En la radiografía de tórax, la aparición de masas en el mediastino puede ser un signo de diversas patologías, cada una relacionada con diferentes tipos de trastornos. Estos trastornos pueden ser del desarrollo, neoplásicos, infecciosos, traumáticos o cardiovasculares, y su localización dentro del mediastino proporciona pistas importantes para el diagnóstico.
Para entender por qué estas masas pueden formarse, primero es útil conocer la anatomía del mediastino, una región central del tórax que se divide en tres compartimentos: anterior, medio y posterior. Esta división no solo ayuda a describir la ubicación de las masas, sino que también guía el diagnóstico diferencial.
El compartimento anterior está delimitado por el esternón en la parte delantera y por la superficie de los grandes vasos y el pericardio en la parte trasera. Aquí se encuentran estructuras como el timo y los ganglios linfáticos. Las masas en esta área pueden ser causadas por tumores benignos, como lipomas, o por condiciones del desarrollo, como la hiperplasia del timo en niños. Los tumores malignos, como algunos linfomas, también pueden presentarse en esta región.
El compartimento medio se extiende desde el pericardio anterior hasta la superficie anterior de la columna torácica. En este espacio se encuentran el corazón, los grandes vasos y la tráquea. Las masas en este compartimento pueden ser producto de neoplasias malignas, como linfomas y tumores germinales, que a menudo se originan en los ganglios linfáticos broncopulmonares. También pueden surgir infecciones, como los abscesos, que se acumulan debido a procesos infecciosos en los ganglios.
El compartimento posterior, situado junto a la columna vertebral, alberga estructuras como el esófago y la aorta torácica descendente. Aquí, las masas suelen ser causadas por trastornos neurogénicos, como tumores que afectan los nervios o el tejido nervioso, o por hematomas resultantes de traumas. Las lesiones traumáticas, como fracturas costales, pueden provocar sangrados que se manifiestan como masas en esta área.
Cada compartimento del mediastino tiene una propensión particular a ciertos tipos de masas. Por ejemplo, los quistes congénitos, como los broncogénicos, tienden a encontrarse en el compartimento medio, mientras que los tumores germinales suelen localizarse en el compartimento anterior. Las enfermedades cardiovasculares, como los aneurismas, pueden provocar masas en el compartimento medio, mientras que las infecciones pueden causar adenopatías en diversas regiones, dependiendo de la extensión y localización de la infección.
Causas
El diagnóstico diferencial de una masa mediastínica en una radiografía de tórax puede ser complejo debido a la amplia variedad de posibles etiologías, cada una con características específicas en función de su ubicación en los compartimentos del mediastino.
Diagnóstico Diferencial de una Masa Mediastínica Anterior
El compartimento anterior del mediastino está limitado por el esternón en la parte delantera y la superficie de los grandes vasos y el pericardio en la parte posterior. Las masas en esta área pueden tener diversas causas:
- Tumores del Timo:
- Timoma: Este es un tumor benigno que se origina en las células del timo. Es el tumor primario más común en el mediastino anterior y suele aparecer en adultos jóvenes y de mediana edad. Los timomas pueden ser asintomáticos o asociados con síndromes paraneoplásicos, como miastenia gravis.
- Carcinoma Tímico: A diferencia del timoma, el carcinoma tímico es una forma más agresiva y maligno del tumor del timo. Su diagnóstico puede ser más desafiante debido a su potencial para metastatizar a otras partes del cuerpo.
- Teratoma: Este es un tumor germinal que puede contener diversos tipos de tejidos, como piel, cabello y dientes. Los teratomas se encuentran a menudo en el mediastino anterior y son más comunes en adolescentes y adultos jóvenes.
- Lesiones Tiroideas: Aunque la glándula tiroides está ubicada en el cuello, las masas tiroideas pueden extenderse hacia el mediastino anterior. Un agrandamiento tiroideo significativo o un nódulo tiroideo maligno puede desplazar o infiltrar el mediastino anterior.
- Linfoma: Los linfomas, especialmente los linfomas de Hodgkin y no Hodgkin, pueden aparecer en el mediastino anterior, afectando los ganglios linfáticos de esta región. Los linfomas suelen presentarse con adenopatías y pueden acompañarse de síntomas sistémicos como fiebre y pérdida de peso.
- Tumores Mesenquimatosos:
- Lipoma: Tumor benigno compuesto por tejido adiposo. Los lipomas son generalmente asintomáticos y suelen ser de crecimiento lento.
- Fibroma: Tumor benigno que se origina en el tejido conectivo fibroso. Los fibromas en el mediastino anterior pueden ser asintomáticos o causar síntomas dependiendo de su tamaño y localización.
Diagnóstico Diferencial de una Masa Mediastínica Media
El compartimento medio del mediastino está delimitado por el pericardio anterior y la columna torácica posterior. Las causas de masas en esta región incluyen:
- Linfadenopatía: El agrandamiento de los ganglios linfáticos en el mediastino medio puede ser causado por infecciones, linfomas o metástasis. La linfadenopatía puede ser difusa o localizada.
- Agrandamiento de la Arteria Pulmonar: Las dilataciones o aneurismas de la arteria pulmonar pueden presentar una masa en el mediastino medio, con implicaciones potencialmente graves relacionadas con hipertensión pulmonar o enfermedades cardiovasculares.
- Aneurisma de la Aorta o Arteria Innominada: Un aneurisma en estas grandes arterias puede causar una masa visible en el mediastino medio debido a la expansión anormal de la pared arterial.
- Quistes del Desarrollo:
- Quiste Broncogénico: Se origina del tejido de los bronquios y se encuentra comúnmente en el mediastino medio. Generalmente es un quiste bien delimitado y puede estar asociado con infecciones respiratorias recurrentes.
- Quiste Entérico: Se desarrolla del tracto gastrointestinal y puede presentarse en el mediastino medio, a menudo con un contenido mucoso o líquido.
- Quiste Pleuropericárdico: Se localiza en la cavidad pleural o pericárdica y se llena de líquido, generando una masa en el mediastino medio.
- Vena Ázigo o Hemiázigo Dilatada: La dilatación de estas venas puede dar lugar a una masa en el mediastino medio, generalmente secundaria a obstrucción venosa o hipertensión.
- Foramen de la Hernia de Morgagni: Aunque es más común en el diafragma, una hernia en esta área puede presentar una masa en el mediastino medio debido a la protrusión de las vísceras abdominales.
Diagnóstico Diferencial de una Masa Mediastínica Posterior
El compartimento posterior del mediastino, situado junto a la columna vertebral, puede estar afectado por diversas condiciones:
- Hernia Hiatal: Esta condición ocurre cuando una parte del estómago se desplaza hacia el tórax a través del hiato esofágico en el diafragma, creando una masa en el mediastino posterior.
- Tumores Neurogénicos: Estos incluyen:
- Neurolemoma: Tumor benigno derivado de las células de Schwann que recubren los nervios.
- Neurofibroma: Tumor benigno de las células nerviosas, que puede presentar síntomas neurológicos o dolor.
- Neurosarcoma: Tumor maligno que puede presentar un crecimiento agresivo y potencial de metástasis.
- Ganglioneuroma: Tumor benigno que se origina en las células ganglionares del sistema nervioso simpático.
- Feocromocitoma: Tumor neuroendocrino que produce catecolaminas y puede causar hipertensión y síntomas asociados.
- Meningocele: Es una hernia de las meninges a través de un defecto en la columna vertebral, que puede presentar una masa en el mediastino posterior si se extiende hacia el tórax.
- Tumor Esofágico: Los tumores esofágicos, aunque generalmente comienzan en el esófago, pueden formar masas en el mediastino posterior si crecen lo suficiente o invaden estructuras adyacentes.
- Foramen de la Hernia de Bochdalek: Similar a la hernia de Morgagni, pero ubicada en la parte posterior del diafragma. Puede causar una masa mediastínica si las vísceras abdominales herniadas se desplazan hacia el tórax.
- Enfermedad de la Columna Torácica: Las deformidades o lesiones en la columna torácica, como fracturas o tumores vertebrales, pueden causar masas en el mediastino posterior debido a la extensión de estas condiciones.
- Hematopoyesis Extramedular: La producción anormal de células sanguíneas en tejidos fuera de la médula ósea puede causar masas en el mediastino posterior, especialmente en contextos de enfermedades hematológicas como la leucemia.
El tratamiento y el pronóstico dependen de la causa subyacente de la masa mediastinal.
Manifestaciones clínicas
Las masas mediastínicas son acumulaciones de tejido anómalo en el mediastino, la región central del tórax que se encuentra entre los pulmones. Estas masas pueden tener diversas causas, como tumores benignos o malignos, linfadenopatías, o quistes, y sus síntomas y signos a menudo son inespecíficos debido a la complejidad de la anatomía mediastínica y a la naturaleza de cómo estas masas afectan las estructuras circundantes.
El mediastino está compuesto por varias estructuras vitales, incluyendo el corazón, los grandes vasos sanguíneos, la tráquea, el esófago, y numerosos nervios y ganglios linfáticos. Cuando una masa se desarrolla en esta área, puede no causar síntomas directamente relacionados con su presencia, sino más bien síntomas que surgen por la presión o el desplazamiento de estas estructuras adyacentes. Por ejemplo, una masa que crece lentamente puede comprimir o distorsionar el esófago, resultando en disfagia (dificultad para tragar). Si afecta la tráquea o los bronquios, puede provocar dificultad para respirar o dispnea. El dolor torácico retroesternal, que es una sensación de dolor en el centro del pecho, también puede ser un síntoma, ya que la masa puede presionar sobre las estructuras cercanas o los nervios que envían sensaciones al pecho.
El inicio de estos síntomas suele ser insidioso, lo que significa que puede desarrollarse de manera gradual y no ser inmediato o agudo. Este inicio progresivo puede hacer que los síntomas sean menos evidentes hasta que se vuelvan más pronunciados. En muchos casos, el dolor torácico retroesternal, la disfagia o la dispnea pueden servir como indicios importantes para la presencia de una masa mediastínica, pero estos síntomas no son exclusivos de masas mediastínicas y pueden ser causados por otras condiciones.
Un hecho interesante es que, en aproximadamente la mitad de los casos, los síntomas pueden estar ausentes o ser muy leves. Esto puede hacer que la masa se detecte de manera fortuita durante una radiografía de tórax rutinaria realizada por otros motivos. Las radiografías de tórax son herramientas de diagnóstico comunes que pueden revelar la presencia de una masa o anormalidad en el mediastino incluso en ausencia de síntomas evidentes.
Los hallazgos físicos que se observan durante un examen físico varían según la naturaleza y la ubicación de la masa. Por ejemplo, una masa en el mediastino anterior puede causar deformidades en la parte frontal del tórax, mientras que una masa en el mediastino posterior puede afectar la columna vertebral o la función del esófago. Los síntomas y signos físicos pueden ser sutiles y difíciles de identificar sin estudios de imagen adicionales, como una tomografía computarizada (TC) o una resonancia magnética (RM), que permiten una evaluación más detallada de la masa y su impacto en las estructuras circundantes.
Exámenes diagnósticos
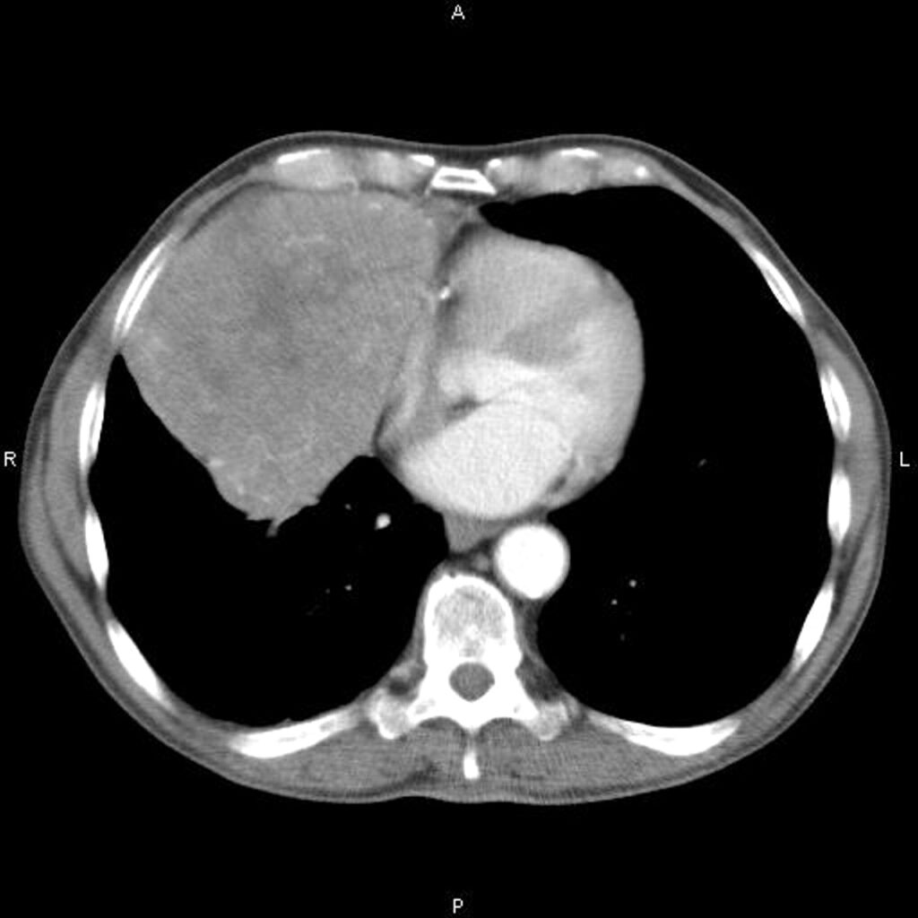
La tomografía computarizada (TC) juega un papel crucial en la evaluación y manejo de las masas mediastínicas. Este tipo de imagenología permite una visualización detallada de la masa y sus características, incluyendo su tamaño, forma, ubicación y relación con las estructuras circundantes. La TC es esencial para planificar el tratamiento, ya que proporciona información sobre la extensión local de la masa y si hay infiltración en tejidos vecinos.
Sin embargo, dependiendo de la sospecha clínica y de los hallazgos iniciales, pueden ser necesarios estudios adicionales para obtener una evaluación más completa. Si hay sospecha de enfermedad esofágica, la endoscopia superior puede ser muy útil. Este procedimiento permite examinar directamente el esófago y tomar muestras de tejido si es necesario, ayudando a identificar posibles neoplasias o anormalidades en el esófago que podrían estar relacionadas con la masa mediastínica.
En situaciones donde la masa puede estar afectando las venas principales del tórax, como la vena braquiocefálica o la vena cava superior, la ecografía Doppler y la venografía son estudios útiles. La ecografía Doppler puede evaluar el flujo sanguíneo y detectar posibles obstrucciones o anomalías en las venas principales. La venografía, por su parte, implica la inyección de un medio de contraste para visualizar las venas en radiografías y puede ayudar a identificar cualquier compresión o invasión por parte de la masa.
La angiografía es otro estudio relevante, especialmente si hay sospecha de implicación de los vasos sanguíneos importantes del mediastino. Este procedimiento utiliza un medio de contraste para visualizar los vasos sanguíneos en detalle, ayudando a evaluar la relación de la masa con los vasos principales y a planificar intervenciones quirúrgicas o tratamientos específicos.
La resonancia magnética (RM) es particularmente útil para la evaluación de estructuras mediastínicas complejas. Ofrece una delineación detallada de las estructuras hilares y permite distinguir entre vasos sanguíneos y masas de manera más precisa que la TC. Esto es importante para diferenciar las características de la masa y para planificar intervenciones quirúrgicas con mayor precisión.
Cuando se sospecha que una masa mediastínica puede ser neoplásica (tumoral), el diagnóstico definitivo a menudo requiere una biopsia. La biopsia por aguja es un procedimiento mínimamente invasivo en el que se extrae una muestra de tejido de la masa utilizando una aguja guiada por imagenología, como TC o ultrasonido. En algunos casos, puede ser necesario realizar una biopsia excisional, en la que se extirpa una parte o toda la masa para su análisis. El análisis histopatológico de las muestras es fundamental para confirmar la presencia de células malignas y para determinar el tipo específico de neoplasia, lo que a su vez guía las decisiones sobre el tratamiento.

Fuente y lecturas recomendadas:
- Gentili, F., De Vincentiis, C., Morandi, S., & G. et al. (2019). Update in diagnostic imaging of the thymus and anterior mediastinal masses. Gland Surgery, 8(Suppl 1), S188. https://doi.org/10.21037/gs.2019.10.03 [PMID: 31559186]
- Lee, H. N., Han, K., Kim, S. W., & Lim, Y. M. (2020). Diagnostic outcome and safety of CT-guided core needle biopsy for mediastinal masses: A systematic review and meta-analysis. European Radiology, 30(2), 588-598. https://doi.org/10.1007/s00330-019-06495-2 [PMID: 31418086]
- Miyazawa, R., Harada, K., Koyama, S., & Kadoya, M. (2020). Incidental mediastinal masses detected at low-dose CT screening: Prevalence and radiological characteristics. Japanese Journal of Radiology, 38(12), 1150-1157. https://doi.org/10.1007/s11604-020-01052-4 [PMID: 32638279]

