Trombocitopenia inmune

Trombocitopenia inmune

La trombocitopenia inmune (ITP, por sus siglas en inglés) es una enfermedad autoinmune caracterizada por la presencia de anticuerpos patógenos que se unen a las plaquetas, acelerando su eliminación del…
¿Qué es la trombocitopenia cíclica?

¿Qué es la trombocitopenia cíclica?

La trombocitopenia cíclica es un trastorno raro caracterizado por fluctuaciones periódicas en el recuento de plaquetas, con oscilaciones que suelen seguir un patrón cíclico de entre 3 y 6 semanas.…
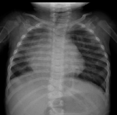
Radiografía de Tórax en Pediatría

Radiografía de Tórax en Pediatría

La radiografía de tórax constituye la modalidad de imagen más empleada en la evaluación del tórax de pacientes pediátricos, desde recién nacidos hasta adolescentes. Esta prevalencia se explica por su…
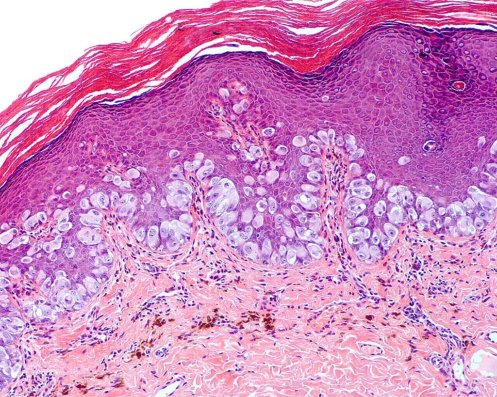
Generalidades de las infecciones fúngicas

Generalidades de las infecciones fúngicas

Las infecciones fúngicas de la piel son causadas por la proliferación excesiva de hongos en la epidermis, la capa más externa de la piel. Estas infecciones pueden manifestarse de diversas…
Trombocitopenia por causas nutricionales

Trombocitopenia por causas nutricionales

La trombocitopenia, que se refiere a una disminución en el número de plaquetas en la sangre, puede ser causada por deficiencias nutricionales, particularmente de ácido fólico, vitamina B12 e hierro.…