En la cirrosis, las células hepáticas, también conocidas como hepatocitos, experimentan una serie de cambios característicos debido a la respuesta del hígado al daño crónico y la formación de tejido cicatricial. El daño crónico al hígado puede llevar a la muerte de las células hepáticas. La necrosis es un proceso de muerte celular que implica la desintegración de las células, mientras que la apoptosis es un proceso de muerte celular programada. Estos eventos de muerte celular pueden ocurrir debido a la acumulación de toxinas, la inflamación y la disminución del suministro de oxígeno y nutrientes a las células hepáticas.
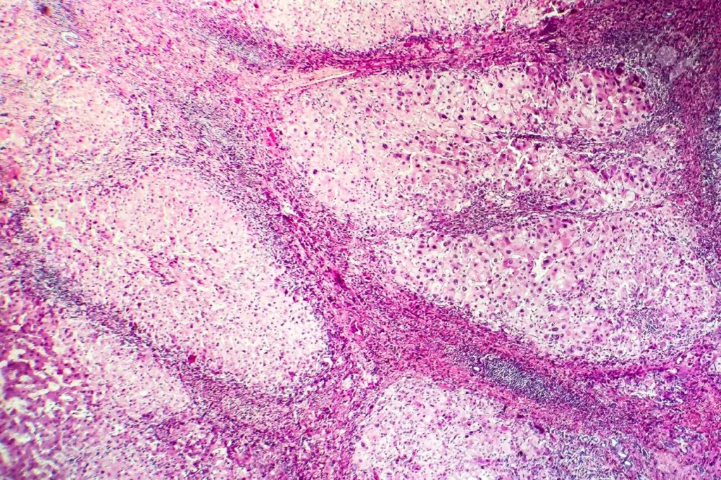
La cirrosis se caracteriza por la formación excesiva de tejido cicatricial (fibrosis) en el hígado. Esta fibrosis reemplaza gradualmente el tejido hepático normal y conduce a una alteración de la arquitectura celular normal del hígado. Las células hepáticas pierden su disposición regular en placas o láminas y se encuentran dispersas en pequeños grupos dentro del tejido cicatricial.
A medida que progresa la cirrosis, pueden formarse nódulos de regeneración en el tejido hepático. Estos nódulos son áreas pequeñas de tejido hepático regenerado que se desarrollan como una respuesta a la lesión crónica y la muerte celular. Los nódulos de regeneración son característicos de la cirrosis y contribuyen a la distorsión estructural del hígado.
En algunos casos de cirrosis, las células hepáticas pueden acumular grasa en su interior, un proceso conocido como esteatosis hepática. La esteatosis hepática puede ser causada por factores como la obesidad, el consumo excesivo de alcohol o la resistencia a la insulina. La acumulación de grasa en las células hepáticas puede empeorar la función hepática y contribuir a la progresión de la cirrosis.
Las células hepáticas pueden sufrir cambios en su tamaño y forma. Algunas células pueden aumentar de tamaño debido a la acumulación de grasa o al estrés celular, mientras que otras pueden reducir su tamaño debido a la contracción del tejido cicatricial circundante.
La disfunción hepatocelular, que es la disminución de la función de las células hepáticas, es una característica común de la cirrosis independientemente de su causa subyacente. Esta disfunción tiene múltiples consecuencias que contribuyen a las complicaciones observadas en la cirrosis.
La ictericia es uno de los signos clásicos de la disfunción hepatocelular. Ocurre debido a la acumulación de bilirrubina, un pigmento biliar que se produce como resultado de la degradación de los glóbulos rojos. Normalmente, el hígado procesa y elimina la bilirrubina de manera eficiente. Sin embargo, en la cirrosis, la función hepática deteriorada impide esta eliminación adecuada de bilirrubina, lo que lleva a su acumulación en el cuerpo. Como resultado, la piel y los ojos pueden adquirir un tono amarillento característico.
El hígado es responsable de la producción de proteínas de coagulación necesarias para el proceso de coagulación sanguínea normal. En la cirrosis, la disfunción hepatocelular resulta en una disminución de la síntesis de estas proteínas, lo que puede llevar a trastornos de la coagulación. La falta de proteínas de coagulación puede predisponer a la aparición de sangrado, así como a un aumento del riesgo de hemorragias, incluso en lesiones menores. Al mismo tiempo, la reducción de los factores de coagulación también puede predisponer a la formación de coágulos anormales en el sistema circulatorio.
La albúmina es una proteína producida por el hígado y desempeña un papel crucial en la regulación de la presión osmótica en los vasos sanguíneos y el transporte de diferentes sustancias en el torrente sanguíneo. En la cirrosis, la disfunción hepatocelular resulta en una disminución de la síntesis de albúmina, lo que conduce a niveles bajos de esta proteína en la sangre, una condición conocida como hipoalbuminemia. La hipoalbuminemia puede contribuir a la retención de líquidos en los tejidos, especialmente en las piernas y el abdomen, lo que lleva a la formación de edemas y ascitis.
La disfunción hepatocelular también tiene implicaciones en la función cerebral. En condiciones normales, el hígado elimina las toxinas y productos de desecho del metabolismo, como el amoníaco, de la circulación sanguínea. Sin embargo, en la cirrosis, la disfunción hepatocelular impide esta eliminación eficiente de sustancias tóxicas. Como resultado, estas toxinas pueden cruzar la barrera hematoencefálica y afectar el funcionamiento normal del cerebro, lo que da lugar a síntomas neurológicos característicos de la encefalopatía portosistémica. Estos síntomas pueden variar desde cambios sutiles en la personalidad y el estado de ánimo hasta trastornos del sueño, confusión, deterioro cognitivo y, en casos graves, coma.

Síguenos en X: @el_homomedicus y @enarm_intensivo Síguenos en instagram: homomedicus y en Treads.net como: Homomedicus

