Absceso cerebral
Absceso cerebral

Absceso cerebral

Un absceso cerebral se presenta como una lesión intracraneal que ocupa espacio debido a la acumulación de pus dentro del parénquima cerebral, generalmente como resultado de una infección. Esta lesión puede tener un impacto considerable en la estructura y funcionamiento del cerebro, dependiendo de su tamaño, ubicación y la presión que ejerza sobre las áreas circundantes. Los abscesos cerebrales pueden ser consecuencia de infecciones originadas en diversas partes del cuerpo, y su desarrollo está vinculado a múltiples vías de diseminación de agentes patógenos hacia el cerebro.

El origen de un absceso cerebral está frecuentemente relacionado con infecciones previas en otras áreas anatómicas cercanas, como los dientes, los oídos o la nariz. Las infecciones dentales, por ejemplo, pueden permitir que las bacterias, como los estreptococos y estafilococos, se diseminen desde la cavidad oral hacia las estructuras circundantes a través de la sangre o mediante la propagación local, lo que puede resultar en una infección cerebral. De manera similar, las infecciones del oído medio (otitis media) o las infecciones nasales también pueden actuar como focos de infección que se propagan hacia el cerebro. Estos procesos infecciosos pueden involucrar tanto infecciones bacterianas como fúngicas, pero las bacterias son los agentes más comunes responsables de la formación de abscesos cerebrales.

Además de las infecciones locales, un absceso cerebral puede ser una complicación derivada de infecciones en otras partes del cuerpo. Las bacterias que se encuentran en otros sitios, como los pulmones, el tracto urinario o el tracto gastrointestinal, pueden ingresar al torrente sanguíneo y llegar al cerebro a través de la circulación sistémica. Esto puede ocurrir, por ejemplo, en casos de bacteriemia, donde las bacterias se diseminan por todo el cuerpo y, al alcanzar el cerebro, provocan una infección intracraneal. Esta forma de diseminación hematógena es una de las rutas más comunes para el desarrollo de un absceso cerebral.

Otra vía importante de formación de abscesos cerebrales es la introducción directa de agentes infecciosos en el cerebro a través de traumas o procedimientos quirúrgicos. Las lesiones traumáticas en la cabeza, como golpes fuertes, fracturas de cráneo o perforaciones de la cavidad cerebral, pueden permitir la entrada de bacterias o microorganismos desde el exterior hacia el cerebro. De igual manera, las intervenciones quirúrgicas que impliquen manipulación intracraneal, como la cirugía neurológica o los procedimientos invasivos, pueden servir como puerta de entrada para microorganismos patógenos.

Los organismos responsables más comunes de los abscesos cerebrales son los estreptococos, estafilococos y anaerobios, aunque las infecciones mixtas, que involucran la acción conjunta de varios patógenos, también son frecuentes. Los estreptococos, particularmente los de los grupos viridans, son un grupo importante de bacterias implicadas, debido a su capacidad para colonizar las cavidades orales y su tendencia a inducir infecciones en tejidos blandos. Los estafilococos, especialmente el Staphylococcus aureus, son también responsables de una gran proporción de los abscesos cerebrales, dada su virulencia y capacidad de invadir tejidos. Además, los anaerobios, bacterias que prosperan en entornos sin oxígeno, son comunes en infecciones orales y nasales y pueden contribuir significativamente al desarrollo de abscesos en el cerebro. En muchos casos, las infecciones mixtas, que incluyen una combinación de estos patógenos, pueden complicar el cuadro clínico y hacer más difícil el tratamiento y la resolución de la infección.

 

Manifestaciones clínicas

Los síntomas de un absceso cerebral suelen presentarse de manera gradual y progresiva, comenzando con signos neurológicos que reflejan la afectación del sistema nervioso central. Entre los primeros síntomas que pueden observarse se incluyen dolor de cabeza, somnolencia, falta de atención, confusión y convulsiones. Estos son signos tempranos de la presencia de una lesión intracraneal, y su aparición está estrechamente relacionada con la afectación de las estructuras cerebrales debido a la presión aumentada en el interior del cráneo y la inflamación del tejido cerebral.

El dolor de cabeza es uno de los síntomas más comunes en los pacientes con absceso cerebral y se debe a la distensión de las membranas meníngeas o al aumento de la presión intracraneal resultante de la acumulación de pus. Este dolor suele ser persistente y puede empeorar con el tiempo. La somnolencia, por su parte, se debe a la alteración de la función cerebral, ya que el absceso afecta a las áreas responsables de la vigilia y la consciencia. La falta de atención y la confusión son reflejos de una disfunción cognitiva incipiente, que resulta de la presión sobre las áreas cerebrales involucradas en las funciones superiores, como la memoria y el procesamiento de la información.

Las convulsiones, otro síntoma temprano, son causadas por la irritación de las células cerebrales debido a la inflamación local y el aumento de la presión. La actividad eléctrica anómala generada por la disfunción cerebral puede desencadenar episodios convulsivos, los cuales son particularmente comunes en las etapas iniciales de un absceso cerebral. Sin embargo, es importante destacar que no todos los pacientes presentarán convulsiones, y su frecuencia puede depender del tamaño y la localización del absceso.

A medida que la enfermedad progresa, los síntomas tienden a evolucionar hacia signos más evidentes de aumento de la presión intracraneal. Esto incluye vómitos, alteraciones visuales como la visión borrosa o doble, y cambios en el nivel de consciencia que pueden ir desde la somnolencia profunda hasta el coma en casos más graves. El aumento de la presión dentro del cráneo, debido al crecimiento del absceso y la acumulación de material purulento, afecta a las estructuras cerebrales cercanas, lo que puede provocar una hernia cerebral, una condición en la que las partes del cerebro se desplazan hacia áreas donde normalmente no se encuentran, lo que agrava aún más la compresión y la disfunción cerebral.

Con el tiempo, y si no se trata adecuadamente, el paciente puede desarrollar un déficit neurológico focal. Este déficit se refiere a una pérdida de función en áreas específicas del cuerpo o de las habilidades cognitivas debido a la afectación de regiones particulares del cerebro. El déficit focal puede manifestarse como parálisis parcial en una extremidad, pérdida de la capacidad del habla o de la visión en un ojo, o dificultades con el movimiento en una parte del cuerpo. La aparición de un déficit neurológico focal indica que el absceso ha causado daño en una región cerebral específica, lo cual es un signo de que la lesión intracraneal ha progresado considerablemente.

Una característica que a menudo se observa en los casos de absceso cerebral es que puede haber poca o ninguna evidencia sistémica de infección, especialmente en las primeras etapas. A diferencia de otras infecciones en las que se presentan fiebre y otros signos generalizados de infección, como escalofríos o malestar general, los pacientes con abscesos cerebrales pueden no mostrar estos síntomas. Esto se debe a que el absceso cerebral, al estar confinado dentro del cráneo, puede no generar una respuesta inflamatoria sistémica significativa. Sin embargo, en algunos casos, los pacientes pueden experimentar fiebre o síntomas de infección en el sitio primario de la infección, como en el caso de una infección dental o de oído que haya dado lugar a la diseminación de la bacteria al cerebro. A pesar de esto, la falta de fiebre o de otros signos de infección generalizada no debe descartar la posibilidad de un absceso cerebral, ya que los síntomas neurológicos locales suelen ser los más prominentes y el diagnóstico se basa principalmente en la evaluación clínica y la neuroimagen.

 

Exámenes diagnósticos

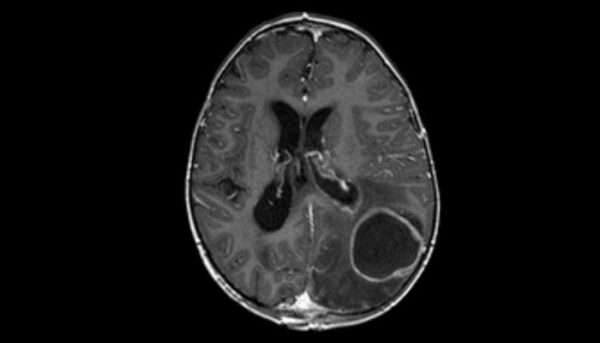
La tomografía computarizada de la cabeza en pacientes con absceso cerebral revela características radiológicas distintivas que ayudan en el diagnóstico de esta afección. Una de las principales características es la presencia de un área de realce con contraste que rodea un núcleo de baja densidad. Este patrón se debe a la localización de la infección, donde el absceso presenta una cápsula externa que se realza con el contraste debido a la vasodilatación y la inflamación en la zona periférica del absceso, mientras que el centro del absceso, compuesto principalmente de material purulento, tiene una densidad baja debido a la falta de estructuras celulares densas y la presencia de líquido infectado. Esta imagen es bastante característica de un absceso cerebral y, aunque puede observarse también en otras patologías, como los neoplasmas metastásicos, la combinación del realce periférico con un núcleo central de baja densidad es más típica de un absceso.

A pesar de que la tomografía computarizada es útil para la visualización del absceso, la resonancia magnética (RM) tiene ventajas adicionales. En particular, la RM permite la detección temprana de cambios en el cerebro que pueden ser indicativos de cerebritis focal o de un absceso en fases más iniciales, antes de que el absceso esté completamente formado. La resonancia magnética es especialmente valiosa debido a su mayor resolución espacial y su capacidad para diferenciar de manera más precisa entre los diferentes tipos de tejidos cerebrales y las lesiones, lo que permite identificar con mayor claridad las características patológicas del absceso, como el edema circundante y la inflamación en las áreas adyacentes al absceso. Además, la RM con secuencias ponderadas por difusión puede ofrecer información adicional sobre la extensión de la infección en los tejidos cerebrales circundantes y la presencia de cambios inflamatorios sutiles, que pueden no ser tan evidentes en una TC.

Un procedimiento adicional que puede ser de gran utilidad en el diagnóstico y manejo del absceso cerebral es la aspiración estereotáctica con aguja. Este enfoque se utiliza para obtener una muestra del material purulento del absceso, lo que permite identificar el organismo etiológico específico que está causando la infección. Este procedimiento, guiado por imágenes de alta precisión, es fundamental para determinar el agente patógeno responsable del absceso, lo cual es crucial para seleccionar el tratamiento antibiótico adecuado. La identificación precisa del microorganismo permite una terapia dirigida, aumentando la efectividad del tratamiento y reduciendo el riesgo de complicaciones.

Por otro lado, el análisis del líquido cefalorraquídeo (LCR) en pacientes con absceso cerebral no suele ser útil para el diagnóstico de esta afección y, en algunos casos, puede incluso ser contraproducente. La obtención de una muestra de LCR mediante punción lumbar en un paciente con un absceso cerebral puede aumentar el riesgo de complicaciones graves, especialmente la herniación cerebral. La punción lumbar en un contexto de aumento de la presión intracraneal, que es frecuente en los abscesos cerebrales, puede ocasionar una alteración brusca en la presión dentro del cráneo, lo que podría inducir un desplazamiento de las estructuras cerebrales hacia áreas donde no deberían encontrarse, un fenómeno conocido como síndrome de herniación. Este síndrome es una emergencia médica grave que puede comprometer la vida del paciente, ya que puede afectar el tronco encefálico y las funciones vitales. Por lo tanto, la punción lumbar generalmente se evita en estos casos hasta que la presión intracraneal esté adecuadamente controlada.

En algunos pacientes, también se puede observar leucocitosis periférica, es decir, un aumento en el número de leucocitos en la sangre. Esto es un indicio de una respuesta inflamatoria sistémica, que es una característica común de las infecciones bacterianas, como los abscesos cerebrales. Aunque la leucocitosis periférica no es específica para el absceso cerebral, su presencia puede ser útil en la evaluación clínica del paciente, ya que puede señalar una infección activa. Sin embargo, la falta de leucocitosis no descarta el diagnóstico de un absceso cerebral, ya que algunas infecciones pueden no generar una respuesta inflamatoria sistémica tan evidente, sobre todo en fases tempranas de la enfermedad.

Tratamiento

El tratamiento de un absceso cerebral involucra un enfoque multidisciplinario que incluye el uso de antibióticos intravenosos junto con drenaje quirúrgico, ya sea mediante aspiración o exéresis, cuando es necesario. La principal razón para realizar un drenaje quirúrgico es reducir el efecto de masa, es decir, la presión que el absceso ejerce sobre las estructuras cerebrales circundantes, lo que puede llevar a un deterioro neurológico grave. En algunos casos, el drenaje quirúrgico también es esencial para establecer un diagnóstico definitivo, especialmente cuando el agente infeccioso es desconocido o cuando la imagen clínica no es concluyente. La intervención quirúrgica es particularmente importante en abscesos grandes o aquellos que no responden a la terapia médica.

Los abscesos cerebrales de menos de 2 centímetros de diámetro tienen más probabilidades de ser tratados de manera efectiva solo con tratamiento médico, es decir, mediante el uso de antibióticos intravenosos. En estos casos, los antibióticos de amplio espectro son seleccionados teniendo en cuenta los factores de riesgo del paciente y los organismos que probablemente estén involucrados. Si el organismo causante de la infección no se conoce en un principio, se administra un régimen empírico de antibióticos de amplio espectro que cubre una amplia variedad de patógenos, incluidos los estreptococos, estafilococos y anaerobios, que son los agentes más comunes en los abscesos cerebrales.

Un régimen empírico típicamente incluye tres antibióticos de diferentes clases: ceftriaxona, metronidazol y vancomicina. La ceftriaxona es un antibiótico de amplio espectro que se administra intravenosamente a una dosis de 2 gramos cada 12 horas, dirigido a una amplia gama de bacterias Gram negativas y algunas bacterias Gram positivas. El metronidazol, a menudo utilizado para cubrir infecciones causadas por bacterias anaerobias, se administra inicialmente con una dosis de carga intravenosa de 15 mg por kilogramo de peso corporal, seguida de dosis de mantenimiento de 7.5 mg por kilogramo intravenosamente cada 6 horas. La vancomicina, que es eficaz contra estafilococos, en particular el Staphylococcus aureusresistente a meticilina, se administra en una dosis intravenosa de 1 gramo cada 12 horas. Este enfoque de tratamiento empírico busca cubrir la mayor cantidad posible de organismos patógenos mientras se espera la identificación del microorganismo a través de cultivos.

Una vez que los resultados de los cultivos y las pruebas de sensibilidad están disponibles, el régimen antibiótico se ajusta de manera más específica, utilizando antibióticos dirigidos exclusivamente a los patógenos identificados, lo que mejora la efectividad del tratamiento y ayuda a minimizar la resistencia antimicrobiana. El tratamiento antibiótico generalmente se continúa de forma intravenosa durante 6 a 8 semanas, ya que se necesita un curso prolongado para erradicar completamente la infección en el tejido cerebral. En algunos casos, dependiendo del microorganismo, se puede continuar con tratamiento oral después de la fase intravenosa, especialmente para infecciones como la nocardiosis, la actinomicosis, las infecciones fúngicas y la tuberculosis, que pueden requerir un tratamiento prolongado.

El monitoreo de los pacientes con absceso cerebral es crucial durante todo el proceso de tratamiento. Se deben realizar tomografías computarizadas o resonancias magnéticas seriales cada 2 semanas para evaluar la evolución del absceso y detectar cualquier deterioro en la condición del paciente. Si la masa abscesada sigue creciendo o si el paciente experimenta un empeoramiento neurológico, esto puede indicar la necesidad de una intervención quirúrgica adicional o un ajuste en el tratamiento antibiótico.

En cuanto al tratamiento adyuvante, los esteroides como la dexametasona se utilizan con el fin de reducir el edema cerebral asociado con el absceso. La dexametasona puede administrarse intravenosamente o por vía oral en dosis que varían entre 4 y 25 mg, dependiendo de la gravedad del edema, y se administra en varias dosis diarias. El tratamiento con dexametasona se ajusta según la respuesta clínica del paciente, y la dosis se va reduciendo gradualmente (es decir, un «tapering») para evitar efectos secundarios a largo plazo. Sin embargo, en algunos casos, si el edema es severo, puede ser necesario utilizar manitol intravenoso, un agente osmótico que ayuda a reducir la presión intracraneal mediante la extracción de agua del cerebro.

Homo medicus

 


 

Guías de estudio. Homo medicus.
Guías de estudio. Homo medicus.

¡Gracias por visitarnos!

Fuente y lecturas recomendadas:
  1. Brown PD et al. Hippocampal avoidance during whole-brain radiotherapy plus memantine for patients with brain metastases: phase III trial NRG oncology CC001. J Clin Oncol. 2020;38:1019. [PMID: 32058845]
  2. Patnaik S et al. Metastatic spinal cord compression. Br J Hosp Med (London). 2020;81:1. [PMID: 32339020]
  3. Redjal N et al. Congress of neurologic surgeons systematic review and evidence-based guidelines update on the role of chemotherapeutic management and antiangiogenic treatment of newly diagnosed glioblastoma in adults. J Neurooncol. 2020;150:165. [PMID: 33215343]
Síguenos en X: @el_homomedicus  y @enarm_intensivo  Síguenos en instagram: homomedicus  y en Treads.net como: Homomedicus  

🟥     🟪     🟨     🟧     🟩     🟦

Aprende administración paso a paso

Administración Desde Cero

ADMINISTRACION DESDE CERO

¿De cuánta utilidad te ha parecido este contenido?

¡Haz clic en una estrella para puntuarlo!

Promedio de puntuación 0 / 5. Recuento de votos: 0

Hasta ahora, ¡no hay votos!. Sé el primero en puntuar este contenido.

Ya que has encontrado útil este contenido...

¡Sígueme en los medios sociales!

Si te fue útil este resumen, compártelo por favor!