La cavidad medular es el espacio hueco ubicado en el centro de los huesos largos y en las cavidades del hueso esponjoso. Esta cavidad está revestida por una capa delgada de tejido llamada endostio.
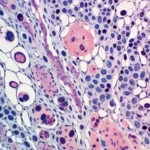
La médula ósea, también conocida como tejido hemopoyético, se encuentra en la cavidad medular y es responsable de la producción y renovación de las células sanguíneas. Hay dos tipos principales de médula ósea: la médula ósea roja y la médula ósea amarilla.
La médula ósea roja es el tejido responsable de la hematopoyesis, es decir, la producción de células sanguíneas, como los glóbulos rojos, glóbulos blancos y plaquetas. Está compuesta por células madre hematopoyéticas, células progenitoras y células maduras. La médula ósea roja es altamente vascularizada, lo que significa que está bien irrigada por una red de vasos sanguíneos que suministran los nutrientes necesarios para la formación y el crecimiento de las células sanguíneas.
La médula ósea amarilla, por otro lado, es un tejido graso que ocupa la cavidad medular en los huesos largos en la edad adulta. Contiene células adiposas y tiene una función principalmente de almacenamiento de grasa. Aunque la médula ósea amarilla no participa en la hematopoyesis de manera activa, puede convertirse en médula ósea roja en ciertas circunstancias, como en respuesta a la demanda aumentada de producción de células sanguíneas debido a una enfermedad o una lesión.
La médula ósea, tanto roja como amarilla, constituye un tejido por sí mismo y se considera un órgano aparte debido a su importancia en la producción y mantenimiento del sistema sanguíneo. Es un tejido dinámico y altamente regulado, con una capacidad notable para regenerarse y adaptarse a las necesidades del cuerpo.
Es importante destacar que el hueso seco, también conocido como hueso desvitalizado, carece de médula ósea. El proceso de desvitalización implica la eliminación de la médula ósea y otros componentes celulares, dejando solo la matriz ósea. Esto se realiza en procedimientos de conservación de huesos para uso en cirugía o estudios anatómicos, y el hueso seco se utiliza comúnmente en educación médica y práctica quirúrgica.

Síguenos en X: @el_homomedicus y @enarm_intensivo Síguenos en instagram: homomedicus y en Treads.net como: Homomedicus

