La oftalmopatía tiroidea, también conocida como orbitopatía de Graves, es una entidad clínica bien definida que se caracteriza por un conjunto de alteraciones tanto clínicas como radiológicas a nivel orbitario, cuya etiopatogenia se basa en fenómenos autoinmunes. Esta patología se origina principalmente por la infiltración de las estructuras orbitarias con células inflamatorias crónicas, así como por la acumulación de mucopolisacáridos en el espacio retroocular, afectando de manera particular a los músculos extraoculares.
Se observa una asociación frecuente con la enfermedad de Graves, una forma común de hipertiroidismo de origen autoinmune. Sin embargo, es crucial subrayar que la gravedad de la afectación ocular no se correlaciona necesariamente con el grado de tirotoxicosis. De hecho, aproximadamente un 10% de los pacientes con oftalmopatía tiroidea no presentan evidencia clínica ni de laboratorio de enfermedad tiroidea al momento del diagnóstico ni durante su seguimiento a largo plazo. Esta ausencia de pruebas bioquímicas obliga al clínico a considerar diagnósticos diferenciales y a evaluar cuidadosamente otras posibles causas de oftalmopatía.
Desde el punto de vista evolutivo, la enfermedad presenta dos fases bien diferenciadas. En primer lugar, existe una fase inflamatoria activa, que generalmente se prolonga entre 18 y 36 meses. Durante esta etapa, se produce una intensa infiltración linfocitaria de los tejidos orbitarios, lo que conlleva edema, hiperemia conjuntival, retracción palpebral y proptosis (exoftalmos). Esta fase es susceptible de respuesta al tratamiento con inmunosupresores, particularmente glucocorticoides.
Posteriormente, la enfermedad progresa hacia una fase crónica o fibrótica, también conocida como fase “quemada” o inactiva. En esta etapa, predominan los cambios estructurales irreversibles como la fibrosis de los músculos extraoculares, lo que limita la movilidad ocular y puede generar diplopía persistente. En este estado, la respuesta a los tratamientos médicos es escasa, y frecuentemente se requiere manejo quirúrgico para corregir las secuelas funcionales y estéticas.
Cabe destacar que ciertos tratamientos para la enfermedad tiroidea pueden exacerbar la oftalmopatía. En particular, la terapia con yodo radiactivo (I-131), aunque eficaz para controlar el hipertiroidismo, puede agravar la enfermedad ocular, lo que convierte su uso en una contraindicación relativa en pacientes con signos clínicos de oftalmopatía tiroidea activa.
Manifestaciones clínicas
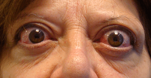
La oftalmopatía tiroidea, independientemente de su etiología específica, se manifiesta clínicamente con un conjunto característico de signos oculares que reflejan el compromiso inflamatorio y mecánico de los tejidos orbitarios. Entre las manifestaciones clínicas primarias más frecuentes se encuentran la retracción del párpado superior, el fenómeno conocido como lag del párpado en la mirada descendente y una expresión facial fija o de «mirada intensa», atribuida al aumento de la exposición ocular.
En el contexto específico de la orbitopatía asociada a la enfermedad de Graves, estas alteraciones pueden intensificarse y dar lugar a una serie de complicaciones adicionales. La proptosis o exoftalmos es una de las características más distintivas; se trata de la protrusión del globo ocular más allá del reborde orbitario, causada por la hipertrofia de los músculos extraoculares y el incremento del contenido orbitario. Este fenómeno puede acompañarse de quemosis conjuntival (edema de la conjuntiva), inflamación epiescleral y limitación de los movimientos oculares, especialmente en la mirada hacia arriba, debido al compromiso mecánico de los músculos rectos superiores.
La exposición corneal es una complicación frecuente en estos pacientes, producto de la retracción palpebral y el cierre incompleto de los párpados. Esta condición favorece la desecación corneal, aumentando el riesgo de queratopatía por exposición y ulceración corneal.
Clínicamente, las alteraciones oculares pueden presentarse de manera asimétrica o incluso unilateral, lo que exige un abordaje diagnóstico cuidadoso para diferenciarla de otras causas de proptosis no tiroidea. En los casos más severos de exoftalmos, el volumen orbitario puede llegar a ser tan elevado que se produce atrapamiento de los músculos extraoculares, originando diplopía persistente. Asimismo, en un subgrupo de pacientes, puede desarrollarse una compresión del nervio óptico, fenómeno grave que conlleva una progresiva pérdida de la agudeza visual, alteraciones en la percepción de los colores y deterioro de los campos visuales, afectando particularmente el campo inferior.
Los síntomas indicativos de inflamación retroorbitaria activa incluyen: dolor retroocular, agravamiento del edema orbitario tras el sueño en posición supina, edema y eritema de los párpados, congestión conjuntival y quemosis, progresión reciente del exoftalmos, aparición súbita de diplopía o estrabismo, y disminución reciente de la agudeza visual. Estos hallazgos son fundamentales para diferenciar entre la fase activa inflamatoria y la fase crónica fibrosante de la enfermedad, lo cual tiene implicancias terapéuticas directas.
Desde el punto de vista diagnóstico, se realiza exoftalmometría en todos los pacientes con enfermedad de Graves, utilizando un instrumento específico llamado exoftalmómetro de Hertel, que permite cuantificar de manera objetiva el grado de protrusión ocular respecto al reborde orbitario y así documentar la progresión de la orbitopatía. En términos de diagnóstico por imagen, la característica más destacada es la hipertrofia de los músculos extraoculares, en especial del músculo recto inferior y del recto medial, observándose por lo general de manera bilateral, aunque la presentación unilateral no excluye el diagnóstico.
Diagnóstico diferencial
El diagnóstico diferencial de la oftalmopatía tiroidea es fundamental, dado que varias condiciones clínicas y radiológicas pueden simular sus manifestaciones, lo que podría llevar a un tratamiento inadecuado si no se identifican correctamente las entidades subyacentes.
Una primera consideración importante es la proptosis congénita, que puede presentarse como una protrusión ocular bilateral o asimétrica desde el nacimiento. A diferencia de la oftalmopatía tiroidea, esta forma de proptosis no se asocia con signos inflamatorios activos, ni progresa con el tiempo, y suele identificarse por antecedentes personales y familiares, así como por estudios imagenológicos que revelan órbitas de forma y volumen anómalos pero sin evidencia de infiltración inflamatoria ni engrosamiento muscular.
La asimetría en la protrusión orbitaria, sin causa patológica subyacente, es otra posibilidad que puede confundirse con una orbitopatía de tipo tiroideo. Esta condición es relativamente común en la población general y se diagnostica por exclusión, tras comprobar la ausencia de signos clínicos o imagenológicos de enfermedad inflamatoria o tumoral.
Otra entidad relevante en el diagnóstico diferencial es la fístula dural entre la arteria carótida y el seno cavernoso. Esta anomalía vascular, adquirida, se caracteriza por la formación de una comunicación anómala entre el sistema arterial y venoso, generando congestión venosa orbitaria crónica. Clínicamente, puede manifestarse con proptosis pulsátil, quemosis, hiperemia conjuntival, soplo orbitario y aumento de la presión intraocular. A diferencia de la oftalmopatía tiroidea, estas fístulas suelen producir síntomas de aparición más abrupta y unilateral, y su confirmación se realiza mediante angiografía o imágenes de alta resolución con contraste que muestran el flujo anómalo a través del sistema venoso orbitario.
Asimismo, la miastenia ocular representa un diagnóstico diferencial clave, sobre todo porque puede coexistir con la oftalmopatía tiroidea. La miastenia grave ocular es un trastorno autoinmune que afecta la unión neuromuscular, produciendo debilidad fluctuante de los músculos oculomotores. Una de sus características distintivas es la ptosis palpebral fluctuante, es decir, caída del párpado superior que varía a lo largo del día o con el esfuerzo, lo cual contrasta con la retracción palpebral típica de la enfermedad tiroidea. Además, la diplopía en la miastenia suele cambiar de forma dinámica y no se acompaña de signos inflamatorios orbitarios.
Tratamiento
Las medidas generales de protección ocular constituyen la primera línea de intervención en pacientes con oftalmopatía tiroidea, especialmente en aquellos con formas leves o en fases iniciales de la enfermedad. Estas estrategias no tienen por objetivo modificar el curso patogénico subyacente, sino prevenir complicaciones mecánicas y preservar la integridad de la superficie ocular, particularmente en casos de exoftalmos y retracción palpebral.
Entre las medidas protectoras más relevantes se encuentra el uso de gafas, tanto con fines ópticos como mecánicos. En pacientes con protrusión ocular, las gafas brindan una barrera física que protege a la córnea del trauma ambiental y de posibles lesiones. Asimismo, la aplicación regular de sustitutos lagrimales, como geles o gotas de metilcelulosa, ayuda a mantener la hidratación de la superficie ocular en casos de exposición corneal secundaria a mala oclusión palpebral. En situaciones más avanzadas, cuando la desecación corneal es significativa durante el sueño, se recomienda ocluir los párpados con cintas adhesivas para evitar daño epitelial nocturno.
Desde el punto de vista terapéutico, en los casos leves de oftalmopatía tiroidea activa, se ha observado que la administración oral de selenio a dosis de 100 microgramos dos veces al día puede ejercer un efecto inmunomodulador leve, retardando la progresión de la enfermedad. Este beneficio ha sido atribuido a su papel en la reducción del estrés oxidativo en los tejidos orbitarios.
La evaluación de la actividad clínica de la enfermedad se realiza mediante escalas estandarizadas, como el índice de actividad clínica de Mourits, que permite cuantificar de forma objetiva los signos de inflamación activa. Un puntaje igual o superior a 3 sugiere un estado inflamatorio significativo que justifica el inicio de terapias inmunosupresoras más agresivas.
En estos casos, la terapia inmunosupresora de elección consiste en metilprednisolona intravenosa en pulsos semanales, administrada en una pauta de 500 miligramos durante seis semanas, seguida de 250 miligramos durante otras seis semanas. Esta estrategia ha demostrado ser más eficaz y con menor toxicidad sistémica que el uso prolongado de prednisona oral, que, de utilizarse, requiere dosis iniciales de 40 a 60 miligramos diarios, con reducción progresiva durante varias semanas. En situaciones de compresión del nervio óptico, una urgencia oftalmológica, pueden requerirse dosis iniciales de prednisona más altas, entre 80 y 120 miligramos diarios.
Para aquellos pacientes que no responden adecuadamente a los corticosteroides, se dispone de terapias biológicas dirigidas. Medicamentos como tocilizumab, teprotumumab y rituximab han mostrado eficacia en la reducción de la inflamación orbitaria y del exoftalmos, actuando sobre distintos mecanismos inmunopatológicos de la enfermedad. Estas terapias están indicadas en casos de enfermedad activa, resistente a corticosteroides, y su uso debe estar supervisado por especialistas en enfermedades autoinmunes o inmunología clínica.
Otra alternativa en la fase inflamatoria activa con progresión del exoftalmos es la radioterapia retrobulbar, administrada generalmente en el transcurso de dos semanas. Este tratamiento se emplea junto con dosis altas de corticosteroides orales, y ha mostrado mayor eficacia en pacientes con signos recientes de inflamación (menos de seis meses de evolución) o con compromiso incipiente del nervio óptico. En contraste, su efectividad disminuye en pacientes con exoftalmos crónico y fibrosis muscular orbitario.
El manejo de la diplopía durante la fase activa debe ser conservador, utilizando recursos no invasivos como lentes prismáticas, mientras que las intervenciones quirúrgicas para corregir el estrabismo se reservan para fases inactivas de la enfermedad, cuando la estabilidad clínica se ha mantenido al menos seis meses.
En los casos más graves, con riesgo de pérdida visual por neuropatía óptica compresiva o desfiguración funcional severa, se indica la cirugía de descompresión orbitaria. Este procedimiento quirúrgico permite expandir el volumen orbitario mediante la resección de una o más paredes óseas, con el objetivo de aliviar la presión sobre el nervio óptico y reducir el exoftalmos. No obstante, es importante advertir que la diplopía posoperatoria es una complicación frecuente, dado el cambio en la alineación de los músculos extraoculares. Para proteger la córnea y mejorar el aspecto estético en pacientes con retracción palpebral significativa o úlceras corneales recurrentes, pueden realizarse procedimientos complementarios como la tarsorrafia o la canthoplastia.

Fuente y lecturas recomendadas:
- Bartalena L et al. Current concepts regarding Graves’ orbitopathy. J Intern Med. 2022;292:692. [PMID: 35604323]
- Hoang TD et al. 2022 update on clinical management of Graves disease and thyroid eye disease. Endocrinol Metab Clin N Am. 2022;51:287. [PMID: 35662442]
- Wang F et al. Selenium and thyroid diseases. Front Endocrinol (Lausanne). 2023:14:1133000. [PMID: 37033262]

