La artrosis de rodilla es una enfermedad articular degenerativa caracterizada por el deterioro progresivo de los componentes estructurales del cartílago hialino. Uno de los primeros eventos patológicos en su desarrollo es el daño a la matriz extracelular del cartílago, compuesta principalmente por colágeno tipo II y proteoglicanos, elementos fundamentales que otorgan al tejido cartilaginoso sus propiedades biomecánicas, como la resistencia a la compresión y la elasticidad. Esta matriz no solo proporciona soporte estructural, sino que también regula el comportamiento de los condrocitos, las células encargadas del mantenimiento y reparación del cartílago.
Cuando se produce una alteración en esta matriz, ya sea por mecanismos bioquímicos o mecánicos, se desencadena una cascada de procesos degenerativos. El daño inicial a las fibras de colágeno y a los proteoglicanos compromete la integridad del tejido, favoreciendo la pérdida de agua y la disminución de la capacidad amortiguadora del cartílago. Este deterioro facilita una mayor susceptibilidad al estrés mecánico, lo que contribuye a la progresión del daño articular y a la aparición de los síntomas clínicos característicos de la artrosis, como el dolor, la rigidez y la limitación funcional.
La etiología de esta enfermedad es compleja y frecuentemente multifactorial. Entre los principales factores de riesgo se encuentran antecedentes de traumatismos articulares, ya sean eventos únicos de alta energía o microtraumatismos repetitivos que, con el tiempo, erosionan la matriz cartilaginosa. Actividades físicas de alto impacto realizadas de manera prolongada también pueden inducir alteraciones estructurales en la articulación. Asimismo, existen predisposiciones genéticas que afectan la calidad del cartílago o el metabolismo celular, facilitando su degradación.
El exceso de peso corporal representa otro factor importante, ya que incrementa la carga mecánica sobre la articulación de la rodilla y, a su vez, induce un estado proinflamatorio sistémico que acelera el deterioro articular. Por otro lado, ciertas enfermedades reumatológicas y trastornos metabólicos, como la artritis reumatoide o la diabetes mellitus, pueden comprometer la homeostasis del cartílago articular y predisponer a su degeneración.
Manifestaciones clínicas
La artrosis de rodilla, como enfermedad degenerativa del tejido articular, suele manifestarse inicialmente con dolor que se intensifica al cargar peso sobre la articulación o al realizar movimientos que implican alcanzar los límites extremos de su rango fisiológico. Este dolor es consecuencia directa del deterioro estructural del cartílago articular, que pierde su capacidad de amortiguación y deslizamiento suave, lo que incrementa la fricción entre las superficies óseas. A medida que esta fricción se intensifica, se genera una respuesta inflamatoria local que agrava la sintomatología dolorosa, particularmente en situaciones de exigencia mecánica.
Conforme avanza la enfermedad, pueden aparecer síntomas mecánicos como hinchazón, sensaciones de roce o crujido articular, atrapamientos súbitos durante el movimiento e incluso bloqueos completos de la articulación. Estos signos sugieren la presencia de alteraciones estructurales internas, como fragmentos de cartílago desprendido o esquirlas óseas, que interfieren con el movimiento normal y fluido de la rodilla. Estos elementos extraños dentro del espacio articular provocan una pérdida en la congruencia de las superficies articulares y generan interferencias mecánicas que limitan la movilidad y aumentan el dolor.
El dolor crónico asociado a la artrosis también puede desencadenar fenómenos de inhibición neuromuscular, en los que la musculatura que rodea la articulación, especialmente el cuádriceps, disminuye su capacidad de activación efectiva. Este fenómeno puede generar episodios en los que el paciente siente que la rodilla “cede” o “falla” al sostener el peso corporal, situación que incrementa el riesgo de caídas y afecta significativamente la estabilidad y confianza al caminar.
A medida que el proceso degenerativo progresa, se compromete primero el rango de movimiento activo, es decir, aquel generado por la acción voluntaria de los músculos. Posteriormente, puede verse afectado incluso el rango de movimiento pasivo, que corresponde a la capacidad de mover la articulación mediante fuerzas externas, lo que indica un daño más avanzado y rigidez estructural significativa.
En etapas más severas, los pacientes experimentan una marcada disminución de la funcionalidad, especialmente al realizar actividades que requieren flexión repetida de la rodilla, como subir o bajar escaleras, agacharse o girar el cuerpo. El dolor se hace más constante y puede persistir incluso en reposo o durante el sueño, lo cual repercute negativamente en la calidad de vida. Es frecuente observar cojera, inflamación persistente de la articulación y dificultad para caminar largas distancias, lo que limita considerablemente la autonomía del individuo afectado.
Exámenes diagnósticos
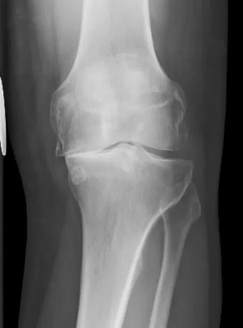
En la evaluación diagnóstica de la artrosis de rodilla, las radiografías convencionales siguen siendo el estudio de imagen más utilizado debido a su accesibilidad, bajo costo y capacidad para revelar cambios estructurales relevantes. Las proyecciones radiográficas más comúnmente recomendadas incluyen vistas posteroanteriores con apoyo de peso corporal y flexión de rodillas a cuarenta y cinco grados, además de proyecciones laterales y específicas de la articulación patelofemoral, como la vista de Merchant. Estas posiciones permiten una visualización más precisa de las distintas compartimentos de la rodilla, y favorecen la detección temprana de alteraciones estructurales que podrían pasar desapercibidas en proyecciones estándar.
La importancia de realizar radiografías con carga radica en que el peso corporal aplicado sobre la articulación simula las condiciones funcionales habituales, lo que permite evidenciar con mayor claridad la disminución del espacio articular provocada por la pérdida de cartílago hialino. Esta reducción del espacio interóseo es uno de los signos más característicos de la artrosis y refleja directamente el grado de desgaste cartilaginoso. A medida que la enfermedad progresa, pueden observarse otros hallazgos radiológicos típicos, como el aumento de la densidad ósea subcondral, conocido como esclerosis, que representa una respuesta del hueso a la sobrecarga mecánica crónica.
Asimismo, es común identificar la formación de osteofitos, que son proyecciones óseas anormales localizadas en los márgenes articulares. Estos crecimientos óseos representan un intento del organismo por estabilizar la articulación degenerada, aunque frecuentemente contribuyen a la limitación del movimiento y al dolor. También pueden observarse cambios quísticos en el hueso subcondral, conocidos como geodas, que son cavidades llenas de líquido sinovial y resultan del colapso de trabéculas óseas por microtraumatismos repetidos.
Si bien la resonancia magnética nuclear ofrece una visualización detallada de los tejidos blandos, incluyendo cartílago, meniscos, ligamentos y membrana sinovial, en la mayoría de los casos de artrosis de rodilla no se considera necesaria. Esto se debe a que el diagnóstico suele establecerse adecuadamente mediante la clínica del paciente junto con los hallazgos radiográficos. No obstante, la resonancia magnética puede ser indicada en situaciones donde se sospeche una patología concomitante que no pueda ser evaluada con precisión por radiografía, como la necrosis avascular del hueso subcondral, lesiones meniscales complejas o procesos inflamatorios intraarticulares atípicos. En tales casos, la resonancia permite una caracterización más completa de las alteraciones estructurales y guía decisiones terapéuticas más específicas.
Tratamiento
Tratamiento conservador
La artrosis de rodilla es una patología crónica y progresiva que afecta principalmente al cartílago articular, una estructura especializada que recubre las superficies óseas dentro de la articulación y permite un movimiento fluido y sin fricción. Una vez que este cartílago ha sufrido daño estructural significativo, los cambios son irreversibles, ya que el cartílago hialino carece de una capacidad regenerativa funcional en el contexto de esta enfermedad. Por tanto, no existe una cura definitiva para la articulación comprometida. Sin embargo, es posible intervenir de manera efectiva sobre los síntomas y las alteraciones funcionales mediante un enfoque terapéutico integral orientado a preservar la movilidad, reducir el dolor y mantener la calidad de vida del paciente.
El tratamiento conservador representa la piedra angular en el manejo de la artrosis de rodilla en todas sus etapas, especialmente en las fases iniciales. Este enfoque incluye la modificación de las actividades cotidianas para reducir el estrés mecánico sobre la articulación afectada, promoviendo a la vez ejercicios terapéuticos dirigidos a mejorar la fuerza muscular —particularmente del cuádriceps femoral—, la capacidad aeróbica y el rendimiento funcional de los miembros inferiores. Para obtener beneficios sostenidos, los programas de ejercicio deben realizarse idealmente tres veces por semana y contar con supervisión profesional, lo que garantiza una ejecución adecuada, evita sobrecargas y favorece la adherencia del paciente.
La pérdida de peso corporal es otro componente crucial del tratamiento conservador, ya que el exceso de masa corporal incrementa de forma significativa la carga sobre la articulación de la rodilla y acelera el deterioro estructural. Además, se recomienda la adopción de hábitos de vida saludables, como el uso de calzado adecuado que proporcione una distribución óptima de las fuerzas de carga, y la evitación de actividades de alto impacto, como correr o saltar, que puedan agravar el daño articular.
Desde el punto de vista biomecánico, el uso de dispositivos de asistencia también puede ser beneficioso. Por ejemplo, el bastón, cuando se utiliza en la mano contraria a la rodilla afectada, mejora el equilibrio y reduce la carga sobre la articulación lesionada. Asimismo, las rodilleras o férulas pueden ofrecer alivio subjetivo del dolor, probablemente debido a su capacidad para mejorar la estabilidad y la función neuromuscular. En casos de artrosis localizada a uno de los compartimentos de la rodilla, ya sea el medial o el lateral, se pueden emplear ortesis descargadoras específicas que redistribuyen las fuerzas articulares lejos del compartimento degenerado. De igual forma, el uso de calzado con propiedades de amortiguación o plantillas ortopédicas personalizadas puede disminuir el impacto transmitido al sistema musculoesquelético durante la marcha.
En cuanto al manejo farmacológico del dolor, se prioriza el uso de medicamentos tópicos. Los antiinflamatorios no esteroideos aplicados localmente son considerados la primera línea de tratamiento, con buena eficacia analgésica y un perfil de seguridad favorable. También se puede considerar el uso tópico de capsaicina, un compuesto derivado del chile que actúa sobre los receptores del dolor para producir un efecto desensibilizante. En casos donde el tratamiento tópico no es suficiente, pueden utilizarse antiinflamatorios no esteroideos por vía oral, como ibuprofeno, naproxeno, diclofenaco o celecoxib, seleccionando el fármaco según su coste, perfil de efectos adversos y facilidad de adherencia por parte del paciente.
Para individuos con riesgo elevado de hemorragia gastrointestinal, se recomienda el uso de inhibidores selectivos de la ciclooxigenasa tipo 2, como el celecoxib, o la combinación de un antiinflamatorio convencional con un inhibidor de la bomba de protones, con el fin de proteger la mucosa gástrica. No obstante, estos inhibidores selectivos no han demostrado superioridad analgésica frente a los antiinflamatorios tradicionales y, aunque pueden ofrecer cierta ventaja a corto plazo en cuanto a seguridad gastrointestinal, su beneficio a largo plazo es limitado.
El paracetamol representa una opción terapéutica con menor eficacia analgésica que los antiinflamatorios, pero puede ser utilizado en pacientes para quienes estos últimos están contraindicados. En casos de artrosis grave con dolor significativo y limitante, el tramadol puede considerarse como una alternativa viable, siempre bajo supervisión médica estricta, mientras que el uso de opioides potentes debe evitarse debido a su bajo perfil de beneficio frente a los riesgos de dependencia y efectos adversos.
Dentro del ámbito de las terapias complementarias, algunos suplementos como la cúrcuma han mostrado cierto beneficio en el alivio del dolor articular, aunque la evidencia aún es limitada. Por otro lado, la glucosamina y el sulfato de condroitina, ampliamente difundidos y comercializados como tratamientos para la artrosis, no han demostrado una eficacia superior al placebo en los estudios clínicos mejor controlados. No obstante, su perfil de seguridad es aceptable, por lo que su uso puede justificarse si el paciente reporta una mejoría subjetiva.
En resumen, aunque los cambios estructurales del cartílago articular en la artrosis son irreversibles, existe una variedad de intervenciones terapéuticas que permiten controlar los síntomas, optimizar la función articular y preservar la independencia del paciente. Un abordaje multimodal, individualizado y sostenido en el tiempo es fundamental para lograr resultados clínicos favorables.
En el tratamiento de la artrosis de rodilla, una de las estrategias terapéuticas utilizadas para controlar el dolor y la inflamación es la inyección intraarticular de corticosteroides. Estos fármacos, al ser administrados directamente en el espacio articular, ejercen un potente efecto antiinflamatorio local, lo cual puede traducirse en un alivio sintomático significativo. Esta mejoría suele ser de corta duración, con efectos que, en la mayoría de los pacientes, se extienden por un período de seis a doce semanas. Por esta razón, su uso se reserva generalmente para momentos de exacerbación del dolor, con el fin de mejorar la funcionalidad y la calidad de vida en el corto plazo.
Entre los corticosteroides más frecuentemente empleados se encuentra la triamcinolona, que ha sido durante años una opción común para pacientes con artrosis de rodilla. Sin embargo, evidencia clínica reciente ha cuestionado su uso repetido como estrategia de manejo a largo plazo. Un ensayo clínico aleatorizado comparó la administración de triamcinolona intraarticular cada tres meses durante dos años frente a inyecciones de solución salina. Los resultados mostraron que, aunque no hubo diferencias significativas en cuanto a la percepción del dolor, los pacientes que recibieron triamcinolona presentaron una pérdida significativamente mayor del volumen de cartílago articular, evaluada mediante resonancia magnética. Este hallazgo sugiere que el uso sistemático y prolongado de corticosteroides podría acelerar la degeneración articular, comprometiendo aún más la integridad estructural de la rodilla. Por tanto, su aplicación debe ser cuidadosamente valorada, evitando esquemas de administración periódica prolongada, especialmente cuando se trata de pacientes con artrosis moderada a severa.
Otra modalidad terapéutica que ha generado debate es la viscosuplementación, que consiste en la inyección intraarticular de productos a base de ácido hialurónico. Esta sustancia, presente de forma natural en el líquido sinovial, tiene propiedades viscoelásticas que favorecen la lubricación y absorción de impactos dentro de la articulación. Teóricamente, su suplementación busca restaurar las características biomecánicas del líquido sinovial deteriorado por el proceso degenerativo. Sin embargo, revisiones sistemáticas y metaanálisis han mostrado que el efecto clínico de la viscosuplementación es modesto y, en muchos casos, apenas superior al placebo. Además, se ha observado un ligero incremento en la incidencia de eventos adversos leves, como dolor local o inflamación transitoria posterior a la inyección. Como consecuencia, la Academia Estadounidense de Cirujanos Ortopédicos ha emitido una recomendación en contra del uso rutinario de esta intervención en el tratamiento de la artrosis de rodilla, dada la relación desfavorable entre su eficacia y los posibles riesgos.
Las inyecciones de plasma rico en plaquetas, una terapia biológica emergente, han mostrado resultados más alentadores. Este tratamiento se basa en la obtención del plasma autólogo del propio paciente, el cual es concentrado para enriquecerlo con plaquetas, que contienen numerosos factores de crecimiento. Estos factores participan activamente en procesos de reparación tisular y modulación de la inflamación. Estudios clínicos han evidenciado que las inyecciones de plasma rico en plaquetas pueden reducir el dolor de manera más eficaz que el placebo e incluso que las inyecciones de ácido hialurónico en pacientes con artrosis de rodilla, especialmente en etapas leves a moderadas. A pesar de estos resultados promisorios, aún se requieren investigaciones adicionales que estandaricen la preparación del producto, definan la frecuencia óptima de administración y evalúen su eficacia a largo plazo.
Tratamiento quirúrgico
La artrosis de rodilla en estadios avanzados representa una condición altamente incapacitante, caracterizada por dolor persistente, pérdida significativa de la movilidad articular y deterioro funcional progresivo. En estos casos, cuando las intervenciones conservadoras —tanto farmacológicas como no farmacológicas— han fracasado en el control de los síntomas y la restauración funcional, la cirugía de reemplazo total de rodilla se convierte en una opción terapéutica eficaz y frecuentemente indicada.
La artroplastia total de rodilla ha demostrado ser una intervención altamente exitosa y costo-efectiva en pacientes con artrosis terminal. Este procedimiento quirúrgico consiste en la sustitución de las superficies articulares dañadas del fémur, la tibia e incluso, en algunos casos, la rótula, por componentes protésicos diseñados para replicar la función mecánica de la articulación natural. Los beneficios clínicos de esta cirugía incluyen una reducción sustancial del dolor, mejora en la alineación del eje mecánico del miembro inferior, restauración de la función articular y, en consecuencia, una mejora notable en la calidad de vida del paciente. Los estudios de seguimiento a largo plazo han mostrado tasas de supervivencia protésica superiores al noventa y cinco por ciento a los quince años posteriores a la intervención, lo cual refleja la durabilidad y confiabilidad de los materiales y las técnicas quirúrgicas empleadas.
En los últimos años, se han explorado enfoques quirúrgicos menos invasivos, con el objetivo de reducir el trauma tisular asociado a la intervención, acelerar la recuperación postoperatoria y disminuir las complicaciones. Entre estos avances se encuentran las técnicas mínimamente invasivas y la navegación asistida por computadora, que permiten una colocación más precisa de los componentes protésicos en relación con la anatomía individual del paciente. No obstante, si bien estos métodos han demostrado una mejora en la exactitud del posicionamiento del implante, los beneficios clínicos y funcionales significativos aún no han sido claramente evidenciados en estudios de alta calidad, por lo que su aplicación rutinaria permanece en evaluación.
En contraste, procedimientos como la artroscopia de rodilla, que en el pasado fueron ampliamente utilizados para el manejo de la artrosis, han demostrado ser ineficaces. Ensayos clínicos aleatorizados han concluido que esta técnica no proporciona mejoras significativas en el dolor, la función ni en la evolución general de la enfermedad cuando se la compara con placebo o con tratamientos conservadores convencionales. Como resultado, su uso ha sido prácticamente abandonado en el tratamiento de la artrosis degenerativa avanzada.
En pacientes más jóvenes, generalmente menores de sesenta años, con artrosis localizada en un solo compartimento de la rodilla (usualmente el compartimento medial), existen opciones quirúrgicas alternativas destinadas a retrasar la necesidad de una artroplastia total. Entre estas se encuentra la osteotomía tibial alta, que busca realinear el eje de carga del miembro inferior para redistribuir el peso corporal hacia el compartimento sano de la articulación, aliviando así la presión sobre el área degenerada. Otra opción es el reemplazo parcial de rodilla, que implica sustituir únicamente el compartimento dañado, preservando las estructuras sanas y permitiendo una recuperación más rápida con funcionalidad más cercana a la fisiología natural de la articulación. Estas intervenciones pueden ser particularmente útiles en pacientes activos que presentan artrosis unicompartimental, buena estabilidad ligamentaria y sin daño significativo en los compartimentos restantes.

Fuente y lecturas recomendadas:
- Bannuru RR et al. OARSI guidelines for the non-surgical management of knee, hip, and polyarticular osteoarthritis. Osteoarthritis Cartilage. 2019;27:1578. [PMID: 31278997]
- Jönsson T et al. Comparison of face-to-face vs digital delivery of an osteoarthritis treatment program for hip or knee osteoarthritis. JAMA Netw Open. 2022;5:e2240126. [PMID: 36326763]
- Kolasinski SL et al. 2019 American College of Rheumatology/ Arthritis Foundation guideline for the management of osteoarthritis of the hand, hip, and knee. Arthritis Care Res (Hoboken). 2020;72:149. Erratum in: Arthritis Care Res (Hoboken). 2021;73:764. [PMID: 31908149]
- Sharma L. Osteoarthritis of the knee. N Engl J Med. 2021;384:51. [PMID: 33406330]
- Skou ST et al. Physical therapy for patients with knee and hip osteoarthritis: supervised, active treatment is current best practice. Clin Exp Rheumatol. 2019;37:112. [PMID: 31621559]

