La enfermedad de Crohn es una enfermedad inflamatoria intestinal crónica que afecta principalmente al tracto digestivo, pero que puede involucrar cualquier parte del mismo, desde la boca hasta el ano. Es una condición de origen autoinmune que causa inflamación y daño en las paredes del tracto gastrointestinal, lo que puede llevar a la aparición de diversos síntomas y complicaciones.
El diagnóstico de la enfermedad de Crohn se basa en una combinación de criterios clínicos, pruebas de laboratorio, y estudios de imagen. Entre los principales métodos diagnósticos se incluyen:
- Exámenes de laboratorio: El hemograma, la proteína C reactiva (CRP), la calprotectina fecal y otros marcadores inflamatorios pueden ayudar a identificar la presencia de inflamación activa y monitorizar la respuesta al tratamiento.
- Endoscopia: La colonoscopia y la ileoscopia son esenciales para visualizar las áreas afectadas del intestino. Los hallazgos típicos incluyen úlceras profundas, fisuras, estenosis (estrechamientos) y áreas de inflamación.
- Biopsia: Durante la endoscopia, se pueden tomar muestras del tejido intestinal para analizar la presencia de características histológicas típicas de la enfermedad, como la inflamación transmural y granulomas (grupos de células inflamatorias).
- Pruebas de imagen: Técnicas como la tomografía computarizada (CT), resonancia magnética (RM) o enterografía por RM o CT pueden proporcionar imágenes detalladas del tracto gastrointestinal, permitiendo identificar complicaciones como abscesos, fistulas, estenosis y perforaciones.
Exámenes de laboratorio
Los hallazgos de laboratorio en pacientes con enfermedades inflamatorias intestinales o afecciones asociadas pueden proporcionar información crucial sobre la actividad inflamatoria y las complicaciones nutricionales derivadas de la enfermedad. Estas pruebas de laboratorio no solo ayudan a diagnosticar y monitorear la evolución de la enfermedad, sino que también permiten identificar posibles complicaciones secundarias, como la anemia o los trastornos de la nutrición. A continuación se expone un análisis detallado de algunos de los valores de laboratorio más relevantes y sus implicaciones clínicas.
Se recomienda obtener un hemograma completo y los niveles de albúmina sérica en todos los pacientes, ya que estos valores pueden ofrecer información significativa sobre la salud general del paciente y sobre el grado de inflamación o deficiencia nutricional. Un hemograma completo permite evaluar varios parámetros importantes, entre ellos los leucocitos, los eritrocitos y las plaquetas, lo que ayuda a identificar condiciones como la anemia, la leucocitosis (aumento de glóbulos blancos) o la trombocitosis.
La anemia es un hallazgo común en muchos trastornos inflamatorios crónicos, y su origen puede ser multifactorial. En el contexto de una enfermedad inflamatoria intestinal, por ejemplo, la anemia puede ser el resultado de la inflamación crónica que interfiere con la producción de glóbulos rojos o de pérdidas sanguíneas mucosas, como puede ocurrir en úlceras intestinales. Otra posible causa es la deficiencia de hierro, que puede ser secundaria a una absorción deficiente de este mineral debido a la inflamación del intestino. Además, la malabsorción de vitamina B12, particularmente en presencia de inflamación o resección del íleon terminal, puede ser otra causa de anemia, ya que este segmento del intestino es crucial para la absorción de esta vitamina.
La leucocitosis, que se refiere al aumento del número de leucocitos en sangre, puede ser un signo de actividad inflamatoria o de la formación de abscesos, que son complicaciones frecuentes en procesos inflamatorios crónicos. Además, el tratamiento con corticosteroides, comúnmente utilizado en el manejo de enfermedades inflamatorias intestinales, puede inducir leucocitosis, lo que hace necesario considerar la historia clínica y el tratamiento del paciente al interpretar este hallazgo.
La albúmina sérica es otro marcador importante en el manejo de estas enfermedades. La hipoalbuminemia (niveles bajos de albúmina en sangre) puede ser consecuencia de diversas condiciones, incluyendo la pérdida de proteínas en el intestino debido a la inflamación crónica o a un proceso de malabsorción. Además, la sobrepoblación bacteriana en el intestino, como la causada por la disbiosis intestinal, también puede contribuir a la hipoalbuminemia, ya que las bacterias patógenas pueden interferir con la absorción de nutrientes y aumentar la permeabilidad intestinal.
Otro marcador útil en la evaluación de la actividad inflamatoria es la proteína C reactiva (CRP). En muchos pacientes con inflamación activa, los niveles de CRP se elevan por encima de los 5 mg/L, lo que refleja la presencia de una respuesta inflamatoria sistémica. Sin embargo, es importante señalar que alrededor del 15% de los pacientes con enfermedades inflamatorias intestinales pueden presentar niveles normales de CRP, lo que implica que este marcador no siempre es indicativo de inflamación activa en todos los casos.
El calprotectina fecal es una prueba no invasiva excelente para la evaluación de la inflamación intestinal. Este marcador se encuentra en los neutrófilos y es liberado durante las respuestas inflamatorias en el tracto gastrointestinal. Niveles elevados de calprotectina fecal, superiores a 150 mcg/g, están fuertemente correlacionados con la presencia de inflamación activa, lo que se puede confirmar mediante técnicas de imagen como la enterografía por tomografía computarizada (CT) o por resonancia magnética (MR), o mediante la ileocolonoscopia. La ventaja de la calprotectina fecal radica en su capacidad para detectar inflamación de manera no invasiva, facilitando el monitoreo de la actividad de la enfermedad y la respuesta al tratamiento.
Además de estos marcadores inflamatorios, se deben realizar exámenes de las muestras de heces para detectar patógenos rutinarios y toxinas de Clostridium difficile. Esto se realiza mediante microscopía, cultivo o pruebas de toxinas, así como mediante técnicas más avanzadas como la PCR multiplex rápida, que permite detectar varios patógenos y toxinas de manera simultánea y con alta sensibilidad. La identificación de infecciones intestinales es crucial, ya que las infecciones agudas pueden complicar o exacerbar las enfermedades inflamatorias crónicas, como la colitis ulcerosa o la enfermedad de Crohn.
Evaluación endoscópica
La colonoscopia se realiza generalmente como el primer paso para evaluar el colon y el íleon terminal, que son las áreas más comúnmente afectadas por la enfermedad de Crohn. Durante la colonoscopia, se observa directamente la mucosa intestinal, lo que permite identificar lesiones típicas de la enfermedad. Los hallazgos endoscópicos característicos incluyen úlceras aftoides (úlceras superficiales similares a llagas), úlceras lineales o estelares (de forma irregular, profundas y alargadas), estenosis (estrechamientos del intestino) y afectación segmentaria (áreas de inflamación alternadas con segmentos de mucosa aparentemente normal). Esta distribución segmentaria de la inflamación es una característica distintiva de la enfermedad de Crohn, a diferencia de la colitis ulcerosa, que generalmente afecta de manera continua y extensa al colon.
El hallazgo de úlceras profundas o grandes en la mucosa, especialmente aquellas que afectan a capas más profundas de la pared intestinal, indica un mayor riesgo de progresión de la enfermedad. Estas úlceras son indicativas de una inflamación transmural, que puede dar lugar a complicaciones graves como fístulas, abscesos o perforaciones, todas comunes en la enfermedad de Crohn. Por otro lado, la identificación de granulomas en las biopsias obtenidas durante la colonoscopia, aunque no se presentan en todos los pacientes, es altamente sugestiva de la enfermedad de Crohn, ya que estos son un hallazgo característico de la enfermedad, aunque su presencia no es exclusiva ni obligatoria. Aproximadamente menos del 25% de los pacientes muestran granulomas en la biopsia, lo que puede hacer que el diagnóstico sea más difícil en algunos casos.
Estudios radiográficos y de imágenes
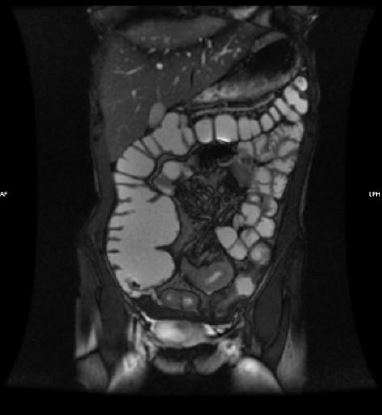
Además de la colonoscopia, los estudios de imágenes desempeñan un papel crucial en la evaluación de la enfermedad de Crohn, especialmente cuando se sospecha que el intestino delgado está involucrado, una situación que es común debido a la afectación frecuente del íleon terminal. En estos casos, las imágenes obtenidas mediante tomografía computarizada (CT) o resonancia magnética (RM) de enterografía son herramientas útiles para obtener una visión más detallada de la enfermedad. Las características radiográficas sugerentes de la enfermedad de Crohn incluyen úlceras, estenosis(estrechamientos del intestino), fístulas (conexiones anormales entre diferentes partes del intestino o entre el intestino y otros órganos) y la presencia de engrosamiento de la pared intestinal, que puede ser un indicio de inflamación crónica y fibrosis. Además, los estudios por imágenes pueden mostrar aumento de la vascularización de las paredes intestinales, un signo de inflamación activa, mejoría mucosal (aumento en la absorción de contraste debido a la inflamación) y estriación grasa o fat stranding (la presencia de grasa en la zona adyacente al intestino inflamado, lo que sugiere la infiltración de tejido adiposo por inflamación).
La enterografía por resonancia magnética (RM) es especialmente útil en estos casos porque no utiliza radiación, lo que la convierte en una opción preferible, especialmente en pacientes que requieren múltiples estudios de seguimiento. Además, la resonancia magnética ofrece una resolución detallada de las estructuras blandas y es particularmente efectiva para evaluar el engrosamiento de la pared intestinal y la presencia de fístulas o abscesos, que son comunes en la enfermedad de Crohn.
Imágenes por cápsula
Otra herramienta diagnóstica importante en los pacientes con sospecha de afectación del intestino delgado es la cápsula endoscópica. Este método no invasivo consiste en la ingestión de una cápsula que contiene una pequeña cámara que toma imágenes mientras viaja a través del tracto gastrointestinal. La cápsula endoscópica es útil cuando la sospecha clínica de enfermedad de Crohn en el intestino delgado es alta, pero los estudios radiológicos convencionales no han mostrado hallazgos claros o han sido no diagnósticos. La cápsula permite una visualización directa de todo el intestino delgado, ayudando a identificar úlceras, sangrados y otras lesiones características de la enfermedad de Crohn. Sin embargo, la cápsula endoscópica debe usarse con precaución en pacientes con estenosis, ya que existe el riesgo de que la cápsula quede atrapada en un área estrecha, lo que podría provocar complicaciones adicionales.
Dificultades diagnósticas
En un pequeño porcentaje de pacientes, aproximadamente el 10%, puede ser difícil diferenciar la enfermedad de Crohn de la colitis ulcerosa, especialmente cuando la afectación se limita al colon. Ambas enfermedades pertenecen al grupo de las enfermedades inflamatorias intestinales y comparten varios síntomas y hallazgos clínicos, lo que puede hacer que el diagnóstico inicial sea complicado. Sin embargo, la distribución segmentaria de la inflamación, la presencia de úlceras profundas y granulomas en las biopsias, junto con los hallazgos radiológicos de afectación transmural y estenosis, ayudan a diferenciar la enfermedad de Crohn de la colitis ulcerosa, que generalmente se limita a la mucosa superficial y tiene una distribución continua en el colon.

Fuente y lecturas recomendadas:
- Barberio B et al. Efficacy of biological therapies and small molecules in induction and maintenance of remission in luminal Crohn’s disease: systematic review and network meta-analysis. Gut. 2023;72:264. [PMID: 35907636]
- D’Haens G et al. Risankizumab as induction therapy for Crohn’s disease: results from the phase 3 ADVANCE and MOTIVATE induction trials. Lancet. 2022;399:2015. [PMID: 35644154]
- Ferrante M et al. Risankizumab as maintenance therapy for moderately to severely active Crohn’s disease: results from the multicentre, randomised, double-blind, placebo-controlled, withdrawal phase 3 FORTIFY maintenance trial. Lancet. 2022;399:2031. [PMID: 35644155]
- Loftus EV et al. Upadacitinib induction and maintenance therapy for Crohn’s disease. N Engl J Med. 2023;388:1966. [PMID: 37224198]
- Parian A et al. Management of perianal Crohn’s disease. Am J Gastroenterol. 2023;118:1323. [PMID: 37207318]

