¿Qué es el linfoma de Hodgkin?
¿Qué es el linfoma de Hodgkin?

¿Qué es el linfoma de Hodgkin?

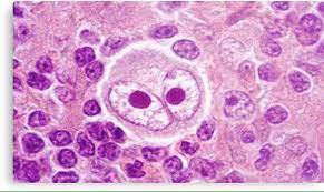
El linfoma de Hodgkin es una neoplasia que afecta el sistema linfático, un componente vital del sistema inmunológico. Su caracterización se basa en la presencia de células específicas llamadas células de Reed-Sternberg, las cuales se identifican mediante una biopsia de ganglio linfático. Estas células son grandes y multinucleadas, y su presencia es distintiva en el diagnóstico de la enfermedad.

Las células de Reed-Sternberg se consideran malignas y son el resultado de la transformación de linfocitos B normales en células cancerosas. Estas células anómalas parecen tener su origen en los centros germinales de los ganglios linfáticos, sitios donde los linfocitos B se activan y se diferencian normalmente en respuesta a la presencia de antígenos extraños.

La presencia de células de Reed-Sternberg en una biopsia es fundamental para diferenciar el linfoma de Hodgkin de otros tipos de linfomas y condiciones benignas. Estas células se encuentran dentro de un fondo celular reactivo, lo que significa que están rodeadas por una variedad de células inflamatorias y células del sistema inmunológico que responden a la presencia de células cancerosas. Este entorno celular reactivo es una característica importante del linfoma de Hodgkin y ayuda a distinguirlo de otras enfermedades linfoproliferativas.

 

Manifestaciones clínicas

Los hallazgos clínicos del linfoma de Hodgkin son diversos y pueden variar según la etapa de la enfermedad y las características individuales del paciente. Una característica distintiva es su distribución bimodal por edad, lo que significa que hay dos picos de incidencia principales: uno en personas jóvenes, típicamente en los 20 años, y otro en adultos mayores, especialmente después de los 50 años. Este patrón de distribución sugiere posibles factores etiológicos y diferencias en la presentación clínica entre los grupos de edad.

En términos de síntomas, la mayoría de los pacientes buscan atención médica debido a la presencia de una masa indolora, que suele localizarse en el cuello o en las regiones cercanas a los ganglios linfáticos. Sin embargo, otros síntomas constitucionales pueden estar presentes, incluyendo fiebre, pérdida de peso involuntaria y sudoración nocturna profusa. Estos síntomas pueden ser inespecíficos y a menudo se confunden con otras condiciones médicas, lo que puede dificultar el diagnóstico temprano del linfoma de Hodgkin.

Un síntoma menos común pero característico del linfoma de Hodgkin es el dolor en un ganglio linfático afectado después de ingerir alcohol, un fenómeno conocido como signo de Lister. Este síntoma puede ayudar a diferenciar el linfoma de Hodgkin de otras enfermedades linfoproliferativas.

Es importante destacar la tendencia del linfoma de Hodgkin a surgir dentro de áreas de ganglios linfáticos específicos y a propagarse de manera ordenada a áreas contiguas. Esta característica, conocida como patrón de propagación nodal, puede influir en las opciones de tratamiento y en el pronóstico del paciente.

Finalmente, en etapas avanzadas de la enfermedad, la invasión vascular puede ocurrir, lo que conduce a una diseminación hematógena generalizada. Esto significa que las células cancerosas pueden viajar a través del torrente sanguíneo y establecer tumores en otros órganos y tejidos distantes del sitio original del linfoma de Hodgkin. Esta diseminación metastásica puede empeorar significativamente el pronóstico y la respuesta al tratamiento.

Clasificación y estadificación

La clasificación del linfoma de Hodgkin en dos subtipos principales, clásico y no clásico, se basa en diferencias histológicas y características celulares distintivas que tienen implicaciones en el pronóstico y el manejo terapéutico de la enfermedad.

  • Hodgkin clásico: Este subtipo se subdivide en varios subtipos histológicos, que incluyen esclerosis nodular, celularidad mixta, ricos en linfocitos y agotados en linfocitos. Estas subdivisiones se basan en la composición celular del tejido linfático afectado y en la presencia de características específicas en las células de Reed-Sternberg. Por ejemplo, la esclerosis nodular se caracteriza por la presencia de bandas de colágeno en el tejido linfoide, mientras que la celularidad mixta presenta una combinación de células de Reed-Sternberg y otros tipos celulares. Estos subtipos tienen implicaciones pronósticas y pueden influir en el enfoque terapéutico utilizado.
  • Hodgkin no clásico: En contraste con el Hodgkin clásico, este subtipo se caracteriza por la presencia de un predominio linfoide nodular en la histología del tejido afectado. Las células de Reed-Sternberg son menos prominentes en este subtipo y suelen estar acompañadas por una mayor cantidad de linfocitos normales. Este subtipo tiende a tener un mejor pronóstico en comparación con el Hodgkin clásico.

La distinción entre estos dos subtipos es importante porque puede influir en la elección del tratamiento y en las expectativas de resultado para el paciente. Por ejemplo, el Hodgkin clásico suele requerir terapias más agresivas, como la quimioterapia combinada con radioterapia, mientras que el Hodgkin no clásico puede responder bien a terapias menos intensivas.

Además, los pacientes con linfoma de Hodgkin se someten a una evaluación de estadificación para determinar la extensión de la enfermedad y guiar el plan de tratamiento. Esta evaluación suele incluir pruebas como análisis de sangre para evaluar la función de órganos como el hígado y los riñones, un escaneo PET/TC de todo el cuerpo para detectar la presencia de tumores y evaluar la respuesta al tratamiento, y una biopsia de médula ósea para determinar si el linfoma se ha diseminado a la médula ósea.

 

 

Diagnóstico diferencial

Es importante diferenciar el linfoma de Hodgkin de otros tipos de linfomas no Hodgkin, que son también cánceres que afectan el sistema linfático pero tienen características distintivas en cuanto a la histología, la expresión de marcadores celulares y el comportamiento clínico. Esto es crucial porque el tratamiento y el pronóstico pueden variar significativamente según el tipo específico de linfoma.

  • Ganglios linfáticos reactivos: A veces, los ganglios linfáticos inflamados pueden ser el resultado de procesos benignos, como una infección viral (como la mononucleosis infecciosa) o una reacción alérgica. Sin embargo, los ganglios linfáticos inflamados también pueden ser un síntoma de linfoma de Hodgkin.
  • Mononucleosis infecciosa: Es una enfermedad viral causada comúnmente por el virus de Epstein-Barr (VEB). Los síntomas incluyen fiebre, dolor de garganta, fatiga y ganglios linfáticos inflamados. Estos ganglios inflamados pueden ser similares a los observados en el linfoma de Hodgkin, lo que puede generar confusión en el diagnóstico.
  • Enfermedad por arañazo de gato: Es una infección bacteriana causada por la bacteria Bartonella henselae, que generalmente se adquiere por arañazos o mordeduras de gatos infectados. Los síntomas pueden incluir ganglios linfáticos inflamados, fatiga y fiebre.
  • Reacciones a medicamentos (por ejemplo, fenitoína): Algunos medicamentos pueden causar reacciones adversas que incluyen la inflamación de los ganglios linfáticos. La fenitoína es un ejemplo de un medicamento antiepiléptico que puede causar esta reacción.

 

Homo medicus

 


 

Guías de estudio. Homo medicus.
Guías de estudio. Homo medicus.

¡Gracias por visitarnos!

Síguenos en X: @el_homomedicus  y @enarm_intensivo  Síguenos en instagram: homomedicus  y en Treads.net como: Homomedicus  

🟥     🟪     🟨     🟧     🟩     🟦

Aprende administración paso a paso

Administración Desde Cero

ADMINISTRACION DESDE CERO

¿De cuánta utilidad te ha parecido este contenido?

¡Haz clic en una estrella para puntuarlo!

Promedio de puntuación 0 / 5. Recuento de votos: 0

Hasta ahora, ¡no hay votos!. Sé el primero en puntuar este contenido.

Ya que has encontrado útil este contenido...

¡Sígueme en los medios sociales!

Si te fue útil este resumen, compártelo por favor!