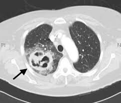
El absceso pulmonar es un estado de necrosis pulmonar secundaria a una infección y representa una lesión cavitada consecutiva a una destrucción parenquimatosa con supuración localizada; la necrosis central tiende a licuarse en el tejido pulmonar y ello establece una comunicación con el árbol bronquial.
Causas
El absceso pulmonar es casi siempre resultado de múltiples causas, entre ellas y con más frecuencia la aspiración de cargas bacterianas contenidas en secreciones procedentes de la vía oral, aspiración de cuerpos extraños, trastornos obstructivos por procesos neoplásicos, infartos sépticos, contusión pulmonar por traumatismo, parasitosis y neumonías necrosantes bacterianas.
- Aspiración: debido a que la aspiración de la vía aérea ocurre con más frecuencia en la posición supina, los abscesos por esta causa se presentan más veces en los segmentos inferiores y posteriores, como en el segmento apical y posterior del lóbulo superior derecho, seguido del segmento superior de los lóbulos inferiores y, menos a menudo, en el resto de los segmentos de los lóbulos inferiores.
- Aparece con más frecuencia ante pérdida de la conciencia, alcoholismo, enfermedad por reflujo gastroesofágico, así como otros síndromes de disfagia (estenosis, divertículos de Zenker), pobre higiene dental y enfermedad gingival; en estos pacientes es común un elevado número de colonias en las fisuras gingivales.
- Los gérmenes más identificados son anaerobios, pero la infección es por lo general polimicrobiana.
- Obstrucción bronquial: las neoplasias, los cuerpos extraños y la compresión extrínseca de la vía aérea producen una infección distal, con formación de abscesos.
- Neumonía necrosante; el absceso pulmonar ocurre con más frecuencia en pacientes con cualquier problema de inmunosupresión, incluidos diabetes mellitus mal controlada, alcoholismo crónico y estados en los que la pérdida de conciencia es habitual, como en el
estado epiléptico.- Los patógenos más cultivados son Staphylococcus, Streptococcus, Klebsiella, gramnegativos, Legionella y Actinomyces.
- Infección secundaria de cavitación preexistente: en un grupo de pacientes con enfermedad pulmonar preexistente, en quienes hay daño parenquimatoso, existen trastornos que puede facilitar la colonización:
- enfisema pulmonar
- infartos pulmonares en resolución
- neoplasias cavitadas
- secuelas de tuberculosis
- bronquiectasias
- Émbolos sépticos: por lo regular son multifocales, bilaterales y con múltiples gérmenes. Muchas veces se relacionan con la toxicomanía por el uso de jeringas infectadas.

Fuente:
- Brunicardi C.F. Schwartz. Principios de cirugía. 11 ed. McGraw Hill. 2020

