pulm Med. 2020;26:135. [PMID: 31815751]
- Reynolds C, et al. Occupational contributions to interstitial lung disease. Clin Chest Med. 2020;41:697. [PMID: 33153688]
- Walkoff L, et al. Chest imaging in the diagnosis of occupational lung diseases. Clin Chest Med. 2020;41:581. [PMID: 33153681]
- Zhao H, et al. Pulmonary rehabilitation can improve the functional capacity and quality of life for pneumoconiosis patients: a systematic review and meta-analysis. Biomed Res Int. 2020;2020:6174936. [PMID: 32802860]

