¿Qué es metaplasia?
¿Qué es metaplasia?

¿Qué es metaplasia?

 

Concepto

La metaplasia epitelial es una conversión reversible de un tipo de célula epitelial madura en otro tipo de célula epitelial. Es, en general, una respuesta adaptativa al estrés, a la inflamación crónica u a otro estímulo anómalo.

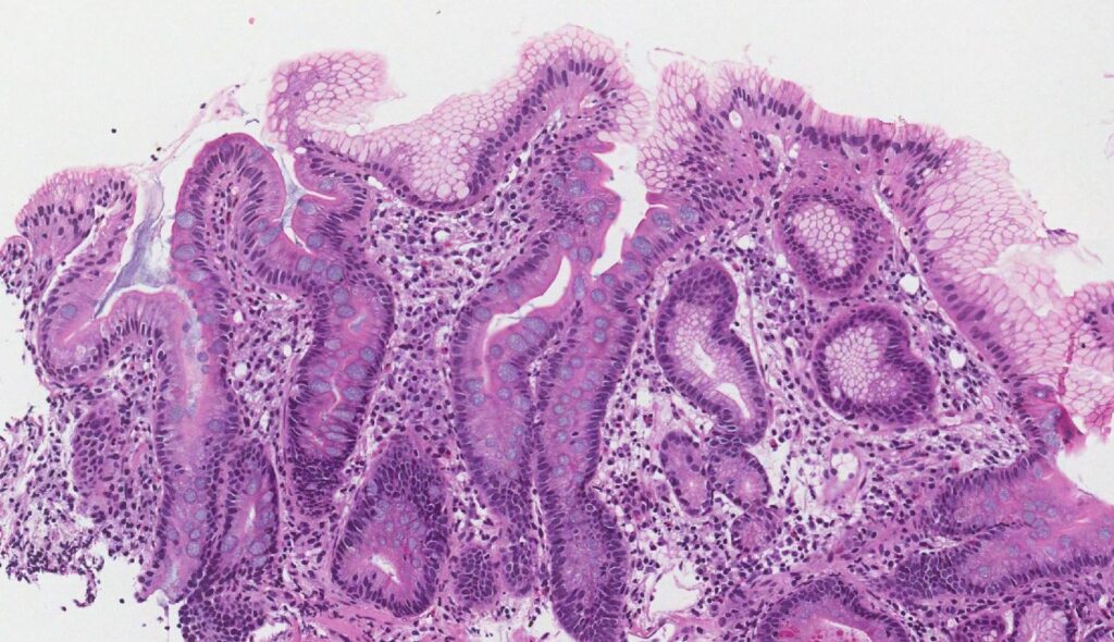
La metaplasia epitelial más común es cilíndrica-plana y ocurre en el epitelio glandular, donde las células cilíndricas son reemplazadas por epitelio estratificado plano.

La metaplasia epitelial plana-cilíndrica, como en el caso de reflujo gastroesofágico (esófago de Barrett), el epitelio plano estratificado sin estrato córneo del tracto inferior del esófago puede sufrir una transformación metaplásica en epitelio cilíndrico simple similar al intestinal que contiene células calciformes.

 

Causas

Las células originales son sustituidas por células que son mejores para el nuevo ambiente y más resistentes a los efectos de ese estímulo adverso. La metaplasia plana, por ejemplo, frecuentemente ocurre en el epitelio respiratorio seudoestratificado de la tráquea y bronquios en respuesta a la exposición prolongada al humo del cigarrillo.

La metaplasia se produce a consecuencia de la reprogramación de las células madre epiteliales que cambian los patrones de su expresión génica.

La metaplasia suele ser un fenómeno reversible y si el estímulo que la origina desaparece, los tejidos vuelven a su patrón normal de diferenciación.

Cuando los estímulos anómalos persisten durante un lapso prolongado, las células planas metaplásicas pueden transformarse en carcinoma de células planas, o el epitelio cilíndrico plano puede dar origen a adenocarcinomas glandulares.

Cuando se diagnostica metaplasia se debe  eliminar el estímulo patógeno y realizar la vigilancia del sitio metaplásico para asegurarse de que los cambios cancerígenos no comienzan a desarrollarse.

 

 

 

Homo medicus

 


 

Guías de estudio. Homo medicus.
Guías de estudio. Homo medicus.
Síguenos en X: @el_homomedicus  y @enarm_intensivo  Síguenos en instagram: homomedicus  y en Treads.net como: Homomedicus  

🟥     🟪     🟨     🟧     🟩     🟦

Aprende administración paso a paso

Administración Desde Cero

ADMINISTRACION DESDE CERO

¿De cuánta utilidad te ha parecido este contenido?

¡Haz clic en una estrella para puntuarlo!

Promedio de puntuación 0 / 5. Recuento de votos: 0

Hasta ahora, ¡no hay votos!. Sé el primero en puntuar este contenido.

Ya que has encontrado útil este contenido...

¡Sígueme en los medios sociales!

Si te fue útil este resumen, compártelo por favor!