Publicado enGastroenterología
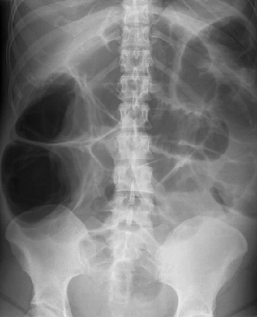
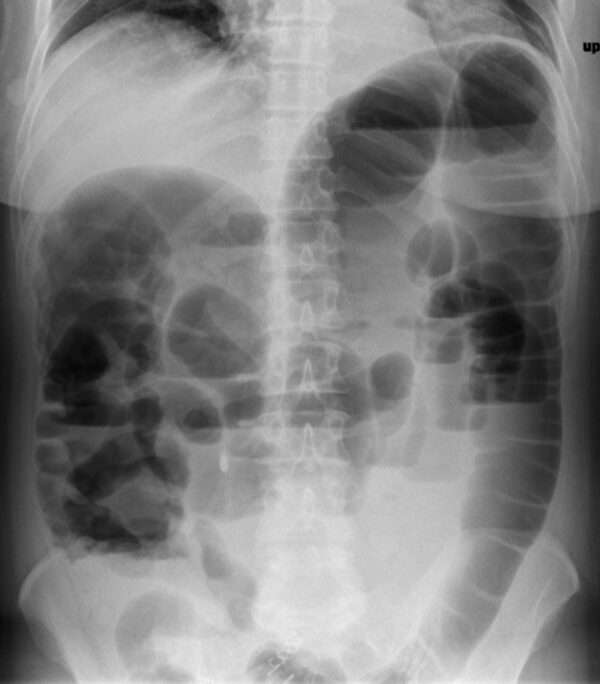
Pseudoobstrucción aguda del colon (síndrome de Ogilvie)
La dilatación masiva espontánea del ciego y del colon proximal es un fenómeno que puede presentarse en diversos contextos clínicos en pacientes hospitalizados, y es una condición que puede desencadenar…









