Pruebas de compatibilidad sanguínea

Pruebas de compatibilidad sanguínea

Antes de realizar una transfusión sanguínea, tanto la sangre del receptor como la del donante se tipifican y se someten a una prueba de compatibilidad cruzada para evitar reacciones hemolíticas…
Transfusiones de glóbulos rojos

Transfusiones de glóbulos rojos

Las transfusiones de glóbulos rojos se administran para abordar situaciones clínicas en las que el nivel de hemoglobina en la sangre es insuficiente para garantizar una adecuada oxigenación de los…
¿Cuál es la función del epicardio?

¿Cuál es la función del epicardio?

El epicardio, la capa más externa de las paredes cardiacas, está constituido por varios componentes que trabajan en conjunto para desempeñar sus funciones específicas. El epicardio está compuesto principalmente por…
Amiloidosis

Amiloidosis

La amiloidosis es un trastorno raro y complejo en el que las proteínas mal plegadas se acumulan en diversos tejidos y órganos, lo que provoca disfunción progresiva y, en casos…
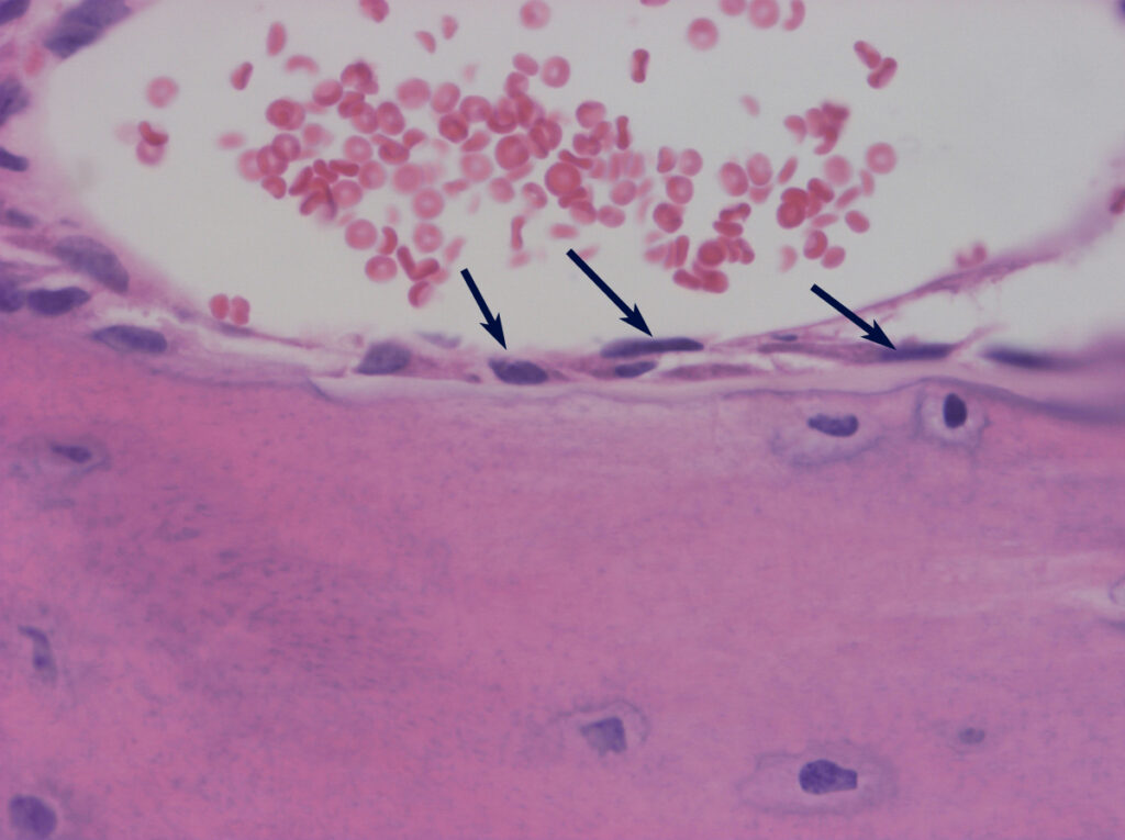
¿Qué es el modelado óseo?

¿Qué es el modelado óseo?

El modelado óseo constituye un proceso biológico altamente especializado mediante el cual el tejido óseo modifica su forma, tamaño y arquitectura en respuesta a las demandas del crecimiento y a…
Nacimiento y muerte de los osteoblastos

Nacimiento y muerte de los osteoblastos

La formación de osteoblastos a partir de células madre mesenquimales representa un ejemplo paradigmático de diferenciación celular dirigida, en el cual una célula con amplio potencial de destino reduce progresivamente…
Sistema lacuno-canalicular osteocitario

Sistema lacuno-canalicular osteocitario

El sistema lacuno-canalicular osteocitario constituye una de las estructuras más sofisticadas y esenciales del tejido óseo maduro, desempeñando un papel central en la fisiología del hueso, tanto en términos de…