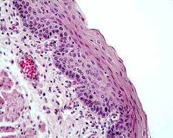
La coloración con hematoxilina y eosina (H&E) es una técnica fundamental en histología y anatomía patológica que se utiliza para teñir y visualizar tejidos biológicos bajo un microscopio óptico. Esta técnica es esencial en el campo de la investigación y la medicina para examinar la estructura de los tejidos, identificar anomalías y diagnosticar enfermedades.
- Fijación en formalina: La primera etapa en la preparación de muestras de tejido para microscopía es la fijación en formalina. La formalina es un agente de fijación que detiene la descomposición de las células y protege la estructura de los tejidos al mantener sus componentes celulares en su lugar. Esto permite que los tejidos se mantengan estables y conserven su morfología original.
- Inclusión en parafina: Después de la fijación, los tejidos se someten a un proceso de inclusión en parafina. En este paso, los tejidos se deshidratan y se impregnan con parafina, una sustancia cerosa que les proporciona rigidez y facilita el corte en secciones finas. La inclusión en parafina permite que los tejidos se corten en cortes transversales muy delgados, generalmente de unos pocos micrómetros de espesor.
- Corte en microtomo: Las muestras de tejido incluidas en parafina se cortan en secciones finas utilizando un instrumento llamado microtomo. Estas secciones delgadas se montan en portaobjetos de vidrio y se fijan firmemente en su lugar. Cada sección contiene una rebanada delgada de tejido que representa una instantánea de la estructura del tejido en ese punto específico.
- Tinción con hematoxilina y eosina: Una vez que las secciones de tejido están montadas en los portaobjetos, se procede a la tinción con H&E. La hematoxilina tiñe los núcleos celulares de color azul oscuro, mientras que la eosina tiñe el citoplasma y otros componentes celulares de color rosa a rojo. Esta tinción diferencial resalta las diferencias en la morfología y la composición celular de los tejidos.
- Microscopía óptica: Finalmente, las muestras teñidas se examinan bajo un microscopio óptico. La coloración con H&E permite a los patólogos y los investigadores observar y analizar la estructura y la organización de las células y los tejidos. Esto es fundamental para el diagnóstico de enfermedades, la investigación científica y la comprensión de la anatomía normal y patológica.

Síguenos en X: @el_homomedicus y @enarm_intensivo Síguenos en instagram: homomedicus y en Treads.net como: Homomedicus

