Concepto
La hemorragia subaracnoidea aneurismática es una emergencia neurológica aguda, que es causada por la ruptura de un vaso con sangrado hacia el espacio subaracnoideo.
Factores de riesgo
Factores de riesgo para hemorragia subaracnoidea:
👉género femenino
👉etnicidad no caucásica
👉hipertensión
👉alto consumo de alcohol
👉aneurismas en la circulación posterior
👉aneurismas grandes
Etiología
El traumatismo es la causa más habitual de hemorragia subaracnoidea.
La hemorragia subaracnoidea espontánea o no traumática por lo regular se presenta luego de una rotura de un aneurisma arterial sacular o una malformación arteriovenosa en el 85% de los casos.
La complicación más grave de los aneurismas intracraneales es la hemorragia subaracnoidea.
Los aneurismas micóticos causados por émbolos sépticos pueden ser causa de hemorragia subaracnoidea.
Las disecciones de los vasos intracraneales pueden causar una hemorragia subaracnoidea debido a que la adventicia de los vasos intracraneales es delgada y facilita la formación de pseudoaneurismas.
Cerca del 50% de las hemorragias intracraneales por cocaína son de ubicación intracerebral y el resto son hemorragias subaracnoideas.
Las fístulas arteriovenosas durales son conexiones adquiridas que se establecen entre una arteria dural y un seno dural en las cuales las presiones venosas se elevan provocando hipertensión venosa y hemorragia subaracnoidea.
Las cefaleas que se desarrollan al momento del orgasmo pueden deberse a en 5 a 12% de los casos, a una hemorragia subaracnoidea desencadenada por actividad sexual.
La extensión hacia el espacio subaracnoideo a partir de una hemorragia intracerebral primaria es causa de hemorragia subaracnoidea.
El síndrome de Marfan y las enfermedades de la colágena relacionadas predisponen a la disección de las arterias intracraneales y hemorragia subaracnoidea aneurismática.
El riñón poliquístico esta relacionado con la presencia de hemorragia subaracnoidea.
La hemorragia subaracnoidea puede ser complicación de una meningitis neumocócica.
Fisiopatología
El 80-90% de todos los aneurismas cerebrales se localizan en la circulación anterior del cerebro (la arteria carótida interna, las arterias cerebrales anterior y media y sus ramas) y solo el 10-20% en la circulación posterior (vertebral, basilar, y arterias cerebrales posteriores y sus ramas). Los mecanismos que conducen a la rotura del aneurisma se conocen solo en parte. Inmediatamente después de que un aneurisma se rompe y la sangre se extravasa hacia el espacio subaracnoideo, la presión intracraneal aumenta precipitadamente.
La hemorragia subaracnoidea aguda altera no solo la perfusión y la función del sistema nervioso central, sino también muchos otros sistemas orgánicos.
Manifestaciones clínicas
La hemorragia subaracnoidea inicia con cefalea súbita de alta intensidad. Cerca de 20 a 50% de los enfermos puede tener “cefaleas de advertencia” que preceden al episodio de hemorragia subaracnoidea por rotura de un aneurisma intracraneal.
La hemorragia subaracnoidea puede haber náusea y vómito que acompañan a la cefalea.
En la hemorragia subaracnoidea la alteración o pérdida del estado de conciencia, la cual es de forma transitoria o puede progresar de modo inexorable al coma profundo y la muerte.
Los aneurismas causan un déficit neurológico focalizado al comprimir estructuras adyacentes. La mayoría es asintomático o produce síntomas inespecíficos hasta su ruptura y aparición de hemorragia subaracnoidea.
La valoración neurológica en pacientes con hemorragia subaracnoidea casi siempre revela rigidez de nuca y otros signos de irritación meníngea.
Los enfermos comatosos con hemorragia subaracnoidea pueden presentar escasos signos neurológicos focales y los datos clínicos de irritación meníngea son muy sutiles.
La hemiplejía u otras deficiencias focales ocurren luego de un sangrado de un aneurisma.
Aproximadamente el 10% de los pacientes tienen hemorragias intraoculares. Se trata de pequeñas hemorragias subhialoideas prerretinianas lineales cerca del disco óptico.
| Calificación | Características clínicas |
| 0 | No roto |
| I | Dolor de cabeza leve y rigidez de nuca, sin déficit neurológico |
| Il | Dolor de cabeza moderado y rigidez de nuca, sin déficit neurológico excepto posiblemente una parálisis de pares craneales |
| III | Somnolencia, posible déficit neurológico focal leve |
| IV | Estupor, hemiparesia (leve a grave) |
| V | Coma |
Exámenes complementarios
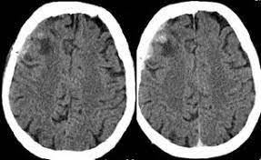
El método diagnóstico de elección para demostrar la presencia de sangre en el espacio subaracnoideo es la tomografía computarizada de la cabeza sin medio de contraste intravenoso. La tomografía (con angiografía) computarizada se utiliza para confirmar una hemorragia subaracnoidea y buscar su origen. Es más rápida y sensible que la resonancia magnética para reconocer la hemorragia en las primeras 24 horas. La tomografía computarizada revela sangre en las cisternas basales en las primeras 12 horas con aproximadamente un 95% de sensibilidad y especificidad.
Si la tomografía es normal pero hay sospecha clínica de hemorragia subaracnoidea debe analizarse el líquido cefalorraquídeo en busca de sangre o color xantocrómico, antes de descartar el diagnóstico.
La xantocromía del líquido cefalorraquídeo en las hemorragias subaracnoideas se debe a que pasadas seis a 12 horas la lisis de los eritrocitos y la consiguiente conversión de la hemoglobina en bilirrubina tiñe el LCR de color amarillo.
La arteriografía cerebral es útil para determinar el origen de la hemorragia subaracnoidea.
El espasmo vascular se detecta por medio de Doppler transcraneal o angiografía cerebral.
Los pacientes con hemorragia subaracnoidea se puede observar signos isquémicos como elevación del segmento ST, un intervalo QT muy prolongado acompañado en ocasiones de inversión profunda de la onda T , así como arritmias en el electrocardiograma. Más del 90% de todos los pacientes tienen anomalías en el ECG, y estas pueden ser muy difíciles de distinguir de las de un infarto agudo de miocardio.
Diagnóstico diferencial
La hemorragia subaracnoidea puede simular una meningitis bacteriana.
Tratamiento
El tratamiento definitivo de la hemorragia subaracnoidea debe practicarse dentro de los siguientes dos días ulteriores al inicio.
👉colocación de un clip quirúrgico en la base del aneurisma.
👉aplicación de un tratamiento endovascular.
La obliteración endovascular por medio de espirales de platino (enrollamiento) es el modo de tratamiento preferido, pero algunos pacientes requieren un abordaje neuroquirúrgico directo (clipaje).
Tratamiento médico y de soporte en pacientes con hemorragia subaracnoidea:
👉proteger las vías respiratorias
👉normalizar la presión arterial antes y después de corregir el aneurisma
👉evitar una hemorragia nueva
👉eliminar el vasoespasmo
👉tratar la hidrocefalia
👉combatir la hiponatremia
Los glucocorticoides son útiles para reducir la cefalea y el dolor de cuello consecutivos a la irritación que provoca la sangre en el espacio subaracnoideo.
El espasmo vascular cerebral se trata con la nimodipina, un antagonista de los conductos del calcio, por medio de la administración intensiva de soluciones intravenosas y con medidas orientadas a incrementar la presión arterial.
El control de la presión arterial es particularmente importante: deben evitarse la presión arterial alta y los aumentos rápidos de la presión arterial. Se recomienda mantener la presión arterial sistólica por debajo de 140 mmHg.
Los fármacos adecuados para el control de la presión arterial incluyen urapidil, clonidina y antagonistas del calcio. No se recomienda el nitroprusiato de sodio, ya que puede elevar la presión intracraneal.
Complicaciones
El vasoespasmo es causa principal de complicaciones y muerte después de una hemorragia subaracnoidea aneurismática.
Entre 5 y 10% de las apoplejías se debe a hemorragia subaracnoidea. Otra complicación es la isquemia cerebral tardía.
La hidrocefalia aguda surge en ocasiones como complicación de hemorragia subaracnoidea cuando se ocluye o altera el flujo de salida del líquido cefalorraquídeo, por acción de la sangre.
La hidrocefalia aguda secundaria a hemorragia subaracnoidea origina estupor o coma; algunas veces desaparece de manera espontánea, pero otras es necesario realizar un drenaje ventricular temporal.
Puede aparecer hipopituitarismo como complicación tardía de la hemorragia subaracnoidea.
Una complicación de la hemorragia subaracnoidea es la pérdida renal de sal que puede presentarse dentro de los primeros días de la hospitalización. La hiponatremia y el edema cerebral exacerban la hipertensión intracraneal.
La hemorragia subaracnoidea es un trastorno que puede producir cicatrización meníngea.
La hemorragia subaracnoidea puede ser causa de una tormenta tiroidea.
La secreción elevada de catecolaminas después de una hemorragia subaracnoidea aguda puede provocar necrosis miocárdica y disfunción miocárdica. El estrés cardíaco resultante puede conducir a hipotensión que, a su vez, agrava la hipoperfusión cerebral ya existente.
Pronóstico
La letalidad después de una hemorragia aneurismática es del 50%. Los supervivientes suelen tener deficiencias cognitivas, que a su vez afectan la funcionalidad diaria, la capacidad de trabajo y la calidad de vida de los pacientes. Además, esos déficits suelen ir acompañados de trastornos del estado de ánimo, fatiga y alteraciones del sueño.
Solo alrededor del 30% de los pacientes se recuperan lo suficiente como para volver a la vida independiente.
La ruptura del aneurisma y las segundas hemorragias se asocian con una mortalidad de 70 a 90%.


