La vesícula biliar está adherida a la superficie visceral del hígado. La vesícula biliar es un derivado secundario del intestino embrionario; se origina como una evaginación del conducto biliar primitivo que comunica el hígado embrionario con el intestino en desarrollo.
La vesícula biliar es un saco distensible con forma de pera que contiene un volumen de alrededor de 50 ml de bilis. Es un saco ciego se continúa, desde la región denominada cuello, con el conducto cístico. A través de este conducto, recibe bilis diluida desde el conducto hepático la cual se puede almacenar y extraerle cerca del 90 % del agua que contiene, lo cual produce un incremento de hasta 10 veces en la concentración de sales biliares, colesterol y bilirrubina.
Las hormonas secretadas por las células enteroendócrinas del intestino delgado, en respuesta a la presencia de grasa en el duodeno proximal, estimula las contracciones de músculo liso de la vesícula biliar. Como consecuencia de estas contracciones, la bilis concentrada se expulsa hacia el colédoco, que la conduce hasta el duodeno.
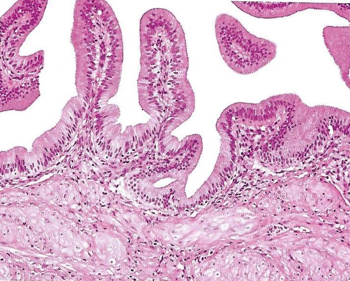
Anatomía microscópica de la vesícula biliar
La vesícula biliar vacía o con llenado parcial posee muchos pliegues de la mucosa profundos. La superficie de la mucosa está compuesta por epitelio cilíndrico simple. Las células epiteliales altas llamadas colangiocitos exhiben las siguientes características:
- Contienen numerosas microvellosidades apicales cortas y poco desarrolladas.
- Complejos de unión apicales que unen células contiguas y forman una barrera entre la luz y el compartimento intercelular
- Concentraciones de mitocondrias localizadas en el citoplasma apical y basal
- Pliegues laterales complejos.
Los colangiocitos se parecen mucho a las células absortivas del intestino que incluye la ubicación de la ATPasa activada por Na»/K» en sus membranas plasmáticas laterales y en las vesículas de secreción con contenido de glucoproteínas en su citoplasma apical.
La lámina propia de la mucosa está particularmente bien provista de capilares fenestrados y pequeñas vénulas, pero no posee vasos linfáticos. Esta capa también es muy celular y contiene una gran cantidad de linfocitos y plasmocitos. Las características de la lámina propia están especializadas en la absorción de electrolitos y agua.
En la lámina propia de la vesícula biliar normal a veces hay glándulas mucosecretoras, en especial cerca del cuello del órgano, pero son más comunes en las vesículas biliares inflamadas. En estas glándulas hay células de aspecto idéntico a las células enteroendocrinas del intestino.
La pared de la vesícula biliar carece de muscular de la mucosa y de submucosa. Por fuera de la lamina propia se encuentra una muscular externa que presenta abundantes fibras colágenas y elásticas entre los haces de células musculares lisas.
La vesícula biliar no presenta una muscular de la mucosa o una submucosa. Los haces musculares lisos están orientados de algún modo aleatorio. La contracción del músculo liso reduce el volumen vesicular, que fuerza la salida de su contenido hacia el conducto cístico.
Por fuera de la muscular externa hay una capa gruesa de tejido conjuntivo denso. Esta capa contiene vasos sanguíneos de gran calibre, una red linfática extensa y nervios autónomos que inervan la muscular externa y los vasos sanguíneos.
El tejido conjuntivo contiene abundantes fibras elásticas y tejido adiposo. La capa de tejido donde la vesícula biliar se adhiere al parénquima hepático, se conoce como adventicia. La superficie no adherida está cubierta por una serosa o peritoneo visceral, que consiste en una capa de mesotelio y una capa delgada de tejido conectivo laxo.
Los divertículos profundos de la mucosa, denominados senos de Rokitansky-Aschoff, a veces se extienden a través de la muscular externa. En estos senos pueden acumularse bacterias causantes de inflamación crónica, lo cual es un factor de riesgo para la formación de cálculos biliares.
La concentración de la bilis requiere el transporte acoplado de sales y agua. Las células epiteliales de la vesícula biliar transportan activamente Na+, Cl y HCO3 desde el citoplasma hacia el compartimento intercelular del epitelio. La ATPasa se localiza en las membranas plasmáticas laterales de las células epiteliales. Las células epiteliales de la vesícula biliar también expresan dos tipos de conductos acuosos de acuaporina (AQP1 y
AQP8), proteínas integrales de la membrana que facilitan el movimiento pasivo rápido del agua.
La presencia de conductos acuosos en las membranas plasmáticas apical y basolateral de las células epiteliales de la vesícula biliar indica que podrían intervenir en la absorción y secreción
del agua.


