Temblor esencial (familiar)

Temblor esencial (familiar)

El temblor esencial es un trastorno neurológico caracterizado por temblores involuntarios y rítmicos, que afectan principalmente las manos, pero también pueden involucrar la cabeza, la voz y otras partes del…
Enfermedades neurocutáneas

Enfermedades neurocutáneas

El sistema nervioso se desarrolla a partir de la capa epitelial del embrión, lo que implica que ciertas patologías congénitas pueden presentar manifestaciones tanto neurológicas como cutáneas. Esclerosis tuberosa Uno…
Hipertensión intracraneal idiopática

Hipertensión intracraneal idiopática

La hipertensión intracraneal idiopática, también conocida como pseudotumor cerebri, puede ser causada por una variedad de factores. Una de las causas más relevantes es la trombosis del seno venoso transverso,…
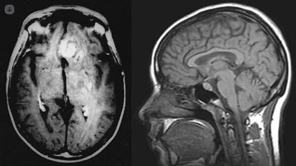
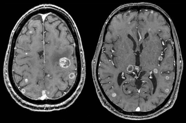
Absceso cerebral

Absceso cerebral

Un absceso cerebral se presenta como una lesión intracraneal que ocupa espacio debido a la acumulación de pus dentro del parénquima cerebral, generalmente como resultado de una infección. Esta lesión…
Tumores espinales primarios y metastásicos

Tumores espinales primarios y metastásicos

Los tumores espinales representan un pequeño porcentaje de todos los tumores del sistema nervioso central, pero su impacto es significativo debido a su localización y la complejidad de su tratamiento.…
Tumores metastásicos intracraneales

Tumores metastásicos intracraneales

Los tumores metastásicos intracraneales son neoplasias malignas que se originan en sitios fuera del cerebro y se diseminan a través del torrente sanguíneo hasta el sistema nervioso central. Este tipo…
Tumores intracraneales primarios

Tumores intracraneales primarios

Las neoplasias intracraneales primarias comprenden un grupo heterogéneo de tumores que se originan en el cerebro o las estructuras adyacentes, como las meninges o los nervios craneales. Dentro de esta…
¿Qué son las fístulas arteriovenosas espinales durales?

¿Qué son las fístulas arteriovenosas espinales durales?

Las fístulas arteriovenosas durales espinales son lesiones congénitas que se presentan con hemorragia subaracnoidea espinal o mielorradiculopatía. Estas malformaciones se localizan mayormente en la región toracolumbar, lo que provoca alteraciones…
Malformaciones cerebrales arteriovenosas

Malformaciones cerebrales arteriovenosas

Las malformaciones arteriovenosas son anomalías vasculares congénitas que se originan a partir de un desarrollo inadecuado localizado de una parte del plexo vascular primitivo. Estas malformaciones se caracterizan por la…