¿Qué es la hiperleucocitosis?
¿Qué es la hiperleucocitosis?

¿Qué es la hiperleucocitosis?

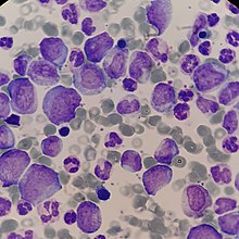
La hiperleucocitosis, que se define como un conteo extremadamente alto de glóbulos blancos en la sangre, con valores superiores a 100 x 10^9 células por litro, es un hallazgo médico significativo que generalmente indica la presencia de leucemia, un tipo de cáncer sanguíneo. Esta relación entre la hiperleucocitosis y la leucemia se basa en una serie de razones fundamentales que requieren una explicación más detallada.

La leucemia es una enfermedad que se origina en la médula ósea, donde se producen normalmente las células sanguíneas. Sin embargo, en la leucemia, las células madre hematopoyéticas o sus precursores comienzan a comportarse de manera anormal. En lugar de madurar y convertirse en glóbulos blancos funcionales, estas células malignas se multiplican de manera descontrolada, abrumando la médula ósea y la sangre con células leucémicas.

Este proceso anormal de proliferación de células sanguíneas lleva a un aumento drástico en el número de glóbulos blancos en la sangre periférica, lo que se refleja en una hiperleucocitosis. Además, las células leucémicas no maduran adecuadamente, lo que resulta en la acumulación de glóbulos blancos inmaduros, conocidos como blastos, en la sangre. Esta presencia de blastos en la sangre es un marcador típico de la leucemia.

La hiperleucocitosis también tiene efectos secundarios significativos en el cuerpo. La proliferación de células leucémicas puede suprimir la producción normal de otras células sanguíneas, como los glóbulos rojos y las plaquetas. Esto puede llevar a la anemia y la trombocitopenia, respectivamente, lo que aumenta aún más la complejidad de la situación médica.

Además de ser un marcador de la enfermedad, la hiperleucocitosis en la leucemia también puede causar una serie de síntomas y complicaciones graves. Los síntomas pueden incluir fatiga, debilidad, fiebre, sudoración nocturna, pérdida de peso y un mayor riesgo de infecciones debido a la disfunción de los glóbulos blancos en la defensa contra patógenos.

 

 

 

Homo medicus

 


 

Guías de estudio. Homo medicus.
Guías de estudio. Homo medicus.
Síguenos en X: @el_homomedicus  y @enarm_intensivo  Síguenos en instagram: homomedicus  y en Treads.net como: Homomedicus  

🟥     🟪     🟨     🟧     🟩     🟦

Aprende administración paso a paso

Administración Desde Cero

ADMINISTRACION DESDE CERO

¿De cuánta utilidad te ha parecido este contenido?

¡Haz clic en una estrella para puntuarlo!

Promedio de puntuación 0 / 5. Recuento de votos: 0

Hasta ahora, ¡no hay votos!. Sé el primero en puntuar este contenido.

Ya que has encontrado útil este contenido...

¡Sígueme en los medios sociales!

Si te fue útil este resumen, compártelo por favor!