Las metástasis pulmonares se desarrollan cuando células malignas originadas en un tumor fuera del pulmón se diseminan hacia este órgano a través de vías vasculares, como las arterias o venas, o mediante los vasos linfáticos, e incluso pueden alcanzar el pulmón por extensión directa desde tejidos adyacentes. Este proceso implica que las células tumorales viajan desde su ubicación primaria hasta llegar a los pulmones, donde pueden formar nuevas masas tumorales. En la mayoría de los casos, la diseminación ocurre a través de la arteria pulmonar, lo que explica por qué, en estudios radiográficos del tórax, las metástasis suelen aparecer como múltiples nódulos o masas distribuidas en ambos pulmones.
Sin embargo, la presencia de múltiples nódulos pulmonares en una radiografía no es exclusiva de metástasis; también puede observarse en otras condiciones como malformaciones arteriovenosas pulmonares, infecciones pulmonares, sarcoidosis, nódulos reumatoideos y granulomatosis con poliangeítis. Esto obliga a realizar un diagnóstico diferencial cuidadoso para identificar la causa precisa de los nódulos.
Las metástasis pulmonares son relativamente frecuentes, detectándose en aproximadamente entre el 20% y el 55% de los pacientes con diferentes tipos de cáncer avanzado. Entre los tumores primarios que con mayor probabilidad generan metástasis pulmonares se encuentran los carcinomas de riñón, mama, recto, colon y cérvix, así como el melanoma maligno. Un subtipo particular de afectación es la carcinomatosis linfangítica, que consiste en la infiltración difusa de la red linfática pulmonar por células tumorales, originada probablemente por la propagación del tumor desde los capilares pulmonares hacia los vasos linfáticos, lo que provoca un patrón de afectación más difuso y severo.
Otra vía menos común de diseminación tumoral hacia los pulmones es la embolización de células malignas, especialmente desde tumores como el carcinoma renal de células claras, el carcinoma hepatocelular y el coriocarcinoma. En estos casos, fragmentos tumorales pueden desplazarse a través del torrente sanguíneo hasta ocluir vasos pulmonares y establecer nuevos focos tumorales.
Además, el cáncer metastásico puede manifestarse clínicamente como un derrame pleural maligno, resultado de la invasión o irritación de la pleura por células tumorales, lo que produce acumulación de líquido patológico en el espacio pleural.
Manifestaciones clínicas
Los hallazgos clínicos en pacientes con metástasis pulmonares pueden variar significativamente, y en muchos casos, los síntomas específicos relacionados con la afectación pulmonar son poco frecuentes o incluso ausentes. Cuando se presentan, los síntomas respiratorios más comunes incluyen tos persistente y hemoptisis, es decir, la expulsión de sangre a través de la tos. Estas manifestaciones suelen estar asociadas con la irritación o lesión del tejido pulmonar causada por las lesiones metastásicas. En etapas avanzadas de la enfermedad, cuando la masa tumoral es más extensa o compromete una porción considerable del parénquima pulmonar, pueden desarrollarse dificultades para respirar (disnea) y niveles reducidos de oxígeno en la sangre (hipoxemia), reflejando una alteración significativa en la función respiratoria.
No obstante, en la mayoría de los casos, los síntomas que motivan la consulta o la evaluación clínica están relacionados con el tumor primario y no con la afectación pulmonar secundaria. Esto se debe a que, en etapas iniciales, las metástasis pulmonares suelen ser pequeñas y asintomáticas, y la presentación clínica predominante suele estar determinada por las características y localización del cáncer original. Por ejemplo, un carcinoma renal puede producir síntomas propios de su órgano de origen mucho antes de que se evidencien complicaciones respiratorias derivadas de la diseminación metastásica.
Exámenes diagnósticos
El diagnóstico de un cáncer metastásico que afecta a los pulmones generalmente se basa en la identificación del tumor primario de origen. Cuando existe sospecha clínica de algún cáncer específico, como los de mama, tiroides, testículo, colon o próstata, es fundamental solicitar estudios diagnósticos dirigidos a detectar estos tumores primarios. Estos estudios pueden incluir análisis de imagen, marcadores tumorales y biopsias específicas, dependiendo del caso.
Sin embargo, en ocasiones, la historia clínica, el examen físico y las pruebas iniciales no permiten localizar el sitio original del cáncer. En estas situaciones, el enfoque diagnóstico debe centrarse en el pulmón, ya que la obtención de muestras de tejido pulmonar puede ser crucial para confirmar la presencia de metástasis y orientar hacia el tumor primario más probable. Estas muestras pueden obtenerse mediante procedimientos como la broncoscopia, que permite visualizar y tomar biopsias de las vías aéreas; la biopsia percutánea con aguja, que extrae tejido directamente de las lesiones pulmonares; la cirugía videoasistida por toracoscopia (VATS), que ofrece acceso mínimamente invasivo al pulmón; o, en casos seleccionados, mediante toracotomía, que es una intervención quirúrgica abierta.
Además, en ciertos casos, el estudio citológico del líquido pleural o la biopsia pleural pueden revelar la presencia de células tumorales, contribuyendo al diagnóstico cuando el tumor invade o irrita la pleura.
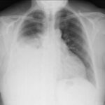
Desde el punto de vista radiológico, las radiografías de tórax suelen mostrar múltiples opacidades redondeadas con bordes bien definidos, localizadas habitualmente de manera bilateral, preferentemente en regiones pleurales o subpleurales y con mayor frecuencia en las zonas inferiores de los pulmones. No obstante, existen presentaciones menos frecuentes, como la diseminación linfangítica, que afecta los vasos linfáticos pulmonares, o la aparición de un nódulo pulmonar solitario, que también pueden corresponder a metástasis pulmonares.
El uso de tomografías computarizadas del tórax, abdomen y pelvis es de gran utilidad para localizar el tumor primario, evaluar la extensión de la enfermedad y determinar la posibilidad de realizar una resección quirúrgica de las lesiones metastásicas pulmonares. Por otra parte, la combinación de tomografía por emisión de positrones con fluorodesoxiglucosa (FDG-PET/CT) aporta información valiosa no solo para identificar el tumor primario, sino también para detectar otros focos metastásicos fuera del tórax, facilitando una evaluación más completa del estadio del cáncer y orientando el manejo terapéutico.
Tratamiento
Una vez que se ha confirmado el diagnóstico de metástasis pulmonar, el manejo clínico se centra principalmente en tratar el tumor primario mediante terapias sistémicas, así como en abordar cualquier complicación pulmonar que pueda surgir. El tratamiento sistémico suele incluir quimioterapia, terapias dirigidas o inmunoterapia, dependiendo del tipo específico de neoplasia primaria y de sus características moleculares y clínicas.
En ciertos casos seleccionados, es posible considerar la resección quirúrgica de un nódulo pulmonar solitario, procedimiento conocido como metastasectomía. Esta opción es aplicable en pacientes que presentan un cáncer extrapulmonar actual o previo y que reúnen condiciones favorables para la cirugía. La resección local de una o más metástasis pulmonares es factible en un grupo reducido de pacientes cuidadosamente escogidos, principalmente aquellos con sarcomas o carcinomas específicos, como los originados en el testículo, colon o riñón. Se estima que entre el quince y el veinticinco por ciento de los pacientes con tumores sólidos metastásicos presentan metástasis confinadas únicamente a los pulmones y, por lo tanto, son candidatos potenciales para la intervención quirúrgica.
No obstante, existen factores pronósticos desfavorables que pueden influir en la decisión y el resultado de la cirugía, tales como un intervalo corto entre el tratamiento del tumor primario y la aparición de las metástasis, así como un número elevado de lesiones metastásicas. A pesar de que la metastasectomía se ha empleado en la práctica clínica desde hace décadas, hasta el momento no existen estudios aleatorizados que demuestren de forma concluyente un beneficio en la supervivencia o en la calidad de vida derivados de este procedimiento en pacientes con metástasis pulmonares.
Para aquellos pacientes en los que la enfermedad es irresecable o cuando el tipo de tumor primario contraindica la realización de metastasectomía, el enfoque terapéutico se basa en tratamientos sistémicos específicos, diseñados para el control de la enfermedad según el origen tumoral. Paralelamente, es fundamental brindar una atención paliativa integral, enfocada en mejorar los síntomas, aliviar el sufrimiento y mantener la mejor calidad de vida posible, dado que en muchos casos la enfermedad metastásica representa una condición avanzada y compleja. La atención paliativa debe ser un componente esencial y constante del manejo, garantizando soporte físico, emocional y social para el paciente y su familia.

Fuente y lecturas recomendadas:
- Bong CY et al. Pulmonary metastasectomy in the era of targeted therapy and immunotherapy. J Thorac Dis. 2021;13:2618. [PMID: 34012610]
- Ichinose J et al. Optimal timing for lung metastasectomy in patients with colorectal cancer. Interact Cardiovasc Thorac Surg. 2022;35:ivac224. [PMID: 35993901]
- Mangiameli G et al. Lung metastases: current surgical indications and new perspectives. Front Surg. 2022;9:884915. [PMID: 35574534]

