La próstata, al examinarla bajo el microscopio, revela una estructura compleja y organizada que contribuye a su función en el sistema reproductor masculino. El parénquima prostático, la porción funcional, se compone principalmente de glándulas túbuloalveolares dispuestas en acinos, formando unidades que convergen en los conductos prostáticos.
Glándula del sistema genital masculino
La próstata, la glándula sexual accesoría más grande del sistema genital masculino, adopta la forma y el tamaño comparables a los de una nuez. Situada en la pelvis, se ubica debajo de la vejiga, rodeando el segmento prostático de la uretra. Su posición estratégica le confiere un papel esencial en el proceso reproductivo masculino.
La función primordial de la próstata consiste en secretar un líquido claro y ligeramente alcalino, con un pH de 7,29. Este líquido prostático contribuye significativamente a la composición del semen. La glándula trabaja en colaboración con los espermatozoides producidos en los testículos y las secreciones de las vesículas seminales.
La relación física entre la próstata y la uretra es crucial, ya que la glándula rodea el segmento prostático de la uretra. Este diseño anatómico permite que el líquido prostático se mezcle con los espermatozoides y otras secreciones antes de ser expulsado durante la eyaculación a través de la uretra.
A lo largo de la vida de un hombre, la próstata experimenta cambios en su tamaño. Desde su condición más pequeña en la infancia, la glándula crece durante la adolescencia y mantiene dimensiones relativamente estables en la edad adulta, aunque puede experimentar aumentos relacionados con la edad en algunos casos.
Glándulas prostáticas
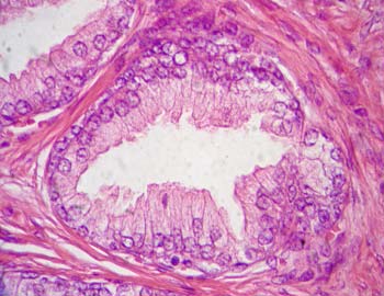
La próstata, una glándula esencial en el sistema genital masculino, exhibe una compleja organización estructural. Compuesta por 30 a 50 glándulas túbuloalveolares, estas están dispuestas en tres capas concéntricas que desempeñan roles específicos en la producción y secreción de fluidos prostáticos.
La capa mucosa interna, la más interna de las capas, alberga glándulas que secretan directamente hacia la uretra. Este aporte directo es crucial para la composición del semen. En la capa submucosa intermedia, situada entre la capa mucosa y la periférica, las glándulas contribuyen también al líquido prostático, pero sus conductos no desembocan directamente en la uretra.
La capa periférica, la más externa, alberga las glándulas prostáticas principales. Sus conductos se unen a los de la capa submucosa y ambos desembocan en los senos prostáticos. Estos senos se encuentran a cada lado de la cresta uretral en la pared posterior de la uretra, proporcionando un punto de convergencia para los fluidos prostáticos antes de su liberación.
Esta disposición estructural detallada permite una función coordinada y eficiente de la próstata en la producción y liberación de líquido prostático. La convergencia de los conductos en los senos prostáticos asegura una mezcla adecuada con los espermatozoides y otras secreciones antes de su expulsión durante la eyaculación.

Parénquima prostático
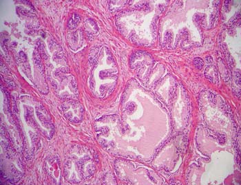
El parénquima prostático en el individuo adulto se encuentra dividido en cuatro zonas anatómica y clínicamente distintas, cada una caracterizada por propiedades específicas que determinan su función y susceptibilidad a ciertos procesos patológicos.
La Zona Central, que rodea los conductos eyaculadores a medida que atraviesan la próstata, constituye alrededor del 25% del tejido glandular prostático. Esta zona exhibe una notable resistencia tanto a carcinomas como a inflamaciones, destacándose por las características morfológicas distintivas de sus células, que incluyen citoplasma apenas basófilo y núcleos más grandes desplazados a diferentes alturas en células contiguas. Investigaciones recientes sugieren que la zona central se origina embriológicamente en la inclusión de células del conducto mesonéfrico durante el desarrollo prostático.
La Zona Periférica, que rodea la zona central y ocupa la parte posterior y las porciones laterales de la glándula, constituye el 70% del tejido glandular prostático. Esta zona es crucial en el contexto clínico, ya que la mayoría de los carcinomas prostáticos tienen su origen en ella. La palpabilidad de esta zona en el tacto rectal la convierte en un punto de interés diagnóstico. Sin embargo, también es la zona más susceptible a la inflamación, lo que puede tener implicaciones en la salud prostática.
La Zona Transicional, que rodea la uretra prostática, representa el 5% del tejido glandular prostático y contiene glándulas mucosas. En individuos mayores, las células parenquimatosas de esta zona experimentan con frecuencia una proliferación extensa, dando lugar a la formación de masas nodulares de células epiteliales. La proximidad de esta zona a la uretra prostática puede provocar compresión y dificultad miccional.
La Zona Periuretral alberga glándulas mucosas y submucosas, y en etapas avanzadas de la Hiperplasia Prostática Benigna (BPH), esta zona puede experimentar una proliferación patológica, especialmente en los componentes de la estroma. Junto con los nódulos glandulares de la zona transicional, esta proliferación contribuye a un aumento de la compresión uretral y a una retención mayor de orina en la vejiga.
Adicionalmente, en la superficie anterior de la próstata, por delante de la uretra, se encuentra una estroma fibromuscular compuesta por tejido conjuntivo denso irregular con una abundancia notable de fibras musculares lisas. Esta estructura desempeña un papel crucial en la integridad y función prostáticas. La comprensión detallada de estas zonas anatómicas es esencial para una evaluación completa de la salud prostática y la gestión de condiciones clínicas asociadas.


