¿Qué es un folículo tiroideo?
¿Qué es un folículo tiroideo?

¿Qué es un folículo tiroideo?

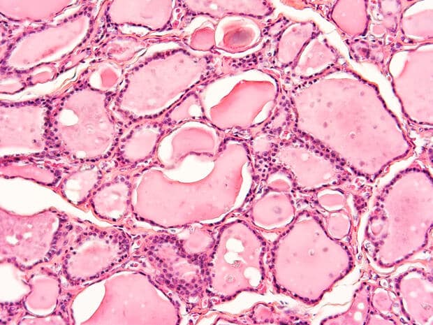
La unidad funcional de la glándula tiroides es el folículo, tiene forma oval o redonda y está revestido por una sola capa de células epiteliales conocidas como tirocitos o células foliculares, su forma varía dentro de un mismo folículo de planas a cúbicas o cilíndricas.

Tiroides

La tiroides es una glándula endocrina en forma de mariposa que se encuentra en la parte frontal del cuello, justo debajo de la nuez de Adán. Esta glándula es esencial para el funcionamiento adecuado del cuerpo, ya que produce hormonas que desempeñan un papel crucial en la regulación del metabolismo y en diversas funciones corporales.

Las hormonas tiroideas principales secretadas por la glándula tiroides son la tiroxina (T4) y la triyodotironina (T3). Estas hormonas desempeñan un papel vital en el control del metabolismo, la temperatura corporal, el crecimiento y el desarrollo, así como en la función adecuada de diversos órganos y sistemas.

El funcionamiento de la tiroides está regulado por la glándula pituitaria, que produce la hormona estimulante de la tiroides (TSH). Cuando los niveles de hormonas tiroideas son bajos, la pituitaria libera TSH, estimulando así la tiroides para que produzca y libere más hormonas. Por el contrario, cuando los niveles de hormonas tiroideas son altos, la producción de TSH disminuye, regulando así el equilibrio hormonal.


Folículo tiroideo

Las células foliculares tienen su base en la membrana basal y el vértice dirigido hacia la luz del folículo, su núcleo es oval o redondo y se localiza en el centro, mientras que el nucléolo es excéntrico.

En una glándula tiroidea normal puede haber células con citoplasma granular, muy eosinófilo, por lo que se las llama oncocitos o células de Hürthle.

Entre los tirocitos se encuentran otras células llamadas células C o parafoliculares. Las células C se encuentran en menor proporción que las células foliculares, son menos de 0.1% del peso de los componentes de la glándula. Se trata de células neuroendocrinas que producen hormona peptídica tirocalcitonina y otras hormonas.

Las células C son difíciles de identificar, son poligonales con citoplasma granular poco eosinófilo, más grande y pálido que el de las células foliculares, su núcleo es de redondo a oval con cromatina pálida y nucléolo central.

Las células C se localizan, de manera individual o en pequeños grupos, dentro de los folículos tiroideos, en su mayoría, en la periferia de la pared del folículo dentro de la membrana basal y sin contacto con la luz del folículo.

El diámetro de cada folículo es de 200 nm en promedio, pero varía según la función de la glándula y la edad del individuo. 

La luz de los folículos contiene coloide secretado por las células foliculares cuyo principal constituyente es la tiroglobulina.

Folículo tiroideo
Folículo tiroideo
Hormonas tiroideas

Las hormonas tiroideas son sustancias químicas producidas por la glándula tiroides, una glándula endocrina ubicada en el cuello. Las dos hormonas tiroideas principales son la tiroxina (T4) y la triyodotironina (T3). Estas hormonas son cruciales para regular diversas funciones en el cuerpo, incluido el metabolismo, el crecimiento y el desarrollo.

  1. Tiroxina (T4):
    • La tiroxina es la hormona tiroidea más abundante que se produce en la glándula tiroides.
    • Su nombre proviene de la presencia de cuatro átomos de yodo en su estructura molecular.
    • Aunque se produce en mayor cantidad que la T3, la T4 es menos activa en términos metabólicos. La mayor parte de la T4 se convierte en T3 en los tejidos periféricos, como el hígado y los riñones.
  2. Triyodotironina (T3):
    • La triyodotironina es una forma más activa de hormona tiroidea.
    • Contiene tres átomos de yodo en su estructura molecular.
    • Aunque se produce en menor cantidad que la T4, la T3 tiene una mayor capacidad para afectar directamente el metabolismo y otras funciones celulares.

La formación y acción de las hormonas tiroideas implican procesos metabólicos del yodo y mecanismos de formación hormonal, lo que sucede dentro y fuera de la glándula tiroides, esto culmina con la producción de tiroxina y triyodotironina. La tiroides produce hormonas que actúan en todo el organismo e influyen en la síntesis de proteínas funcionales y estructurales con la producción
de calor.

 

 

Homo medicus

 


 

Guías de estudio. Homo medicus.
Guías de estudio. Homo medicus.

 

Síguenos en X: @el_homomedicus  y @enarm_intensivo  Síguenos en instagram: homomedicus  y en Treads.net como: Homomedicus  

🟥     🟪     🟨     🟧     🟩     🟦

Aprende administración paso a paso

Administración Desde Cero

ADMINISTRACION DESDE CERO

¿De cuánta utilidad te ha parecido este contenido?

¡Haz clic en una estrella para puntuarlo!

Promedio de puntuación 0 / 5. Recuento de votos: 0

Hasta ahora, ¡no hay votos!. Sé el primero en puntuar este contenido.

Ya que has encontrado útil este contenido...

¡Sígueme en los medios sociales!

Si te fue útil este resumen, compártelo por favor!