La bronquiectasia es una condición médica que se caracteriza por la dilatación anormal y la destrucción permanente de las paredes bronquiales, afectando principalmente a los grandes bronquios. Esta dilatación conlleva a la acumulación de secreciones en las áreas afectadas, lo cual favorece la colonización bacteriana y perpetúa el ciclo inflamatorio-infeccioso. Esta condición puede presentarse de manera congénita o adquirida, dependiendo de la causa subyacente.
En los casos congénitos, la bronquiectasia puede estar asociada a anomalías en el desarrollo estructural de los bronquios desde el período prenatal. Estas anomalías pueden incluir malformaciones o defectos en el cartílago y el tejido conectivo que componen las paredes bronquiales, predisponiendo a la dilatación y a la obstrucción crónica de las vías aéreas.
Por otro lado, la bronquiectasia adquirida puede desarrollarse como resultado de daños a los tejidos bronquiales debido a inflamaciones o infecciones repetidas de las vías respiratorias. Infecciones bacterianas o virales severas, como la tuberculosis mal tratada o infecciones por micobacterias no tuberculosas, neumonías recurrentes, bronquitis crónica, o infecciones fúngicas pueden desencadenar y perpetuar el proceso inflamatorio destructivo en los bronquios. Además, la presencia de cuerpos extraños aspirados, obstrucciones por tumores u otras causas mecánicas pueden también contribuir al desarrollo de bronquiectasias localizadas.
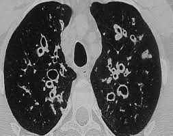
La distribución de la bronquiectasia puede ser variable, pudiendo afectar un solo lóbulo o segmento pulmonar (bronquiectasia localizada) o múltiples lóbulos de un pulmón o incluso ambos pulmones (bronquiectasia difusa). La forma difusa suele estar asociada con enfermedades sistémicas como la fibrosis quística, discinesia ciliar primaria o inmunodeficiencias.
La fibrosis quística causa aproximadamente la mitad de todos los casos de bronquiectasia. Es una enfermedad genética autosómica recesiva causada por mutaciones en el gen CFTR, que codifica para una proteína transportadora de cloro en las células epiteliales. Esta condición afecta múltiples sistemas del cuerpo, incluyendo el respiratorio, gastrointestinal y reproductivo. En el sistema respiratorio, la FQ se caracteriza por la producción de secreciones anormalmente espesas y viscosas en las vías respiratorias.
La acumulación de estas secreciones viscosas en los bronquios conduce a la obstrucción de las vías aéreas, lo cual es el primer paso en el desarrollo de bronquiectasia. Las secreciones espesas son difíciles de eliminar mediante la tos y el aclaramiento mucociliar normal, lo que favorece la retención de bacterias y otros patógenos en los bronquios. Esta colonización bacteriana resulta en una respuesta inflamatoria crónica, que contribuye a la destrucción progresiva de las paredes bronquiales y al ensanchamiento irreversible de los bronquios, característico de la bronquiectasia.
La bronquiectasia asociada con la FQ tiende a ser difusa y afecta múltiples lóbulos pulmonares, debido a la naturaleza generalizada del proceso inflamatorio y destructivo en los pulmones. Además, los pacientes con FQ suelen experimentar episodios recurrentes de exacerbaciones pulmonares y neumonías, que agravan aún más el daño bronquial y promueven la formación de bronquiectasias.
La prevalencia significativa de bronquiectasia en pacientes con FQ se debe principalmente a la combinación de factores que incluyen la producción de secreciones viscosas, la obstrucción crónica de las vías aéreas, la colonización bacteriana persistente y la respuesta inflamatoria exacerbada. Estos elementos interactúan para perpetuar un ciclo patológico que resulta en el daño estructural y funcional de los bronquios a lo largo del tiempo.
Las infecciones pulmonares crónicas representan una causa significativa de bronquiectasia. La tuberculosis y las micobacterias no tuberculosas, por ejemplo, pueden causar daño bronquial crónico debido a la persistencia de la infección y la respuesta inflamatoria asociada. Del mismo modo, las infecciones fúngicas y los abscesos pulmonares pueden provocar necrosis tisular y eventualmente la formación de bronquiectasias, especialmente en casos de infecciones recurrentes o mal controladas.
Las inmunodeficiencias también son factores predisponentes importantes. La hipogammaglobulinemia congénita o adquirida, la inmunodeficiencia común variable y las deficiencias selectivas de subclases de inmunoglobulinas (IgA, IgM, IgG) comprometen la capacidad del sistema inmunológico para combatir infecciones respiratorias, aumentando el riesgo de bronquiectasia. Condiciones como el SIDA, linfomas, mieloma de células plasmáticas y leucemias también están asociadas con un mayor riesgo debido a la inmunosupresión y la susceptibilidad aumentada a infecciones pulmonares crónicas.
La deficiencia de alfa-1-antitripsina es una causa genética menos común pero significativa de bronquiectasia. Esta condición afecta la función de protección del tejido pulmonar contra las enzimas proteolíticas, lo que puede llevar a daño tisular crónico y bronquiectasias.
La discinesia ciliar primaria es otra condición genética que afecta la motilidad ciliar en las vías respiratorias, lo cual compromete la capacidad del sistema mucociliar para eliminar las secreciones y patógenos, favoreciendo la acumulación de moco y la infección crónica, y eventualmente la formación de bronquiectasias.
Enfermedades reumáticas como la artritis reumatoide y el síndrome de Sjögren pueden causar inflamación crónica en las vías respiratorias, afectando la integridad estructural de los bronquios y contribuyendo al desarrollo de bronquiectasias.
La aspergilosis broncopulmonar alérgica (ABPA) es una complicación alérgica del aspergillus que puede causar inflamación pulmonar crónica y fibrosis bronquial, predisponiendo al desarrollo de bronquiectasias.
Finalmente, la obstrucción localizada de las vías respiratorias por cuerpos extraños, tumores o impactación mucosa puede interferir con el flujo de aire y la eliminación de secreciones, llevando a la dilatación bronquial y la formación de bronquiectasias en áreas afectadas.


Fuente y lecturas recomendadas
- McShane PJ et al. Bronchiectasis. Chest. 2019;155:825. [PMID: 30403962]
- O’Donnell AE. Bronchiectasis—a clinical review. N Engl J Med. 2022;387:533. [PMID: 35947710]

