Publicado enOftalmología
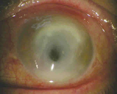
¿Qué es la uveítis?
La uveítis, una inflamación intraocular, se clasifica clínicamente de acuerdo con su duración, tipo de inflamación y ubicación anatómica afectada. En términos de duración, se divide en aguda (menos de…









