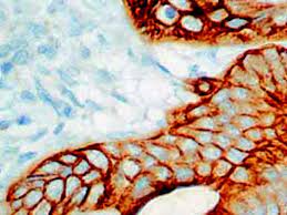
Las citoqueratinas son un tipo de filamentos intermedios que se encuentran principalmente en las células epiteliales. Son proteínas estructurales que desempeñan un papel fundamental en la formación y mantenimiento de la integridad y resistencia mecánica de los tejidos epiteliales.
Las células epiteliales revisten las superficies internas y externas del cuerpo y forman capas protectoras en órganos y tejidos como la piel, los pulmones, el revestimiento del tracto digestivo y muchos otros. Estas células están sometidas a fuerzas mecánicas, como estiramiento y compresión, y necesitan un citoesqueleto resistente para mantener su forma y función adecuadas.
La expresión de citoqueratinas en las células epiteliales es esencial para proporcionar resistencia y estabilidad mecánica a estos tejidos. Las citoqueratinas forman una red tridimensional en el citoplasma de las células, que se extiende desde la membrana plasmática hasta el núcleo. Esta red de filamentos intermedios de citoqueratina proporciona soporte estructural y ayuda a mantener la integridad de las células y los tejidos epiteliales.
Existen al menos 30 tipos diferentes de citoqueratinas, que se expresan en líneas celulares diferentes y en diferentes etapas del desarrollo y la diferenciación celular. Las diferentes citoqueratinas están codificadas por genes diferentes y muestran una distribución específica en los tejidos epiteliales. Algunas citoqueratinas son expresadas de manera generalizada en diferentes tipos de células epiteliales, mientras que otras son específicas de ciertos tejidos o células especializadas.
La expresión específica de citoqueratinas en diferentes células epiteliales está relacionada con su función y ubicación en el organismo. Por ejemplo, las citoqueratinas 8 y 18 se encuentran en células epiteliales glandulares, mientras que las citoqueratinas 5 y 14 están presentes en células epiteliales de la piel y otros tejidos queratinizados. Estas variaciones en la expresión de citoqueratinas contribuyen a las propiedades mecánicas y funcionales distintivas de los diferentes tipos de células epiteliales.
Además de su función estructural, las citoqueratinas también están involucradas en la regulación de la señalización celular, la apoptosis y la respuesta al estrés. Estas proteínas pueden interactuar con otras proteínas y componentes celulares para modular diversos procesos celulares.

Síguenos en X: @el_homomedicus y @enarm_intensivo Síguenos en instagram: homomedicus y en Treads.net como: Homomedicus

