Fibrosis pulmonar por radiación
Fibrosis pulmonar por radiación

Fibrosis pulmonar por radiación

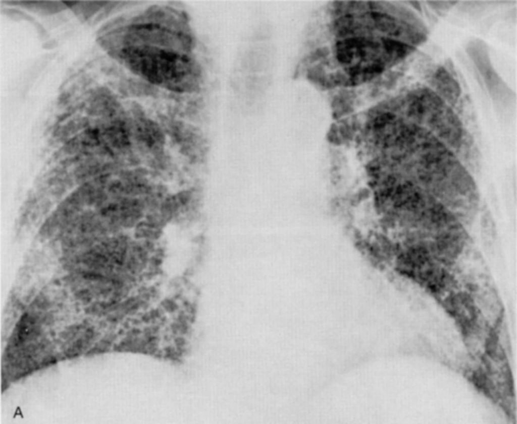
La fibrosis por radiación pulmonar es una complicación que puede surgir tras la administración de radioterapia para tratar cánceres en regiones torácicas, como el cáncer de pulmón o de mama. Esta condición se caracteriza por la formación de tejido cicatricial en los pulmones debido a la exposición a radiación ionizante, que induce un proceso inflamatorio y fibrosante en el tejido pulmonar. Es importante destacar que la radiofibrosis puede ocurrir tanto en ausencia como en presencia de neumonía por radiación previa.

Los hallazgos radiográficos asociados con la fibrosis por radiación pulmonar son distintivos y permiten su identificación. Estos incluyen la obliteración de las marcas pulmonares normales, que se manifiesta como una pérdida de la definición habitual de las estructuras pulmonares en las imágenes. Además, se observa fibrosis intersticial y pleural densa, la cual se traduce en un engrosamiento del tejido intersticial y la pleura, respectivamente. Los volúmenes pulmonares pueden reducirse debido a la pérdida de elasticidad y expansión del tejido pulmonar afectado. También puede observarse una elevación del diafragma, ya que el tejido fibrosado tira de las estructuras circundantes, y una delineación nítida del área irradiada, que resalta el límite entre el tejido sano y el tejido dañado.

Un aspecto relevante de la fibrosis por radiación pulmonar es su aparición no inmediata, sino que puede desarrollarse tras un período intermedio de 6 a 12 meses de aparente bienestar en pacientes que han sufrido neumonía por radiación. Esta secuencia temporal sugiere que la fibrosis pulmonar es una manifestación tardía de la respuesta inflamatoria crónica inducida por la radioterapia. En la mayoría de los pacientes que han recibido un curso completo de radioterapia, la fibrosis pulmonar se desarrolla como una secuela de la exposición a dosis acumulativas de radiación.

Aunque la fibrosis por radiación es una complicación bien reconocida, el manejo terapéutico específico de esta condición ha sido limitado. Hasta la fecha, ninguna terapia ha demostrado ser significativamente efectiva en la prevención o tratamiento de la fibrosis pulmonar post-radiación. Los corticosteroides, que a menudo se utilizan en otras formas de fibrosis pulmonar, no han mostrado un valor clínico en este contexto particular. A pesar de la falta de tratamientos eficaces, es relevante señalar que la mayoría de los pacientes con fibrosis pulmonar por radiación son asintomáticos. Sin embargo, en algunos casos, puede ocurrir una disnea progresiva de aparición lenta, que puede afectar la calidad de vida del paciente y requiere manejo sintomático y soporte respiratorio.

 

 

 

Homo medicus

 


 

Guías de estudio. Homo medicus.
Guías de estudio. Homo medicus.

¡Gracias por visitarnos!

 

Fuente y lecturas recomendadas:
  1. Giuranno L et al. Radiation-induced lung injury (RILI). Front Oncol. 2019;9:877. [PMID: 31555602]
Síguenos en X: @el_homomedicus  y @enarm_intensivo  Síguenos en instagram: homomedicus  y en Treads.net como: Homomedicus  

🟥     🟪     🟨     🟧     🟩     🟦

Aprende administración paso a paso

Administración Desde Cero

ADMINISTRACION DESDE CERO

¿De cuánta utilidad te ha parecido este contenido?

¡Haz clic en una estrella para puntuarlo!

Promedio de puntuación 0 / 5. Recuento de votos: 0

Hasta ahora, ¡no hay votos!. Sé el primero en puntuar este contenido.

Ya que has encontrado útil este contenido...

¡Sígueme en los medios sociales!

Si te fue útil este resumen, compártelo por favor!