La enfermedad de Paget del hueso se manifiesta por la presencia de una o más lesiones óseas caracterizadas por un alto recambio óseo y una formación desorganizada de osteoide. En sus primeras etapas, la patología se caracteriza por un aumento en la actividad de los osteoclastos, las células responsables de la resorción ósea. Este incremento en la actividad osteoclástica conduce a la aparición de lesiones líticas, que son áreas de destrucción ósea que avanzan a una tasa aproximada de 1 centímetro por año. En fases posteriores, aumenta la actividad de los osteoblastos, las células encargadas de la formación ósea, lo que provoca una tasa elevada de formación ósea, pero esta formación es desorganizada, con la disposición anómala de las fibras de colágeno y los componentes minerales del hueso.
Con el tiempo, los huesos involucrados se vuelven más vasculares, lo que significa que se incrementa la cantidad de vasos sanguíneos en su interior, pero, a la vez, estos huesos se debilitan y deforman. A medida que avanza la enfermedad, llega una fase final conocida como la fase de agotamiento, en la cual la actividad de las células óseas disminuye considerablemente. En esta etapa, los huesos pueden presentar alteraciones morfológicas, como agrandamientos o deformidades, debido a la reorganización ósea defectuosa.
A pesar de su curso clínico relativamente indolente, la prevalencia de la enfermedad de Paget ha disminuido en los últimos 20 años. Esta enfermedad es más común en el Reino Unido y en áreas con una alta migración europea, siendo rara en regiones como África, India, Asia y Escandinavia. En Estados Unidos, la enfermedad afecta a aproximadamente el 1% de las personas blancas mayores de 55 años, y su prevalencia aumenta con la edad, especialmente a partir de los 40 años. En la mayoría de los casos, la enfermedad se descubre de manera incidental durante estudios de imágenes radiológicas o debido a elevaciones encontradas en los niveles de fosfatasa alcalina sérica, una enzima que se encuentra en niveles elevados en la sangre en presencia de recambio óseo aumentado.
Este patrón de descubrimiento incidental sugiere que muchos casos de la enfermedad de Paget pueden pasar desapercibidos durante mucho tiempo, ya que los síntomas clínicos a menudo son mínimos o ausentes en las fases tempranas de la enfermedad.
Manifestaciones clínicas
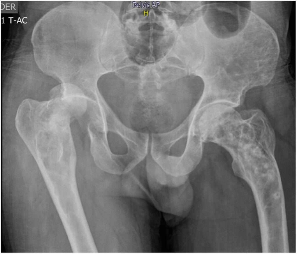
La enfermedad de Paget del hueso se caracteriza por su curso clínico generalmente leve y asintomático en aproximadamente el 75% de los casos, lo que significa que muchos pacientes pueden no experimentar síntomas evidentes durante las primeras etapas de la enfermedad. A pesar de la naturaleza silente de la enfermedad en muchas personas, cuando se presenta, puede afectar varios huesos en el 72% de los casos, lo que se conoce como forma poliostótica, mientras que en el 28% de los casos solo se ve afectado un hueso, lo que se denomina forma monoestótica. Las localizaciones más comunes de afectación incluyen la pelvis, las vértebras, el fémur, el húmero y el cráneo.
A menudo, la enfermedad de Paget involucra de manera simultánea varios huesos afectados, y este patrón se mantiene a lo largo de la enfermedad, es decir, no suele extenderse a otros huesos durante su curso. El síntoma inicial más común es el dolor, que generalmente se describe como un dolor sordo, profundo y más pronunciado por la noche. Este dolor puede localizarse en el hueso afectado o en una articulación adyacente, que a menudo se ve afectada por artritis degenerativa secundaria. El dolor óseo es más prominente en la fase osteoclástica, cuando la resorción ósea es más activa, y tiende a intensificarse con la carga de peso sobre los huesos implicados.
La enfermedad de Paget tiene una predilección por afectar los huesos largos de manera proximal, avanzando hacia las porciones distales de estos huesos. El dolor óseo en el frente osteolítico, que es la zona de destrucción ósea, se ve incrementado por la carga, lo que puede hacer que el paciente sienta dolor especialmente al caminar o al realizar actividades que involucren peso. Las superficies articulares, como las de las rodillas, también pueden verse involucradas, lo que da lugar a dolor articular de tipo artrítico.
A medida que la enfermedad progresa, los huesos afectados se vuelven más blandos y susceptibles a deformidades. Esto puede llevar a la aparición de tibias en arco, cifosis (curvatura anormal de la columna vertebral hacia adelante) y un aumento en la frecuencia de las fracturas tipo «palo de tiza», que ocurren con traumas leves debido a la fragilidad del hueso. Si el cráneo está involucrado, los pacientes pueden experimentar dolores de cabeza y un aumento en el tamaño de la cabeza, lo que puede llevar a que se necesite un sombrero de mayor tamaño. Aproximadamente la mitad de estos pacientes presentan venas dilatadas en el cuero cabelludo, lo que se conoce como el «signo de las venas del cuero cabelludo».
Cuando la enfermedad afecta el hueso temporal petroso, que es una porción del hueso temporal del cráneo que rodea al oído, puede comprometer la cóclea, lo que provoca pérdida auditiva, tinnitus (zumbido en los oídos) o vértigo. La alteración en la vascularización de los huesos involucrados también da lugar a un aumento en el calor local de las zonas afectadas, lo que puede ser percibido por los pacientes como una sensación de mayor calor en las áreas donde los huesos están comprometidos.
Este complejo cuadro clínico varía dependiendo de la localización de los huesos afectados, y el diagnóstico suele ser incidental, descubierto durante estudios radiológicos o cuando se detectan niveles elevados de fosfatasa alcalina en sangre. La progresión de la enfermedad y los síntomas dependen de la gravedad de la afectación ósea y de la respuesta individual de cada paciente al proceso patológico.
Exámenes diagnósticos
La fosfatasa alcalina total en suero y la fosfatasa alcalina ósea son frecuentemente elevadas en la enfermedad de Paget, lo que refleja la alteración en el recambio óseo característico de esta patología. La fosfatasa alcalina total en suero se incrementa debido al aumento de la actividad de los osteoblastos, las células responsables de la formación ósea, que en la enfermedad de Paget están hiperactivas. Esta elevación es especialmente notoria en los casos de enfermedad poliostótica, donde varios huesos están comprometidos, ya que hay un recambio óseo más pronunciado. Sin embargo, en aproximadamente el 40% de los pacientes, los niveles de fosfatasa alcalina en suero pueden estar dentro del rango normal, particularmente en aquellos con afectación monoestótica (afectación de un solo hueso), en los cuales la actividad osteoblástica es menos extensa.
Además, en algunos pacientes, los niveles de calcio en suero pueden estar elevados, especialmente en aquellos que están en reposo absoluto en cama, debido a la resorción ósea aumentada. El reposo prolongado puede exacerbar la hipercalcemia debido al incremento de la liberación de calcio de los huesos al torrente sanguíneo. Dado que la deficiencia de vitamina D también puede dar lugar a un aumento de la fosfatasa alcalina sérica y dolor óseo, es recomendable realizar una determinación de 25-hidroxivitamina D en suero para evaluar si existe una deficiencia de esta vitamina, lo que podría estar contribuyendo tanto a los síntomas como a la elevación de los niveles de fosfatasa alcalina.
En cuanto a la imagenología, las radiografías simples o las tomografías computarizadas (TC) son fundamentales para el diagnóstico de la enfermedad de Paget. Estas pruebas revelan lesiones osteolíticas en los huesos afectados, que aparecen como áreas radiolúcidas (zonas más oscuras en la radiografía) debido a la destrucción ósea. Un hallazgo característico en el cráneo es la presencia de «osteoporosis circunscrita», donde las áreas de destrucción ósea se presentan de forma focalizada. En los huesos largos, se pueden observar lesiones líticas que avanzan de manera similar a las llamas de fuego, lo que ayuda a diferenciar estas lesiones de otras enfermedades óseas. En las vértebras, las lesiones pueden adoptar una forma peculiar, conocida como «trébol» o «corazón», a veces denominada «signo de Mickey Mouse», lo que puede ayudar a distinguirlas de las metástasis óseas, que generalmente tienen una apariencia más uniforme y difusa.
Las lesiones óseas en la enfermedad de Paget pueden pasar por diferentes fases, comenzando con una fase lítica en la que la resorción ósea es predominante, seguida de una fase mixta, en la que coexisten la resorción y la formación ósea desorganizada, y, finalmente, una fase esclerótica en la que predomina la formación ósea excesiva, lo que lleva a que los huesos afectados se engrosen y se deformen. Este proceso progresivo de destrucción y remodelado anómalo es lo que da lugar a las deformidades típicas asociadas con la enfermedad de Paget.
Además de las radiografías y las tomografías computarizadas, los escáneres óseos con tecnetio-99m-pirofosfato son útiles para evaluar la actividad de las lesiones óseas y detectar lesiones adicionales en otras localizaciones. Esta técnica de imagen permite visualizar áreas de alta actividad metabólica en los huesos, lo que refleja la intensidad del recambio óseo, y es útil para monitorizar la progresión de la enfermedad y la respuesta al tratamiento.
Diagnóstico diferencial
El diagnóstico diferencial de la enfermedad de Paget del hueso incluye una variedad de condiciones raras que comparten características fenotípicas similares, lo que puede dificultar su diferenciación. Algunas de estas condiciones son tipos familiares raros de displasias óseas escleróticas, que presentan rasgos comunes con la enfermedad de Paget, como la formación desorganizada de hueso y la esclerosis en varias localizaciones óseas. Sin embargo, existen diferencias clave que deben ser evaluadas para un diagnóstico preciso.
Además de las displasias óseas escleróticas, otras enfermedades que deben considerarse en el diagnóstico diferencial incluyen la mielofibrosis, la osteosclerosis intramedular, la enfermedad de Erdheim-Chester, la histiocitosis de células de Langerhans y la enfermedad de células falciformes. La mielofibrosis, por ejemplo, puede presentar hallazgos radiológicos similares debido a la fibrosis de la médula ósea y el engrosamiento óseo, pero a diferencia de la enfermedad de Paget, no se asocia con la misma desorganización en la formación ósea. La osteosclerosis intramedular también puede mostrar áreas de esclerosis ósea, pero no exhibe el patrón de remodelado óseo típico de la enfermedad de Paget. La enfermedad de Erdheim-Chester, una rara enfermedad sistémica, puede producir osteosclerosis, aunque usualmente está asociada con lesiones bilaterales y simétricas en huesos largos y otras manifestaciones sistémicas. La histiocitosis de células de Langerhans puede causar lesiones óseas líticas, que en algunos casos podrían confundirse con las lesiones osteolíticas de la enfermedad de Paget, pero generalmente presenta características clínicas y radiológicas distintas, como la destrucción ósea más localizada y con la presencia de otras lesiones sistémicas. La enfermedad de células falciformes, por su parte, se asocia con cambios óseos debido a la crisis vaso-oclusiva, pero no tiene el mismo patrón de recambio óseo desorganizado.
Un aspecto crucial en el diagnóstico diferencial de la enfermedad de Paget es diferenciarla de los trastornos primarios del hueso, como el osteosarcoma osteogénico, el mieloma múltiple y la displasia fibrosa. Estas condiciones pueden presentar lesiones óseas expansivas o líticas similares a las de la enfermedad de Paget, pero el osteosarcoma, por ejemplo, se caracteriza por la presencia de una masa ósea agresiva con características histológicas malignas, mientras que el mieloma múltiple suele producir líticas extensas asociadas con lesiones en otros órganos y no con el mismo patrón de remodelado óseo. La displasia fibrosa también puede dar lugar a áreas de osteolisis y formación ósea desorganizada, pero a diferencia de la enfermedad de Paget, los huesos afectados no muestran el mismo nivel de vasodilatación ni el patrón de lesiones avanzando de proximal a distal.
Otro aspecto importante en el diagnóstico diferencial es la diferenciación de las lesiones óseas secundarias, como la osteítis fibrosa quística y el carcinoma metastásico al hueso. La osteítis fibrosa quística, que generalmente es un hallazgo asociado con hipertiroidismo, puede presentar lesiones óseas que se parecen a las de la enfermedad de Paget debido al aumento del recambio óseo. Sin embargo, la presencia de niveles elevados de paratohormona y otras características clínicas del hipertiroidismo pueden ayudar a distinguir ambas condiciones. El carcinoma metastásico al hueso puede provocar lesiones líticas y aumento de la vascularidad en los huesos afectados, pero a menudo está acompañado de otros hallazgos clínicos y radiológicos, como un historial de cáncer primario y metástasis en otros órganos.
Una condición rara que puede mimetizar la enfermedad de Paget es la fibrosis imperfecta ósea, un trastorno simétrico poco frecuente que se caracteriza por un engrosamiento óseo similar al de la enfermedad de Paget. En este trastorno, los niveles de fosfatasa alcalina sérica también están elevados, lo que puede inducir a error en el diagnóstico. Sin embargo, esta afección puede estar asociada con paraproteinemias, lo que constituye un punto importante de distinción, ya que la enfermedad de Paget no suele asociarse con trastornos de este tipo.
Complicaciones
La enfermedad de Paget del hueso, aunque generalmente de curso lento y con un pronóstico relativamente benigno, puede dar lugar a una serie de complicaciones graves cuando avanza o cuando se presentan factores adicionales, como la inmovilización o la afectación extensiva de varios huesos.
Uno de los riesgos principales de la inmovilización en pacientes con enfermedad de Paget es el desarrollo de hipercalcemia, un trastorno caracterizado por niveles elevados de calcio en la sangre. Esto ocurre debido a la resorción ósea aumentada y la liberación excesiva de calcio desde los huesos hacia el torrente sanguíneo. Además, la hipercalcemia puede ir acompañada de la formación de cálculos renales, ya que los riñones intentan filtrar el exceso de calcio, lo que favorece la precipitación de cristales de calcio en los riñones. Esta complicación es particularmente peligrosa, ya que puede comprometer la función renal y llevar a un daño renal progresivo si no se maneja adecuadamente.
En casos de enfermedad poliostótica grave, donde hay un compromiso de múltiples huesos, la mayor vascularización de los huesos afectados puede generar un síndrome de insuficiencia cardíaca de alto gasto (insuficiencia cardíaca congestiva). Esto sucede porque la mayor cantidad de vasos sanguíneos en los huesos comprometidos aumenta el flujo sanguíneo hacia las áreas afectadas, lo que pone una carga adicional sobre el corazón al intentar mantener un gasto cardíaco adecuado. Este fenómeno, aunque no común, puede ser debilitante y requerir intervención médica para manejar la insuficiencia cardíaca.
La artritis es otra complicación frecuente en pacientes con enfermedad de Paget. Esta condición se desarrolla en las articulaciones adyacentes a los huesos afectados, especialmente cuando los cambios en los huesos cercanos alteran la alineación articular o causan una presión anómala sobre las estructuras articulares. La artritis puede agravar el dolor y la limitación funcional, reduciendo la calidad de vida de los pacientes.
Cuando hay una afectación extensa del cráneo, pueden producirse lesiones en los nervios craneales debido a la compresión de los forámenes neurales, los pasajes por donde los nervios salen del cráneo. Esto puede dar lugar a parálisis o disfunción de los nervios craneales, lo que se traduce en síntomas como pérdida de la visión, dolor facial, o alteraciones en el gusto o el habla, dependiendo del nervio afectado.
La implicación del cráneo también puede desencadenar un síndrome de robo vascular, una condición en la que el flujo sanguíneo en áreas importantes del cerebro es reducido debido a la mayor demanda de sangre en los huesos afectados. Este fenómeno puede llevar a eventos neurológicos isquémicos, como somnolencia o alteraciones en la función cognitiva y motora. El nervio óptico puede verse afectado, lo que puede resultar en pérdida de visión, una complicación que puede ser irreversible si no se maneja a tiempo.
En cuanto a la afectación de la mandíbula, la enfermedad de Paget puede causar una separación anómala de los dientes dentro de la cavidad oral, llevando a la desalineación dental. Esta alteración no solo tiene implicaciones estéticas, sino que también puede dificultar la masticación y la salud bucal en general, lo que requiere atención odontológica especializada.
En los casos de afectación vertebral, el colapso de las vértebras es una complicación grave que puede comprimir la médula espinal o los nervios espinales, lo que puede provocar radiculopatía (dolor, debilidad o entumecimiento en las extremidades) o, en los casos más severos, parálisis. Además, la afectación vertebral también puede contribuir a un síndrome de robo vascular, que compromete el flujo sanguíneo hacia las áreas de la médula espinal, provocando parálisis.
El tratamiento quirúrgico de fracturas en huesos largos, especialmente en aquellos huesos que están afectados por lesiones líticas vasculares, puede ser particularmente complicado debido a la dificultad de controlar la hemorragia. Las lesiones óseas líticas asociadas con la enfermedad de Paget pueden estar altamente vascularizadas, lo que aumenta el riesgo de pérdida sanguínea significativa durante una cirugía. Esto requiere técnicas quirúrgicas especializadas y, en algunos casos, intervenciones para controlar la hemorragia.
Por último, aunque es raro, en menos del 1% de los casos de enfermedad de Paget de larga duración, pueden desarrollarse tumores malignos como el sarcoma o el tumor de células gigantes. Estos tumores suelen surgir de las áreas afectadas por la enfermedad y son agresivos, lo que requiere un enfoque quirúrgico y oncológico inmediato para su tratamiento.
Tratamiento
En los pacientes asintomáticos con enfermedad de Paget del hueso, en muchos casos, no es necesario un tratamiento inmediato. Estos pacientes pueden requerir solo vigilancia clínica periódica, especialmente si la enfermedad no está causando síntomas significativos o complicaciones. La vigilancia clínica incluye evaluaciones regulares del estado general del paciente, exámenes físicos y, en algunos casos, análisis de laboratorio para monitorear la evolución de los niveles de fosfatasa alcalina en suero, que pueden indicar el grado de actividad de la enfermedad. Sin embargo, el tratamiento con bisfosfonatos debe considerarse en aquellos pacientes asintomáticos que presentan una afectación significativa del cráneo, los huesos largos o las vértebras. La intervención se justifica en estos casos para prevenir el empeoramiento de la enfermedad y reducir el riesgo de complicaciones a largo plazo, como deformidades óseas y problemas neurológicos asociados.
El tratamiento con bisfosfonatos, particularmente con ácido zoledrónico, es ampliamente considerado el tratamiento de elección para la enfermedad de Paget, ya que ha demostrado ser más efectivo que otros bisfosfonatos en la normalización de los niveles de fosfatasa alcalina en suero, que es un indicador importante de la actividad de la enfermedad. El ácido zoledrónico se administra de forma intravenosa como una única dosis de 5 mg, y se ha comprobado que normaliza los niveles de fosfatasa alcalina en el 89% de los pacientes en un plazo de seis meses y en el 98% de los pacientes en un periodo de dos años. Esta respuesta favorable se debe al mecanismo de acción del ácido zoledrónico, que inhibe la actividad de los osteoclastos, las células responsables de la resorción ósea, reduciendo así la remodelación ósea desorganizada característica de la enfermedad de Paget.
En caso de que la enfermedad recurra, lo que puede evidenciarse tanto clínicamente como por el seguimiento de los niveles de fosfatasa alcalina en suero y la radiología ósea, se puede repetir la infusión de ácido zoledrónico. Este tratamiento es particularmente importante en pacientes que han desarrollado deformidades o complicaciones graves, como en los casos de implicación articular significativa. De hecho, el ácido zoledrónico debe administrarse antes de una artroplastia total para una articulación afectada por Paget o antes de realizar una osteotomía en los casos de deformidad en las extremidades inferiores (como las tibias en arco). Esto se hace para reducir el riesgo de hemorragias intraoperatorias y de aflojamiento de la prótesis a largo plazo, que son complicaciones potenciales asociadas con la cirugía en pacientes con huesos comprometidos por la enfermedad de Paget.
En casos en los que los pacientes desarrollan paraplejia debido a la afectación vertebral, se recomienda administrar ácido zoledrónico intravenoso mientras se obtiene una consulta con cirugía neurológica. Este enfoque es esencial para manejar la complicación neurológica mientras se controla la actividad de la enfermedad ósea, ya que la estabilización de la estructura ósea vertebral puede ser crucial para evitar más daño a la médula espinal o a las raíces nerviosas.
Un fenómeno que a menudo se observa en los pacientes que inician tratamiento con bisfosfonatos es un aumento paradójico del dolor en las zonas afectadas por la enfermedad, conocido como el «efecto de la primera dosis». Este aumento del dolor suele ser transitorio y generalmente desaparece con los tratamientos subsecuentes. Aunque este efecto es incómodo, no se asocia con un empeoramiento de la enfermedad y tiende a mejorar a medida que el tratamiento continúa.
El tratamiento con ácido zoledrónico intravenoso también puede causar efectos secundarios comunes, como fiebre, fatiga, mialgia, dolor óseo y problemas oculares. Estos efectos adversos son generalmente autolimitados y pueden durar varios días después de la infusión. Uno de los efectos secundarios más preocupantes es la hipocalcemia, que puede ser grave, especialmente si se administra ácido zoledrónico en combinación con diuréticos de asa. La hipocalcemia ocurre porque el bisfosfonato reduce la resorción ósea y, en consecuencia, los niveles de calcio en sangre pueden caer de manera significativa. Para prevenir esta complicación, se recomienda administrar suplementos de calcio y vitamina D, especialmente durante las primeras dos semanas después del tratamiento. Además, cualquier deficiencia de vitamina D debe corregirse antes de iniciar el tratamiento con bisfosfonatos, ya que los bajos niveles de esta vitamina pueden interferir con la eficacia del tratamiento y aumentar el riesgo de complicaciones relacionadas con la mineralización ósea.
Pronóstico
El pronóstico de la enfermedad de Paget del hueso generalmente es favorable, especialmente cuando se administra un tratamiento adecuado, como los bisfosfonatos, que son efectivos para reducir la actividad de la enfermedad y mejorar los síntomas. Sin embargo, aunque el tratamiento inicial con bisfosfonatos, como el ácido zoledrónico, suele ser exitoso, existe la posibilidad de recurrencia de la enfermedad con el tiempo. De hecho, a los 6.5 años después del tratamiento inicial, la tasa de recaída varía significativamente entre los diferentes bisfosfonatos. En pacientes tratados con ácido zoledrónico, la tasa de recurrencia es del 12.5%, mientras que para aquellos tratados con risedronato, la tasa de recaída es mucho más alta, alcanzando el 62%. Esto destaca la importancia de un seguimiento a largo plazo de los pacientes, incluso después de un tratamiento exitoso, ya que la enfermedad puede volver a activarse y requerir intervención adicional.
La monitorización clínica y de laboratorio en estos pacientes es esencial para detectar signos tempranos de recaída. Uno de los principales indicadores utilizados para evaluar la actividad de la enfermedad es la medición de los niveles de fosfatasa alcalina en suero, los cuales deben ser evaluados al menos una vez al año. El seguimiento regular no solo ayuda a detectar una posible recaída, sino que también permite ajustar el tratamiento según sea necesario, evitando complicaciones mayores como las deformidades óseas y el dolor crónico.
En cuanto a las fracturas en pacientes con enfermedad de Paget, generalmente, los huesos afectados sanan bien con tratamiento adecuado, ya que el recambio óseo suele ser más rápido y la formación de callos óseos es más eficiente que en los huesos no comprometidos. Sin embargo, en las formas más graves de la enfermedad, en las que la deformidad ósea es pronunciada, los pacientes pueden experimentar dolor intratable y otras complicaciones graves, como insuficiencia cardíaca de alto gasto, especialmente si no se administran bisfosfonatos. La insuficiencia cardíaca de alto gasto se produce debido al aumento de la vascularización en los huesos afectados, lo que sobrecarga el corazón al intentar mantener un flujo sanguíneo adecuado, lo que puede ser un factor limitante en el pronóstico de estos pacientes si no se tratan adecuadamente.
Una de las complicaciones más graves asociadas con la enfermedad de Paget es el desarrollo de osteosarcoma en los sitios afectados por la enfermedad. Aunque esto ocurre en menos del 1% de los casos, el diagnóstico de osteosarcoma en un paciente con Paget tiene un pronóstico extremadamente desfavorable. La supervivencia a los dos años en estos pacientes es solo del 25%, lo que refleja la agresividad de este tipo de cáncer óseo y la dificultad en el tratamiento. Este riesgo subraya la importancia de un seguimiento cuidadoso y regular, así como la necesidad de tratamiento oportuno para evitar el desarrollo de complicaciones malignas.

Fuente y lecturas recomendadas:
- Lombardi AF et al. Imaging of Paget’s disease of bone. Radiol Clin North Am. 2022;60:561. [PMID: 35672089]

