¿Qué es la furunculosis recurrente?

¿Qué es la furunculosis recurrente?

La furunculosis recurrente, definida como tres o más episodios de furúnculos en un período de 12 meses, es una condición que puede ser frustrante y debilitante para quienes la padecen.…
¿Qué es el ántrax o carbunco?

¿Qué es el ántrax o carbunco?

El ántrax, también conocido como carbunco, es una afección cutánea bacteriana que involucra la inflamación de múltiples folículos pilosos adyacentes en una región específica de la piel. Esta condición es…
¿Quién inventó el torniquete?

¿Quién inventó el torniquete?

A principios del siglo XVIII, en un momento clave para la evolución de la cirugía, Jean-Louis Petit (1674-1750) hizo una contribución fundamental con la invención del torniquete o compresor de…
Ambroise Paré

¿Quién fue Ambroise Paré?

Ambroise Paré, nacido en 1510 en Francia, es una de las figuras más importantes en la historia de la cirugía debido a sus innovaciones y sus contribuciones al control de…
Anatomistas británicos

Anatomistas británicos

Durante los siglos XVII y XVIII, la anatomía quirúrgica experimentó un desarrollo notable, particularmente en el ámbito británico, donde se consolidó una tradición de excelencia en investigación y enseñanza que…
Factores de riesgo para cáncer colorrectal

Factores de riesgo para cáncer colorrectal

El cáncer colorrectal representa una de las principales causas de mortalidad asociada a neoplasias malignas en la población adulta, debido a una combinación de factores biológicos, genéticos, clínicos y ambientales…
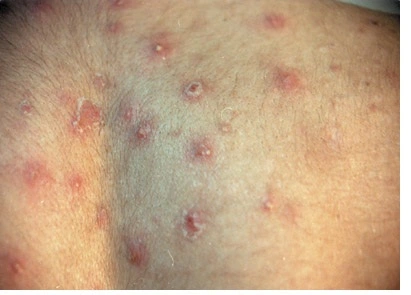
Tratamiento de la foliculitis

Tratamiento de la foliculitis

La foliculitis es una afección cutánea común que involucra la inflamación de uno o más folículos pilosos, generalmente causada por bacterias, hongos u otros agentes irritantes.   Medidas locales Para…
¿Cómo prevenir la foliculitis?

¿Cómo prevenir la foliculitis?

La foliculitis estafilocócica es una afección cutánea común que puede ser persistente y recurrente si no se abordan adecuadamente las causas subyacentes y si no se lleva a cabo un…