La enfermedad de Whipple es un trastorno sumamente infrecuente que afecta a múltiples órganos en el cuerpo humano y se origina a causa de la infección por el bacilo Tropheryma whipplei. Aunque puede manifestarse a cualquier edad, presenta una mayor incidencia en varones de ascendencia caucásica, generalmente entre los cuarenta y sesenta años de vida. Un aspecto peculiar de esta enfermedad es que aún se desconoce su origen preciso, y hasta la fecha, no se han documentado casos de transmisión de persona a persona.
Esta rareza de la enfermedad se debe, en parte, a la escasa prevalencia del microorganismo responsable, Tropheryma whipplei, el cual es notoriamente difícil de cultivar en entornos de laboratorio, lo que complica su estudio y diagnóstico. Además, la falta de comprensión sobre la fuente exacta de la infección y las vías de contagio entre individuos dificulta su prevención y control.
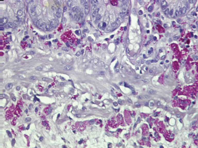
Uno de los rasgos más distintivos de la enfermedad de Whipple es su carácter multiorgánico. Los síntomas pueden variar ampliamente y abarcar desde problemas gastrointestinales, como diarrea crónica y malabsorción de nutrientes, hasta manifestaciones en otros sistemas, como artritis, fiebre y afectación neurológica. Esta diversidad de síntomas y la afectación de varios órganos hacen que el diagnóstico sea particularmente desafiante.
Debido a la rareza de la enfermedad y la complejidad de sus manifestaciones clínicas, es común que el diagnóstico se retrase o incluso se equivoque en ocasiones. A menudo, se requiere un conjunto de pruebas de laboratorio y biopsias de tejidos afectados para confirmar la presencia de Tropheryma whipplei en el organismo, lo que complica aún más su detección temprana y su manejo clínico. En consecuencia, la enfermedad de Whipple sigue siendo un enigma médico que plantea desafíos tanto para los profesionales de la salud como para los pacientes que la padecen.


