¿Qué es la leucemia mieloide aguda?
¿Qué es la leucemia mieloide aguda?

¿Qué es la leucemia mieloide aguda?

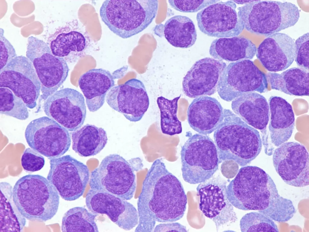
La leucemia mieloide aguda (AML) es una forma de cáncer hematológico que afecta la médula ósea y la sangre periférica. Esta enfermedad se caracteriza por la proliferación descontrolada y la acumulación de células mieloides inmaduras o blastos en la médula ósea, lo que impide la producción normal de células sanguíneas maduras.

La AML es una neoplasia hematopoyética, lo que significa que se origina en las células madre hematopoyéticas de la médula ósea. Estas células madre normales tienen la capacidad de desarrollarse en diferentes tipos de células sanguíneas, como glóbulos rojos, glóbulos blancos y plaquetas. En la AML, las células madre hematopoyéticas adquieren mutaciones genéticas que alteran su desarrollo y las convierten en células cancerosas.

Las células malignas de la AML, llamadas blastos, se reproducen de manera descontrolada y no pueden madurar adecuadamente. Esto conduce a una acumulación de blastos en la médula ósea, lo que interfiere con la producción normal de células sanguíneas saludables. Como resultado, los pacientes con AML pueden experimentar anemia (falta de glóbulos rojos), infecciones frecuentes (falta de glóbulos blancos) y problemas de coagulación (falta de plaquetas).

La AML es un grupo de enfermedades heterogéneas con múltiples subtipos. Estos subtipos se basan en las características genéticas y moleculares de las células cancerosas. Cada subtipo puede comportarse de manera diferente y responder de manera variable a los tratamientos, lo que hace que la AML sea un desafío para el diagnóstico y el manejo clínico.

El pronóstico en la AML puede variar significativamente según el subtipo de la enfermedad, la edad del paciente y otros factores de riesgo. El tratamiento típicamente involucra quimioterapia intensiva para eliminar las células cancerosas en la médula ósea. En algunos casos, puede ser necesario un trasplante de médula ósea para reemplazar las células malignas por células sanas.

La detección temprana y el diagnóstico preciso son esenciales en la AML. Los síntomas pueden incluir fatiga, debilidad, infecciones recurrentes, sangrado anormal y aumento del tamaño del bazo o del hígado. Los exámenes de sangre y la biopsia de médula ósea son herramientas clave para el diagnóstico.

La investigación continua en genética y biología molecular ha llevado a una mejor comprensión de los mecanismos subyacentes de la AML. Esto ha llevado al desarrollo de terapias dirigidas específicas y enfoques de tratamiento personalizado que están mejorando las opciones terapéuticas para los pacientes.

 

 

La AML es una enfermedad neoplásica del sistema hemopoyético caracterizada por la proliferación descontrolada de células mieloides inmaduras en la médula ósea. Esta enfermedad presenta una amplia variedad de subtipos, lo que la hace desafiante de diagnosticar y tratar. Sin embargo, los avances en la investigación y la medicina están mejorando la capacidad de tratar la AML y ofrecer opciones de tratamiento más efectivas a los pacientes. El diagnóstico temprano y la atención médica especializada son esenciales para abordar esta enfermedad de manera efectiva.

 

 

 

Homo medicus

 


 

Guías de estudio. Homo medicus.
Guías de estudio. Homo medicus.
Síguenos en X: @el_homomedicus  y @enarm_intensivo  Síguenos en instagram: homomedicus  y en Treads.net como: Homomedicus  

🟥     🟪     🟨     🟧     🟩     🟦

Aprende administración paso a paso

Administración Desde Cero

ADMINISTRACION DESDE CERO

¿De cuánta utilidad te ha parecido este contenido?

¡Haz clic en una estrella para puntuarlo!

Promedio de puntuación 0 / 5. Recuento de votos: 0

Hasta ahora, ¡no hay votos!. Sé el primero en puntuar este contenido.

Ya que has encontrado útil este contenido...

¡Sígueme en los medios sociales!

Si te fue útil este resumen, compártelo por favor!