La la polimialgia reumática y la arteritis de células gigantes comparten características clínicas, epidemiológicas y fisiopatológicas que sugieren una posible conexión entre ambas enfermedades, lo que podría indicar que representan manifestaciones diferentes de un mismo proceso patológico.
La polimialgia reumática (PMR) y la arteritis de células gigantes (ACG) son trastornos reumatológicos que afectan predominantemente a individuos mayores de 50 años, con un incremento notable en la incidencia con cada década de vida. Esta asociación con la edad sugiere una posible conexión fisiopatológica y epidemiológica entre ambas condiciones.
La PMR se caracteriza por dolor y rigidez en hombros, cuello y caderas, acompañados de fatiga, pérdida de peso y fiebre baja. Por otro lado, la ACG presenta síntomas similares, pero puede incluir manifestaciones más específicas como cefalea, trastornos visuales y dolor en la mandíbula. A pesar de estas diferencias, existe un solapamiento significativo en la presentación clínica de ambas enfermedades.
Similitudes
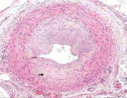
La polimialgia reumática y la arteritis de células gigantes comparten similitudes genéticas y perfiles de citoquinas, lo que sugiere una posible conexión etiológica entre ambas enfermedades. Además, la ACG, una panarteritis sistémica, afecta predominantemente a los vasos de tamaño mediano y grande, incluyendo la arteria temporal y sus ramificaciones extracraneales, así como la aorta y sus principales ramificaciones. Históricamente, la ACG se denominaba arteritis temporal debido a la afectación común de la arteria temporal, aunque también afecta a otras arterias.
Estudios genéticos han revelado una asociación entre ambas enfermedades y ciertos haplotipos del antígeno leucocitario humano (HLA), lo que indica una predisposición genética compartida. Además, se ha observado una superposición en los patrones de citoquinas en la sangre y las arterias de los pacientes con PMR y ACG, lo que sugiere mecanismos inflamatorios similares.
La coexistencia frecuente de PMR y ACG en pacientes refuerza la hipótesis de que estas enfermedades podrían representar un espectro de una misma enfermedad, con manifestaciones clínicas variadas. La afectación de la arteria temporal y otras arterias extracraneales es una característica distintiva de la ACG, pero la participación de la aorta y sus ramificaciones también es común en esta enfermedad.
Diferencias
La distinción entre la polimialgia reumática (PMR) y la arteritis de células gigantes (ACG) es crucial para el diagnóstico y el manejo clínico adecuado de estas enfermedades reumatológicas. A pesar de compartir similitudes en su presentación clínica y epidemiológica, existen diferencias significativas que permiten su diferenciación.

La polimialgia reumática, aunque puede coexistir con la arteritis de células gigantes en algunos casos, se caracteriza por ser una enfermedad no vasculítica en sí misma. No presenta una inflamación vascular sistémica, lo que implica que no compromete la integridad de los vasos sanguíneos como la ACG. Esta ausencia de vasculitis en la PMR es una diferencia fundamental con la ACG.
Por otro lado, la arteritis de células gigantes es una vasculitis sistémica que afecta a vasos de tamaño mediano y grande, lo que puede llevar a complicaciones graves como la ceguera debido a la afectación de las arterias oftálmicas. Además, la ACG puede comprometer la aorta y sus principales ramificaciones, incluidas las arterias carótidas extracraneales, lo que puede resultar en aortitis y otras complicaciones vasculares de gran envergadura. Esta capacidad de la ACG para afectar arterias de mayor calibre y sus ramificaciones distingue claramente esta condición de la PMR.
En términos de respuesta al tratamiento, otra diferencia clave radica en la dosis y la duración del tratamiento con corticosteroides. Mientras que la PMR generalmente responde favorablemente a dosis bajas (10-20 mg/día oralmente) de prednisona, la ACG, debido a su potencial para causar complicaciones graves como la ceguera y la aortitis, a menudo requiere dosis más altas (40-60 mg/día) de corticosteroides para controlar la inflamación y prevenir las complicaciones vasculares.


