Tumores neuroendocrinos intestinales

Tumores neuroendocrinos intestinales

Los tumores neuroendocrinos intestinales constituyen un grupo heterogéneo de neoplasias originadas a partir de células neuroendocrinas presentes en el epitelio del tracto gastrointestinal. Según la clasificación de tumores de la…
Tumores mesenquimales gastrointestinales

Tumores mesenquimales gastrointestinales

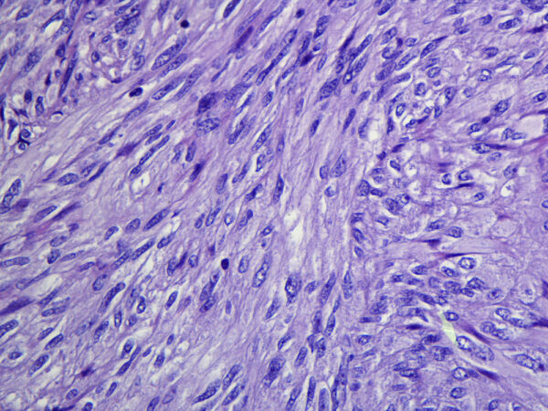
Los tumores mesenquimatosos gastrointestinales, entre los que se incluyen los tumores del estroma gastrointestinal, los leiomiomas y los schwannomas, se originan a partir de células madre mesenquimatosas. Estas células madre…
Tratamiento de las verrugas no genitales

Tratamiento de las verrugas no genitales

El tratamiento de las verrugas no genitales, como las verrugas comunes en las manos o las verrugas plantares en los pies, puede variar según la preferencia del paciente, la ubicación…
¿Qué son las sinartrosis?

¿Qué son las sinartrosis?

Las sinartrosis son un tipo de articulación en la cual los huesos o estructuras articuladas están unidos mediante tejido conectivo sólido o semisólido. Estas articulaciones se caracterizan por tener un…
¿Qué son las sinostosis?

¿Qué son las sinostosis?

Las soldaduras óseas entre huesos se denominan sinostosis. Estas articulaciones se caracterizan por ser completamente inmóviles, lo que significa que no permiten ningún tipo de movimiento entre los huesos que…
¿Cuáles son las articulaciones cartilaginosas?

¿Cuáles son las articulaciones cartilaginosas?

Las articulaciones cartilaginosas son un tipo de articulación en la cual las superficies articulares de los huesos están unidas por formaciones de cartílago hialino (sincondrosis) o fibrocartílago. Un ejemplo común…