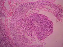
La poliposis adenomatosa familiar es un síndrome genético que afecta aproximadamente a una de cada diez mil personas y representa alrededor del 0.5 por ciento de todos los casos de cáncer colorrectal. Esta condición se caracteriza por el desarrollo de un número considerable de pólipos adenomatosos en el colon, que pueden variar desde cientos hasta miles.
Además de las manifestaciones colónicas, la poliposis adenomatosa familiar también se asocia con una serie de manifestaciones extracolónicas, que pueden incluir tumores en otros órganos, como el estómago, el páncreas y los tejidos blandos.
En la forma clásica de poliposis adenomatosa familiar, aproximadamente el noventa por ciento de los pacientes presenta una variante patogénica en el gen APC, el cual se hereda de manera autosómica dominante. Esto significa que la presencia de una única copia del gen mutado en uno de los padres es suficiente para que el individuo desarrolle la enfermedad.
Por otro lado, alrededor del ocho por ciento de los casos está asociado con variantes patogénicas en el gen MUTYH, el cual se hereda de manera autosómica recesiva, lo que requiere que ambos padres porten una copia del gen mutado para que la enfermedad se manifieste en sus hijos.
Es importante destacar que aproximadamente el veinticinco por ciento de los casos de poliposis adenomatosa familiar ocurren de novo, es decir, sin que se identifiquen variantes genéticas patogénicas en los padres. Esto implica que la mutación se origina por primera vez en el individuo afectado, lo cual puede ser resultado de un evento esporádico durante la formación de los gametos o en el embrión.
Además de la forma clásica, se ha reconocido una variante atenuada de la poliposis adenomatosa familiar. Esta forma presenta un número significativamente menor de pólipos, con un promedio de aproximadamente veinticinco pólipos, aunque se pueden observar rangos que van desde uno hasta cien pólipos.
Las diferencias en la cantidad y el tipo de pólipos desarrollados en las variantes clásica y atenuada reflejan la heterogeneidad genética y fenotípica de esta condición.
Manifestaciones clínicas
En la poliposis adenomatosa familiar clásica, los pólipos colorrectales comienzan a desarrollarse a una edad media de aproximadamente quince años, y el cáncer colorrectal suele diagnosticarse alrededor de los cuarenta años. Esta progresión es alarmante, ya que, a menos que se realice una colectomía profiláctica, el riesgo de desarrollar cáncer colorrectal se vuelve casi inevitable antes de alcanzar los cincuenta años. Esta situación se debe a la naturaleza intrínsecamente agresiva de los pólipos adenomatosos, que tienen un potencial significativo de transformación maligna si no son eliminados.
En contraste, en la variante atenuada de la poliposis adenomatosa familiar, el promedio de edad para el desarrollo de cáncer se sitúa en aproximadamente cincuenta y seis años. Esta forma de la enfermedad se caracteriza por la aparición de un número menor de pólipos, lo que se traduce en una progresión más lenta hacia la malignidad. Sin embargo, esto no implica que la vigilancia sea menos importante; los pacientes siguen siendo susceptibles a desarrollar cáncer en etapas posteriores de la vida.
Los pólipos en el colon, más del noventa por ciento de los pacientes con poliposis adenomatosa familiar desarrollan pólipos adenomatosos en el duodeno y el área periampular. Este hallazgo es crítico, dado que se asocia con un riesgo de vida de entre cinco y ocho por ciento de desarrollar adenocarcinoma, un tipo de cáncer que se origina en los tejidos glandulares. La aparición de estos pólipos duodenales representa un desafío adicional en la vigilancia de la enfermedad, ya que pueden ser menos evidentes y más difíciles de detectar en comparación con los pólipos colorrectales.
En lo que respecta a la localización de los pólipos, estos también pueden presentarse con menor frecuencia en el antro gástrico y en el intestino delgado, donde, aunque son menos comunes, el riesgo de transformación maligna es relativamente bajo en comparación con los pólipos colorrectales. En particular, los pólipos del fondo gástrico se observan en más del cincuenta por ciento de los pacientes, pero su potencial maligno es extremadamente bajo, estimado en apenas un cero punto seis por ciento. Esto sugiere que, aunque la poliposis adenomatosa familiar conlleva múltiples riesgos neoplásicos, el seguimiento y manejo clínico adecuado pueden ser diferenciados en función de la localización y el tipo de pólipos presentes.
La poliposis adenomatosa familiar se asocia no solo con la aparición de pólipos en el tracto gastrointestinal, sino también con una serie de manifestaciones extracolónicas benignas que pueden afectar a diversos sistemas del cuerpo. Estas manifestaciones extracolónicas incluyen, entre otras, tumores de tejidos blandos en la piel, tumores desmoides, osteomas y la hipertrofia congénita del pigmento retiniano. La presencia y severidad de estas manifestaciones pueden variar entre diferentes familias, lo que sugiere una relación con el tipo o la localización de la mutación en el gen APC.
Los tumores desmoides, que son fibromas invasivos localmente, son una de las manifestaciones más preocupantes de la poliposis adenomatosa familiar. Estos tumores se presentan con mayor frecuencia en la cavidad abdominal y pueden provocar complicaciones severas, como obstrucción intestinal, isquemia o hemorragia. Se estima que los tumores desmoides ocurren en aproximadamente el quince por ciento de los pacientes con poliposis adenomatosa familiar y constituyen la segunda causa de mortalidad en esta población. La naturaleza agresiva de estos tumores, combinada con su tendencia a invadir estructuras adyacentes, subraya la necesidad de un manejo clínico cuidadoso en los pacientes afectados.
Además de los tumores desmoides, la poliposis adenomatosa familiar también se ha relacionado con el desarrollo de malignidades en el sistema nervioso central, un fenómeno que se observa en lo que se conoce como síndrome de Turcot. Este síndrome se caracteriza por la coexistencia de pólipos adenomatosos y tumores cerebrales, que pueden incluir astrocitomas y glioblastomas. La relación entre estas manifestaciones sugiere un mecanismo patogénico subyacente que podría estar vinculado a las alteraciones en las vías de señalización celular afectadas por mutaciones en el gen APC.
Asimismo, los pacientes con poliposis adenomatosa familiar presentan un riesgo elevado de desarrollar otros tipos de tumores, como los relacionados con la glándula tiroides y el hígado, específicamente hepatoblastomas, que son tumores malignos del hígado que suelen ocurrir en niños y jóvenes. Estos hallazgos resaltan la importancia de una vigilancia integral en pacientes con poliposis adenomatosa familiar, no solo en relación con los pólipos colorrectales, sino también en cuanto a la detección temprana de otras neoplasias.
Exámenes complementarios
El asesoramiento genético y las pruebas genéticas son fundamentales para el manejo de pacientes que presentan múltiples pólipos adenomatosos detectados durante una endoscopia, así como para los familiares de primer grado de aquellos diagnosticados con poliposis adenomatosa familiar. Estas prácticas son esenciales no solo para la identificación de individuos en riesgo, sino también para la implementación de estrategias de vigilancia y prevención adecuadas.
La poliposis adenomatosa familiar se caracteriza por la formación de un gran número de pólipos adenomatosos, y su diagnóstico temprano puede tener un impacto significativo en la salud a largo plazo de los pacientes. La realización de pruebas genéticas se ha vuelto una práctica estándar en muchos centros, que utilizan paneles multigénicos que pueden incluir entre catorce y sesenta y siete genes relacionados con el cáncer hereditario. Estos paneles normalmente abarcan los genes APC y MUTYH, que son los principales responsables de la poliposis adenomatosa familiar y su variante atenuada, respectivamente.
Estudios han demostrado que se pueden identificar variantes patogénicas en el gen APC en aproximadamente el ochenta por ciento de los pacientes que presentan más de mil pólipos, así como en un cincuenta y seis por ciento de aquellos que tienen entre cien y mil pólipos, lo que corresponde al fenotipo clásico de la enfermedad. La identificación de estas variantes es crucial, ya que permite confirmar el diagnóstico de poliposis adenomatosa familiar y facilitar el asesoramiento y la vigilancia adecuada tanto para el paciente afectado como para sus familiares.
Las guías actuales recomiendan que se considere la realización de pruebas genéticas en individuos que presenten tan solo diez adenomas, especialmente en aquellos que tienen menos de cincuenta a sesenta años. Este enfoque es importante para descartar la presencia de una forma atenuada de la enfermedad, que podría no ser evidente a través de la sola observación de los pólipos. La detección temprana de un diagnóstico de poliposis adenomatosa familiar o de su variante atenuada permite la implementación de un seguimiento clínico regular y, en muchos casos, la realización de procedimientos preventivos, como la colectomía profiláctica, que pueden reducir significativamente el riesgo de cáncer colorrectal.
Además, el asesoramiento genético proporciona un espacio para que los pacientes y sus familias comprendan mejor el riesgo asociado a su situación. Esto incluye información sobre las implicaciones genéticas de las variantes identificadas, el riesgo de transmisión a la descendencia y las opciones disponibles para la vigilancia y el manejo. Al involucrar a los familiares de primer grado en el proceso, se puede identificar a aquellos que también podrían estar en riesgo y que podrían beneficiarse de un seguimiento médico especializado.

Tratamiento de la Poliposis adenomatosa familiar
Una vez que se ha establecido el diagnóstico de poliposis adenomatosa familiar, se recomienda realizar una proctocolectomía completa con anastomosis ileoanal o una colectomía con anastomosis ileorrectal en la mayoría de los pacientes, generalmente antes de alcanzar la edad de veinte años. Este enfoque quirúrgico es fundamental debido al alto riesgo de desarrollar cáncer colorrectal en estos individuos, que puede ser casi inevitable si no se toman medidas preventivas. La eliminación del colon y el recto reduce significativamente la carga de pólipos adenomatosos y, por ende, el riesgo de transformación maligna.
En el caso de pacientes con poliposis adenomatosa familiar atenuada, donde el número de pólipos es menor, puede considerarse la vigilancia mediante colonoscopias cada uno o dos años, junto con la posibilidad de realizar polipectomías para extirpar pólipos a medida que se identifican. Esta estrategia de manejo más conservadora es adecuada para aquellos que no presentan una carga poliposa tan elevada, aunque el monitoreo regular sigue siendo esencial para prevenir el desarrollo de cáncer.
Además de la vigilancia del tracto intestinal inferior, es crucial realizar una evaluación endoscópica superior del estómago, el duodeno y el área periampular cada uno a tres años. Este monitoreo tiene como objetivo detectar la presencia de adenomas o carcinomas en estas localizaciones, que son también áreas de riesgo en pacientes con poliposis adenomatosa familiar. La resección de pólipos duodenales o ampulares que midan más de diez milímetros, que muestren un aumento de tamaño o que se consideren sospechosos de displasia de alto grado o cáncer, es una medida preventiva importante, dado que estos pólipos tienen un riesgo significativo de malignización.
Adicionalmente, se ha demostrado que ciertos fármacos antiinflamatorios no esteroides, como el sulindaco y el celecoxib, pueden reducir tanto el número como el tamaño de los pólipos en el muñón rectal tras la cirugía. Sin embargo, es importante señalar que estos medicamentos no han demostrado eficacia en la reducción de pólipos duodenales. La utilización de estos agentes puede ser considerada como una estrategia complementaria para los pacientes en seguimiento, pero no debe sustituir las prácticas de vigilancia endoscópica.

Fuente y lecturas recomendadas:
- Kupfer SS et al. Patients in whom to consider genetic evaluation and testing for hereditary colorectal cancer syndromes. Am J Gastroenterol. 2020;115:1. [PMID: 31634263]
- Yang J et al. American Society for Gastrointestinal Endoscopy guideline on the role of endoscopy in familial adenomatous polyposis syndromes. Gastrointest Endosc. 2020;91:963. [PMID: 32169282]

