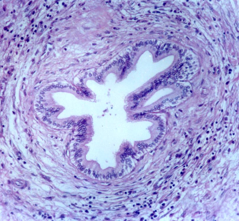
El árbol biliar es el sistema tridimensional de conductos de diámetro creciente por el que atraviesa la bilis desde los hepatocitos hacia la vesícula biliar y desde allí hasta el intestino.
En el hígado de un ser humano adulto, existen más de 2 km de conductos y conductillos biliares interconectados de diferentes tamaños y formas. Estas estructuras no son sólo conductos pasivos, sino que también son capaces de modificar el flujo biliar y cambiar su composición como respuesta a la estimulación hormonal y nerviosa.
El árbol biliar tiene un revestimiento de colangiocitos, que vigilan el flujo biliar y regulan su contenido. Los colangiocitos son células epiteliales que forman el revestimiento interno del árbol biliar.
Cuando se examinan con el microscopio electrónico de transmisión, los colangiocitos se identifican por su citoplasma con orgánulos escasos, las uniones herméticas que hay entre las células contiguas y la presencia de una lámina basal completa.
La región apical de los colangiocitos tiene un aspecto semejante a la región apical de los hepatocitos por las microvellosidades que se proyectan en la luz. Cada colangiocito contiene cilios primarios que detectan los cambios en el flujo biliar que producen alteraciones en su secreción.
Los pequeños conductillos biliares tienen un revestimiento de colangiocitos pequeños, sobre de forma cúbica, pero a medida que el diámetro del conducto biliar aumenta, los colangiocitos se tornan cada vez más grandes y adquieren una forma más cilíndrica.
El canalículo biliar es un conducto pequeño formado por surcos yuxtapuestos en la superficie de los hepatocitos contiguos. Las ramas más pequeñas del árbol biliar son canalículos biliares hacia los cuales los hepatocitos secretan la bilis.
Los canalículos biliares forman un anillo completo alrededor de las cuatro caras de los hepatocitos que tienen forma hexaédrica. Tienen un diámetro luminal aproximado de 0.5 mm y están aislados del resto del compartimento intercelular por uniones herméticas, que son parte de los complejos de unión que también comprenden zonulae adherentes y desmosomas.
Las microvellosidades de dos hepatocitos contiguos se extienden hacia la luz canalicular. En las membranas plasmáticas de los canalículos se detecta adenosina trifosfatasa (ATPasa) y otras fosfatasas alcalinas, lo cual indica que la secreción biliar hacia este espacio es un proceso activo.
El flujo biliar es centrífugo, es decir, desde la región de la vénula hepática terminal (vena central) hacia el espacio portal (en sentido opuesto al flujo sanguíneo). Cerca del espacio portal, pero aún dentro del lobulillo, los canalículos biliares se transforman en conductos de Hering de trayecto corto.
Una característica distintiva del conducto de Hering es su revestimiento formado por dos tipos de células: hepatocitos y colangiocitos.
El conducto de Hering está revestido en parte por hepatocitos y en parte por colangiocitos de forma cúbica. Al igual que otros colangiocitos, los hepatocitos poseen microvellosidades en su superficie apical y uniones herméticas y su dominio basal se localiza sobre una lámina basal, como el resto del epitelio biliar distal.


