La Aspergillosis Broncopulmonar Alérgica (ABPA) es un trastorno pulmonar de hipersensibilidad que se caracteriza por una respuesta inmunológica exagerada a antígenos fúngicos, específicamente aquellos derivados de especies del género Aspergillus que colonizan el árbol traqueobronquial. Este fenómeno ocurre típicamente en individuos asmáticos atópicos o con fibrosis quística, quienes están predispuestos a desarrollar reacciones alérgicas exacerbadas frente a estos antígenos.
Aspergillus es un hongo filamentoso ubicuo en el ambiente, y diversas especies pueden colonizar las vías respiratorias en individuos susceptibles. La ABPA se desencadena cuando estos hongos liberan componentes como proteínas y polisacáridos que actúan como antígenos, desencadenando una respuesta inmunitaria de tipo Th2. En este contexto, la respuesta alérgica se caracteriza por la producción de inmunoglobulina E (IgE) específica contra estos antígenos fúngicos.
El proceso patogénico de la ABPA incluye la inhalación de esporas de Aspergillus por individuos predisponentes. Estas esporas germinan en el árbol traqueobronquial y pueden desencadenar una serie de respuestas inflamatorias y alérgicas. La IgE producida en respuesta a estos antígenos fúngicos activa mastocitos y basófilos, liberando mediadores inflamatorios como histamina, que contribuyen al desarrollo de síntomas respiratorios característicos de la ABPA, como sibilancias, tos y disnea.
Además de la respuesta de tipo IgE, la ABPA también involucra respuestas inmunitarias de tipo celular y una inflamación crónica del tejido pulmonar. Esto puede llevar a la formación de bronquiectasias y fibrosis pulmonar en casos crónicos no tratados adecuadamente.
Criterios diagnósticos
La Aspergillosis Broncopulmonar Alérgica (ABPA) es diagnosticada a través de criterios clínicos y paraclínicos específicos que reflejan la compleja respuesta inmune desencadenada por la sensibilización a antígenos fúngicos de Aspergillus en individuos predisponentes. Los criterios primarios para establecer el diagnóstico de ABPA son fundamentales y se detallan como sigue:
- Historia clínica de asma o fibrosis quística: La ABPA ocurre predominantemente en individuos con antecedentes de asma atópica o fibrosis quística. Estas condiciones predisponen a una respuesta inmune exacerbada frente a antígenos fúngicos.
- Niveles elevados de IgE totales séricas (más de 1000 UI/ml): La medición de IgE total en suero por encima de este umbral sugiere una respuesta alérgica sistémica significativa, característica de la ABPA.
- Hipersensibilidad cutánea inmediata a los antígenos de Aspergillus o niveles elevados de IgE en suero específicos de Aspergillus fumigatus: La prueba de hipersensibilidad cutánea (prueba cutánea) positiva a los antígenos de Aspergillus o la presencia de niveles elevados de IgE específicos contra Aspergillus fumigatus en suero son indicativos de la sensibilización al hongo.
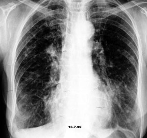
- Al menos dos de los siguientes criterios adicionales: a. Anticuerpos séricos precipitantes contra el antígeno de Aspergillus o IgG de Aspergillus en suero elevado por inmunoensayo: La detección de anticuerpos específicos contra Aspergillus en suero, como los anticuerpos precipitantes o IgG elevada, respalda el diagnóstico. b. Anomalías radiográficas pulmonares consistentes con ABPA: La presencia de hallazgos radiográficos específicos en la tomografía computarizada de tórax, como opacidades bronquiales y consolidaciones mucoides, es característica de la ABPA. c. Recuento de eosinófilos en sangre periférica superior a 500 células/mcL (mayor de 0,5 × 109/L): La eosinofilia periférica es común en la ABPA debido a la respuesta inmune tipo Th2 asociada con la liberación de citocinas y quimiocinas que reclutan eosinófilos a los tejidos inflamados.
-
Las anomalías radiográficas incluyen opacidades transitorias, impactación mucoide y bronquiectasis proximal o central.
Tratamiento
El tratamiento de la Aspergillosis Broncopulmonar Alérgica (ABPA) se fundamenta en abordar tanto la inflamación alérgica como la carga fúngica en los pacientes afectados. Los corticosteroides de alta dosis, como la prednisona a dosis de 0,5-1 mg/kg por vía oral por día, representan la piedra angular del tratamiento inicial. Esta terapia está diseñada para suprimir la respuesta inmune exagerada desencadenada por la sensibilización a antígenos fúngicos de Aspergillus, reduciendo así la inflamación pulmonar y mejorando los síntomas respiratorios.
La administración de corticosteroides se inicia con dosis altas durante al menos 2 semanas, seguida de una disminución gradual para mantener la estabilidad clínica mientras se minimizan los efectos adversos asociados con el uso prolongado de corticosteroides.
En pacientes con ABPA que presentan una dependencia prolongada de corticosteroides o recaídas frecuentes, se considera el uso de agentes antifúngicos como el itraconazol o el voriconazol. Estos fármacos tienen propiedades fungicidas que ayudan a reducir la carga fúngica en las vías respiratorias, contribuyendo así a controlar la exacerbación de la enfermedad y permitiendo la reducción gradual de los corticosteroides.
Es importante destacar que las recaídas son comunes en la ABPA, especialmente en pacientes con formas severas o complicaciones asociadas. Para estos casos, se ha demostrado que los agentes biológicos, como el omalizumab (antiIgE), mepolizumab o benralizumab (anti-IL-5), y dupilumab (receptor anti-IL-4), ofrecen beneficios significativos. Estos medicamentos biológicos modulan específicamente la respuesta inmune implicada en la ABPA, proporcionando opciones terapéuticas efectivas para aquellos pacientes que no responden adecuadamente a los tratamientos convencionales o que requieren reducir la carga de corticosteroides.
Además, los broncodilatadores pueden ser útiles como terapia adyuvante para mejorar la función pulmonar y aliviar los síntomas respiratorios, especialmente en pacientes con obstrucción bronquial secundaria a la inflamación crónica y las secreciones mucoides característicos de la ABPA.
Complicaciones
Las complicaciones asociadas a la Aspergillosis Broncopulmonar Alérgica (ABPA) pueden ser severas y afectar significativamente la salud pulmonar a largo plazo. Estas complicaciones reflejan los efectos adversos de la respuesta inmune exacerbada y la inflamación crónica provocada por la sensibilización a los antígenos fúngicos de Aspergillus en el árbol traqueobronquial.
Una de las complicaciones más graves de la ABPA es la hemoptisis, que se presenta como la expectoración de sangre debido a la erosión de los vasos sanguíneos inflamados en las vías respiratorias. La inflamación crónica y la formación de bronquiectasias pueden predisponer a estos episodios, los cuales pueden ser potencialmente graves y requieren atención médica urgente.
Otra complicación frecuente es la bronquiectasia grave, que se desarrolla como resultado de la destrucción y dilatación irreversible de los bronquios debido a la inflamación y la acumulación de secreciones mucoides viscosas. Esta condición compromete la función pulmonar al interferir con el adecuado transporte de aire hacia y desde los alvéolos, contribuyendo a la perpetuación de las infecciones respiratorias y la obstrucción crónica.
Además, la ABPA puede llevar a la fibrosis pulmonar, caracterizada por la formación excesiva de tejido cicatricial en los pulmones como resultado de la respuesta inflamatoria crónica y la remodelación del tejido pulmonar. La fibrosis pulmonar puede progresar lentamente y causar una disminución gradual pero significativa de la capacidad pulmonar funcional, afectando la calidad de vida del paciente y aumentando el riesgo de complicaciones respiratorias graves.
Estas complicaciones subrayan la importancia de un diagnóstico temprano y un manejo integral de la ABPA para prevenir la progresión hacia enfermedades pulmonares crónicas y potencialmente irreversibles.

Fuente y lecturas recomendadas:
- Agarwal, R., et al. (2022). Allergic bronchopulmonary aspergillosis. Clin Chest Med, 43, 99. PMID: 35236565.
- Koutsokera, A., et al. (2020). Omalizumab for asthma and allergic bronchopulmonary aspergillosis in adults with cystic fibrosis. J Cyst Fibros, 19, 119. PMID: 31405730.
- Moldoveanu, B., et al. (2021). Pulmonary aspergillosis: spectrum of disease. Am J Med Sci, 361, 411. PMID: 33563417.
- Muthu, V., et al. (2020). Diagnostic cutoffs and clinical utility of recombinant Aspergillus fumigatus antigens in the diagnosis of allergic bronchopulmonary aspergillosis. J Allergy Clin Immunol Pract, 8, 579. PMID: 31520840.
- Carrasco, E. (2004). Aspergilosis broncopulmonar alérgica. Complicaciones poco usuales de la afección. Revista chilena de enfermedades respiratorias, 20(1), 30-36. https://dx.doi.org/10.4067/S0717-73482004000100005

