La hemorragia intracraneal es una forma de apoplejía. Para diferenciar el diagnóstico con la apoplejía isquémica se requieren estudios de imagen encefálica.
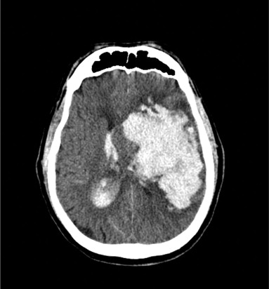
La tomografía computarizada de la cabeza es muy sensible y específica para la hemorragia intracraneal y para determinar la ubicación del sangrado.
Las hemorragias se clasifican con base en su ubicación y la enfermedad vascular de fondo. La hemorragia que ocurre directamente al interior del parénquima cerebral es conocida como hemorragia intracerebral. Otras categorías de hemorragia incluyen sangrado a los espacios subdural y epidural, por lo general causados por traumatismos y hemorragia subaracnoidea por traumatismo o rotura de un aneurisma intracraneal.
La hemorragia intracraneal suele descubrirse al realizar una tomografía computarizada encefálica durante la valoración inmediata de una enfermedad cerebrovascular.
La ubicación de la hemorragia reduce el número de diagnósticos diferenciales a unas cuantas posibilidades.
La hemorragia intracerebral explica cerca de 10% de todos los accidentes cerebrovasculares (apoplejías) y 35 a 45% de los pacientes fallece dentro del primer mes.
La hipertensión, coagulopatía, simpatomiméticos (cocaína, metanfetamina) y angiopatía amiloide cerebral causan la mayor parte de las hemorragias.
La senectud y el consumo desmedido de etanol agravan el riesgo y una de las causas más importantes en los jóvenes es el consumo de cocaína y metanfetaminas.
La hemorragia intraparenquimatosa hipertensiva suele ser consecuencia de la rotura espontánea de una pequeña arteria penetrante en la profundidad del cerebro. Las ubicaciones más frecuentes son: los ganglios basales (en especial el putamen), tálamo, cerebelo y la protuberancia. Las arterias de pequeño calibre en estas áreas al parecer son las más predispuestas a presentar daño vascular inducido por hipertensión.
Cuando las hemorragias se producen en otras regiones cerebrales o en pacientes no hipertensos, es necesario descartar la presencia de trastornos hemorrágicos, neoplasias, malformaciones vasculares y angiopatía amiloide cerebral.
Alguna veces el sangrado es escaso y otras se forma un gran coágulo que comprime al tejido adyacente, provocando la herniación del cerebro y la muerte.
La sangre puede penetrar en el sistema ventricular, lo que aumenta considerablemente la morbilidad y puede provocar hidrocefalia.
La mayor parte de las hemorragias intracerebrales hipertensivas evoluciona a lo largo de 30 a 90 min, mientras que las secundarias a un tratamiento anticoagulante se prolongan hasta 24 a 48 horas.
Cerca del 33% de los pacientes, con hemorragia intracerebrales incluso sin coagulopatía, puede mostrar notable expansión del hematoma en el transcurso del primer día.
En término de 48 horas los macrófagos comienzan la fagocitosis del material hemorrágico en su superficie exterior. Después de 1 a 6 meses por lo común hay resolución de la hemorragia y se transforma en una cavidad a manera de hendidura revestida de una cicatriz glial y macrófagos que tienen abundante hemosiderina en su interior.


