Histoplasmosis
Histoplasmosis

Histoplasmosis

La histoplasmosis es una micosis sistémica causada por hongos del género Histoplasma, específicamente Histoplasma capsulatum y Histoplasma duboisii. Estas especies fúngicas tienen un hábitat natural en suelos ricos en materia orgánica, especialmente aquellos que se encuentran contaminados con excrementos de aves o murciélagos. Este ambiente propicia la proliferación del hongo en forma micelial, que es su forma ambiental y saprofítica. Las regiones geográficas donde se reporta con mayor frecuencia esta infección incluyen áreas endémicas como el centro y el este de los Estados Unidos, el este de Canadá, México, América Central, América del Sur, regiones del continente africano y el sudeste asiático.

La vía de adquisición de la infección es predominantemente respiratoria. Cuando el suelo que contiene al hongo es perturbado —ya sea por actividades agrícolas, excavaciones, limpieza de cuevas o construcciones—, se liberan al aire microconidios e hilos fragmentados que contienen estructuras infecciosas. Estos elementos son de tamaño suficientemente pequeño como para ser inhalados y alcanzar los alvéolos pulmonares.

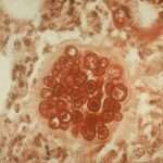
Una vez en los pulmones, los conidios inhalados experimentan una transformación térmica inducida por la temperatura corporal del huésped. Este cambio morfológico convierte a las esporas en células levaduriformes de pequeño tamaño, capaces de replicarse. Estas células fúngicas son fagocitadas por macrófagos alveolares, pero poseen la capacidad de sobrevivir y multiplicarse dentro del compartimento intracelular del fagolisosoma, resistiendo así los mecanismos habituales de destrucción celular.

Posteriormente, el hongo puede diseminarse a través de los vasos linfáticos y del torrente sanguíneo, lo que se conoce como diseminación linfohematógena. Este proceso permite que el microorganismo alcance diversos órganos del sistema reticuloendotelial, como el hígado, el bazo, los ganglios linfáticos y la médula ósea, donde puede continuar su replicación y provocar manifestaciones clínicas que varían desde formas asintomáticas hasta infecciones graves y diseminadas, particularmente en individuos inmunocomprometidos.

La patogenia de la histoplasmosis, por tanto, se basa en la capacidad del hongo para adaptarse a un entorno intracelular hostil, diseminarse sistémicamente y evadir la respuesta inmune del huésped, lo que explica tanto la variedad de presentaciones clínicas como la gravedad que puede alcanzar en determinados contextos epidemiológicos y clínicos.

Manifestaciones clínicas

La mayoría de los casos de histoplasmosis transcurren sin síntomas o con manifestaciones clínicas muy leves, por lo que frecuentemente pasan desapercibidos. En muchas ocasiones, se descubre que una persona tuvo una infección previa de forma incidental, mediante estudios radiográficos donde se observan calcificaciones pulmonares y esplénicas características, resultado de la cicatrización posterior a la infección.

Cuando la histoplasmosis se manifiesta clínicamente, puede adoptar diversas formas. Las infecciones leves suelen presentarse con un cuadro clínico similar al de una gripe común, con síntomas como fiebre, malestar general y tos, que generalmente persisten entre uno y cuatro días. En casos moderadamente más severos, la enfermedad puede confundirse con una neumonía atípica, y en estos pacientes los síntomas incluyen fiebre, tos persistente y dolor torácico central de intensidad leve, con una duración de cinco a quince días.

Las formas clínicamente evidentes de histoplasmosis se dividen en varias presentaciones principales:

  1. Histoplasmosis pulmonar aguda: Esta forma se observa frecuentemente en brotes epidémicos, especialmente cuando se perturba el suelo que contiene excrementos de aves o murciélagos infectados. Las manifestaciones clínicas varían ampliamente, desde síntomas leves similares a los de una gripe, hasta cuadros más graves con neumonía. La enfermedad puede durar desde una semana hasta seis meses, aunque rara vez es mortal.
  2. Histoplasmosis diseminada progresiva: Se presenta con mayor frecuencia en pacientes con inmunodeficiencias celulares, especialmente aquellos con infección por el virus de la inmunodeficiencia humana (VIH) y recuentos de células CD4 por debajo de 100 células por microlitro. También se ha descrito en personas inmunocomprometidas por tratamientos inmunosupresores, como los inhibidores del factor de necrosis tumoral alfa (TNF-α). Esta forma se caracteriza por fiebre persistente y afectación multisistémica. Las radiografías de tórax pueden mostrar un patrón miliar, indicativo de diseminación hematógena. En algunos casos, la presentación es fulminante, simulando un choque séptico, y puede ser rápidamente mortal sin tratamiento oportuno. Los síntomas incluyen fiebre, disnea, tos, pérdida de peso y postración. Puede haber úlceras en las mucosas orofaríngeas, y el hígado y el bazo suelen estar agrandados. Es común la afectación de las glándulas suprarrenales, lo que produce insuficiencia suprarrenal en aproximadamente el 50 % de los pacientes. La afectación gastrointestinal puede parecerse clínicamente a una enfermedad inflamatoria intestinal. La invasión del sistema nervioso central se observa en un 5 a 10 % de los casos diseminados.
  3. Histoplasmosis pulmonar crónica: Esta forma afecta principalmente a personas mayores con enfermedades pulmonares crónicas preexistentes, como enfisema. Las radiografías de tórax pueden revelar cavidades apicales complejas, infiltrados y nódulos pulmonares.
  4. Complicaciones de la histoplasmosis pulmonar: Entre ellas destacan dos entidades importantes:
    • Mediastinitis granulomatosa, caracterizada por una linfadenopatía mediastinal persistente, con inflamación granulomatosa crónica.
    • Mediastinitis fibrosante, una complicación menos común pero más grave, en la que una respuesta fibrótica desproporcionada al Histoplasma conduce a una fibrosis extensa que compromete estructuras vasculares pulmonares, con posibles consecuencias clínicas severas debido a la obstrucción o compresión de vasos y vías respiratorias.

Exámenes diagnósticos

En la histoplasmosis pulmonar aguda, el cultivo de esputo rara vez arroja resultados positivos debido a la baja carga fúngica en las secreciones respiratorias durante esta fase inicial de la enfermedad. En esta etapa, el hongo se encuentra mayormente en su forma levaduriforme y suele localizarse intracelularmente dentro de macrófagos alveolares, lo cual limita su presencia libre en las vías respiratorias y, por ende, su detección en muestras de esputo. En contraste, en la histoplasmosis pulmonar crónica, el proceso inflamatorio prolongado y la destrucción tisular facilitan la liberación y acumulación de organismos fúngicos en el árbol traqueobronquial, lo que incrementa significativamente la probabilidad de aislar Histoplasma en el cultivo de esputo.

Para mejorar la sensibilidad diagnóstica en la enfermedad aguda, se ha demostrado útil el análisis del antígeno fúngico en el líquido de lavado broncoalveolar. Esta técnica permite detectar polisacáridos del hongo en el tracto respiratorio inferior, especialmente en pacientes con compromiso pulmonar significativo. Aun así, los ensayos combinados de antígeno en orina y suero ofrecen una mayor sensibilidad diagnóstica, alcanzando aproximadamente un 83 % en pacientes con histoplasmosis pulmonar aguda. Esta estrategia de combinación es particularmente valiosa cuando el diagnóstico clínico es incierto y el acceso a muestras invasivas está limitado.

En los pacientes con formas crónicas de la enfermedad, especialmente aquellos con compromiso pulmonar persistente, es común observar anemia de tipo inflamatorio o «anemia de enfermedad crónica», caracterizada por alteraciones en el metabolismo del hierro y una disminución en la producción eritrocitaria, mediada por citocinas proinflamatorias. En los casos de histoplasmosis diseminada, el compromiso de la médula ósea puede ser notable y manifestarse como pancitopenia, reflejo de una afectación extensa del tejido hematopoyético.

En el contexto de enfermedad diseminada, particularmente en pacientes inmunocomprometidos, se observan frecuentemente marcadas elevaciones de lactato deshidrogenasa (LD) y ferritina, lo que sugiere una activación sistémica del sistema monocito-macrófago y una intensa respuesta inflamatoria. También son comunes las elevaciones discretas de enzimas hepáticas, especialmente de la aspartato aminotransferasa (AST), reflejando un grado variable de compromiso hepático o daño celular sistémico.

En estos pacientes, las hemocultivos utilizando técnicas de centrifugación con lisis celular o los cultivos de médula ósea son altamente rentables, con tasas de positividad superiores al 80 %. Sin embargo, es importante destacar que el crecimiento del hongo puede tardar varias semanas, lo que limita la utilidad de estas pruebas para el diagnóstico inmediato.

Por otra parte, el ensayo de antígeno en orina representa una herramienta diagnóstica de alta sensibilidad en la histoplasmosis diseminada, especialmente en individuos con inmunodeficiencias, superando el 90 % de sensibilidad. Además, la disminución progresiva de los títulos antigénicos en orina puede ser utilizada como marcador de respuesta terapéutica, permitiendo monitorizar la eficacia del tratamiento antifúngico en el tiempo.

En los casos con sospecha de compromiso del sistema nervioso central, como en la meningitis por Histoplasma, se recomienda realizar tanto la detección de antígenos como la de anticuerpos en líquido cefalorraquídeo, ya que la combinación de ambas pruebas incrementa la sensibilidad diagnóstica en esta forma clínica de difícil acceso y potencialmente grave.

 

Tratamiento

En el tratamiento de la histoplasmosis progresiva localizada, así como de la forma diseminada no meníngea de leve a moderada gravedad —ya sea en pacientes inmunocompetentes o inmunocomprometidos—, el fármaco de elección es el itraconazol administrado por vía oral en dosis de entre 200 y 400 miligramos al día, fraccionados en dos tomas. Esta elección terapéutica se sustenta en una tasa global de respuesta clínica favorable cercana al 80 %, lo cual refleja una eficacia significativa en la contención y resolución de la infección en estas presentaciones clínicas.

La formulación oral del itraconazol en solución presenta una biodisponibilidad superior a la de las cápsulas, ya que esta última requiere de un ambiente gástrico ácido para su absorción óptima. Debido a las variaciones individuales en la absorción del medicamento, se recomienda realizar monitoreo terapéutico de niveles plasmáticos del fármaco para asegurar concentraciones adecuadas, lo cual es fundamental para evitar fallos terapéuticos o la aparición de resistencias. La duración del tratamiento con itraconazol varía dependiendo de la severidad del cuadro clínico, y puede ir desde algunas semanas hasta varios meses.

En casos de histoplasmosis diseminada grave o con compromiso meníngeo, se prefiere iniciar el tratamiento con anfotericina B liposomal en su forma intravenosa, a dosis de 3 miligramos por kilogramo de peso corporal al día. Esta fase de tratamiento intensivo suele mantenerse durante uno a dos semanas, o hasta que se logra la estabilización clínica del paciente, momento en el cual puede considerarse la transición a un régimen oral con itraconazol para completar la terapia antifúngica.

Los pacientes con histoplasmosis relacionada con el virus de la inmunodeficiencia humana, especialmente aquellos con enfermedad avanzada, requieren tratamiento supresivo a largo plazo con itraconazol a dosis de 200 miligramos diarios por vía oral, con el objetivo de prevenir recaídas. No obstante, la profilaxis secundaria puede suspenderse si se produce una recuperación inmunológica sostenida gracias a la terapia antirretroviral. Los criterios establecidos para discontinuar esta profilaxis incluyen haber completado al menos un año de tratamiento antifúngico exitoso, mantener un recuento de linfocitos CD4 superior a 150 células por microlitro, y haber recibido al menos seis meses de terapia antirretroviral eficaz.

En relación con la mediastinitis fibrosante, una complicación infrecuente pero clínicamente significativa, no existen pruebas concluyentes que demuestren un beneficio terapéutico claro con el uso de antifúngicos. Sin embargo, el itraconazol oral es frecuentemente utilizado de forma empírica, en parte debido a su perfil de seguridad y a su posible efecto modulador sobre la inflamación fúngica residual. Se ha propuesto que el tratamiento combinado con rituximab —un anticuerpo monoclonal dirigido contra células B— y corticosteroides podría ralentizar la progresión del proceso fibrótico, ofreciendo cierto beneficio clínico al reducir la inflamación mediada por el sistema inmunológico.

Por último, las intervenciones quirúrgicas o los procedimientos intravasculares no quirúrgicos, utilizados en el manejo de la mediastinitis fibrosante para aliviar la compresión de estructuras vasculares o respiratorias, han mostrado resultados alentadores en el corto plazo, aunque se requiere seguimiento prolongado para evaluar su eficacia a largo plazo.

 

 

Homo medicus

 


 

Guías de estudio. Homo medicus.
Guías de estudio. Homo medicus.

¡Gracias por visitarnos!

Fuente y lecturas recomendadas:
  1. Araúz AB et al. Histoplasmosis. Infect Dis Clin North Am. 2021;35:471. [PMID: 34016287]
  2. Barros N. Pulmonary histoplasmosis: a clinical update. J Fungi. 2023;9:236. [PMID: 36836350]
Síguenos en X: @el_homomedicus  y @enarm_intensivo  Síguenos en instagram: homomedicus  y en Treads.net como: Homomedicus  

🟥     🟪     🟨     🟧     🟩     🟦

Aprende administración paso a paso

Administración Desde Cero

ADMINISTRACION DESDE CERO

¿De cuánta utilidad te ha parecido este contenido?

¡Haz clic en una estrella para puntuarlo!

Promedio de puntuación 0 / 5. Recuento de votos: 0

Hasta ahora, ¡no hay votos!. Sé el primero en puntuar este contenido.

Ya que has encontrado útil este contenido...

¡Sígueme en los medios sociales!

Si te fue útil este resumen, compártelo por favor!