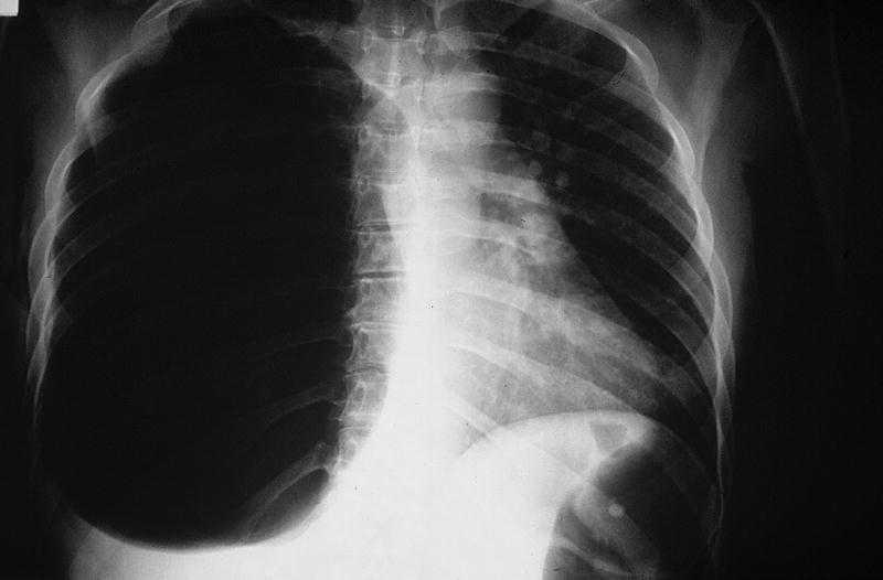
Manejo de neumotórax a tensión

Manejo de neumotórax a tensión

El neumotórax por tensión es una condición en la cual hay una acumulación progresiva de aire en el espacio pleural, que es el espacio entre los pulmones y la pared…
Manejo del taponamiento pericárdico

Manejo del taponamiento pericárdico

El taponamiento pericárdico se caracteriza por una acumulación de líquido pericárdico bajo presión en el espacio pericárdico, lo que conduce a una serie de hallazgos clínicos distintivos. Algunos de los…
Manejo de la hipoxemia

Manejo de la hipoxemia

La hipoxemia se define como una disminución en los niveles de oxígeno en sangre arterial, y se puede diagnosticar cuando la presión parcial de oxígeno (PaO2) es inferior a 60…
Detección de neoplasias colorrectales

Detección de neoplasias colorrectales

El cribado para neoplasias colorrectales representa un modelo paradigmático de intervención preventiva en salud pública debido a una confluencia de factores clínicos, epidemiológicos y biológicos que lo hacen especialmente eficaz.…
Manejo de la hipotensión

Manejo de la hipotensión

La hipotensión se define como una presión arterial baja, y se considera clínicamente significativa cuando la presión arterial media (PAM) es inferior a 60 mm Hg, la presión sistólica (PS)…
Síntomas de enfermedad del esófago

Síntomas de enfermedad del esófago

El esófago es un órgano tubular que forma parte del aparato digestivo y se encuentra situado entre la faringe y el estómago. Su principal función es el transporte del alimento…
Causas de taponamiento pericárdico

Causas de taponamiento pericárdico

El taponamiento pericárdico es una condición médica aguda en la cual se acumula líquido pericárdico bajo presión dentro del espacio pericárdico, lo que resulta en la compresión de las cámaras…
¿Qué son las convulsiones focales?

¿Qué son las convulsiones focales?

Una convulsión es un trastorno transitorio de la función cerebral, consecutivo a una descarga neuronal paroxística anormal en el cerebro. Las manifestaciones clínicas y electroencefalográficas iniciales, así como las convulsiones…
Ergotaminas en el tratamiento de la migraña

Ergotaminas en el tratamiento de la migraña

El tratamiento de la migraña tiene como objetivo aliviar los síntomas y reducir la frecuencia y la intensidad de los ataques. Existen diferentes enfoques terapéuticos según la gravedad de los…