El método de Kirby-Bauer, también conocido como el ensayo de difusión en disco, es una técnica estándar utilizada en microbiología y medicina para evaluar la susceptibilidad de un aislado bacteriano a un antibiótico específico. Este método es fundamental para determinar qué antibiótico es más adecuado para tratar una infección causada por una cepa bacteriana particular.
Principio del Método de Kirby-Bauer
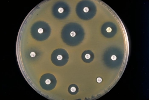
El método de Kirby-Bauer se basa en el principio de que la susceptibilidad de una cepa bacteriana a un antibiótico particular puede evaluarse mediante la medición del área de inhibición de crecimiento alrededor de un disco impregnado con ese antibiótico en un medio de agar. Los pasos clave son los siguientes:
- Preparación del Medio de Agar: Se prepara una placa de agar estéril con una capa uniforme de agar. El agar es un medio de cultivo sólido que proporciona un soporte para el crecimiento bacteriano.
- Inserción de Discos Impregnados: Pequeños discos de papel estéril impregnados con una cantidad conocida del antibiótico en cuestión se colocan en la superficie del agar. Cada disco contiene una concentración específica del antibiótico.
- Crecimiento Bacteriano: Se siembran las bacterias en la superficie del agar. Las bacterias crecerán en la placa, formando colonias visibles.
- Difusión del Antibiótico: El antibiótico se difunde desde los discos hacia el agar circundante, creando un gradiente de concentración. A medida que el antibiótico se aleja del disco, su concentración disminuye.
- Zona de Inhibición: Las bacterias que son susceptibles al antibiótico no pueden crecer en áreas donde la concentración del antibiótico es suficientemente alta para inhibir su crecimiento. Esto resulta en la formación de una zona de inhibición visible alrededor de los discos.
Interpretación de los Resultados
La interpretación de los resultados se basa en la medición del diámetro de la zona de inhibición. Cuanto mayor sea el diámetro de la zona, mayor será la susceptibilidad de la cepa bacteriana al antibiótico. Las cepas bacterianas resistentes tendrán zonas de inhibición más pequeñas o incluso ninguna zona.
Importancia del Método de Kirby-Bauer
- Selección de Tratamiento: Este método es esencial para determinar qué antibiótico es más efectivo contra una cepa bacteriana específica, lo que permite a los médicos elegir el tratamiento adecuado para las infecciones.
- Monitoreo de Resistencia: El método de Kirby-Bauer se utiliza para monitorear la resistencia bacteriana a los antibióticos a lo largo del tiempo. Si las zonas de inhibición disminuyen, puede indicar el desarrollo de resistencia.
- Estándar Clínico: El método de Kirby-Bauer es un estándar reconocido en los laboratorios de microbiología clínica y es ampliamente aceptado en todo el mundo para evaluar la susceptibilidad antibiótica.
El método de Kirby-Bauer es una técnica esencial para determinar la susceptibilidad de una cepa bacteriana a un antibiótico en particular. Su funcionamiento se basa en la formación de zonas de inhibición alrededor de discos impregnados con el antibiótico, y su interpretación guía las decisiones clínicas en el tratamiento de infecciones bacterianas. Además, ayuda a rastrear y detectar la resistencia bacteriana, lo que es vital para el control de las infecciones.


